Suppr超能文献

人细胞周期蛋白D1的过表达降低了永生化人食管上皮细胞系中转化生长因子β(TGF-β)II型受体的表达,并减弱了TGF-β1对其生长的抑制作用。

Overexpression of human cyclin D1 reduces the transforming growth factor beta (TGF-beta) type II receptor and growth inhibition by TGF-beta 1 in an immortalized human esophageal epithelial cell line.

作者信息

Okamoto A, Jiang W, Kim S J, Spillare E A, Stoner G D, Weinstein I B, Harris C C

机构信息

Laboratory of Human Carcinogenesis, National Cancer Institute, National Institutes of Health, Bethesda, MD 20892.

出版信息

Proc Natl Acad Sci U S A. 1994 Nov 22;91(24):11576-80. doi: 10.1073/pnas.91.24.11576.

Abstract

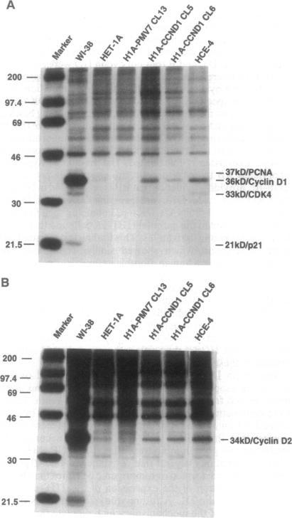
Cyclin D1 has been implicated in G1 cell cycle progression and is frequently amplified, overtranscribed, and oversynthesized in human tumors, including esophageal carcinomas. To further address the role of cyclin D1 in cell cycle control and tumorigenesis, we have stably transfected the human cyclin D1 in the nontumorigenic esophageal epithelial cell line HET-1A. These transfected cells, which express increased amounts of cyclin D1, have enhanced colony-forming efficiency and saturation density and are resistant to growth inhibition by TGF-beta 1 compared with the parental cell line or a control vector cell clone. The clones which express increased amounts of cyclin D1 exhibited a decrease in the amount of TGF-beta type II receptor, indicating a plausible mechanism for their diminished response to TGF-beta 1. Therefore, deregulated expression of the cyclin D1 gene can modulate the negative growth factor pathway of TGF-beta 1 and may disturb the control of epithelial cell proliferation in esophageal carcinogenesis.

摘要

细胞周期蛋白D1与G1期细胞周期进程有关,在包括食管癌在内的人类肿瘤中经常发生扩增、转录过度和合成过多。为了进一步探讨细胞周期蛋白D1在细胞周期调控和肿瘤发生中的作用,我们将人细胞周期蛋白D1稳定转染至非致瘤性食管上皮细胞系HET-1A中。与亲代细胞系或对照载体细胞克隆相比,这些表达增加量细胞周期蛋白D1的转染细胞具有增强的集落形成效率和饱和密度,并且对TGF-β1介导的生长抑制具有抗性。表达增加量细胞周期蛋白D1的克隆显示TGF-βⅡ型受体的量减少,这表明了它们对TGF-β1反应减弱的一种可能机制。因此,细胞周期蛋白D1基因的失调表达可调节TGF-β1的负生长因子途径,并可能扰乱食管癌发生过程中上皮细胞增殖的控制。

https://cdn.ncbi.nlm.nih.gov/pmc/blobs/3633/45274/ece0d5e70696/pnas01146-0304-a.jpg

文献检索

告别复杂PubMed语法,用中文像聊天一样搜索,搜遍4000万医学文献。AI智能推荐,让科研检索更轻松。

立即免费搜索

文件翻译

保留排版,准确专业,支持PDF/Word/PPT等文件格式,支持 12+语言互译。

免费翻译文档

深度研究

AI帮你快速写综述,25分钟生成高质量综述,智能提取关键信息,辅助科研写作。

立即免费体验