Franzini A, Leocata F, Giorgi C, Allegranza A, Servello D, Broggi G
Department of Neurosurgery, Istituto Nazionale Neurologico C Besta, Milano, Italy.
J Neurol Neurosurg Psychiatry. 1994 Aug;57(8):957-60. doi: 10.1136/jnnp.57.8.957.
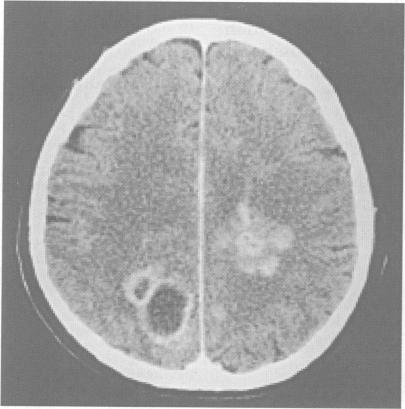
One hundred patients affected by multifocal brain lesions were investigated by serial stereotactic biopsy. Systemic diseases and primary neoplasms elsewhere were previously ruled out. The histological diagnosis obtained in this series comprises malignant gliomas in 37% of patients; primary non-Hodgkin's brain lymphoma in 15%; metastatic brain tumours in 15% (no evidence of the primary tumour at the time of stereotactic surgery); low grade gliomas in 12%; infective diseases in 10% (including brain abscesses and multifocal viral encephalitis); and ischaemic lesions in 6%. In addition, two patients with germinomas, two with primitive neuroepithelial tumours, two with multiple telangiectases, and one with a teratoma were also included in this series. Histological findings obtained by stereotactic procedures guided the choice of treatment, avoiding the risks of blind treatments. Indications and future perspectives for stereotactic surgery in multifocal brain lesions are discussed with emphasis on advances in diagnostic and therapeutic tools.
通过系列立体定向活检对100例患有多灶性脑病变的患者进行了研究。此前已排除全身性疾病和其他部位的原发性肿瘤。该系列病例的组织学诊断包括:37%的患者为恶性胶质瘤;15%为原发性非霍奇金脑淋巴瘤;15%为脑转移瘤(立体定向手术时未发现原发性肿瘤证据);12%为低级别胶质瘤;10%为感染性疾病(包括脑脓肿和多灶性病毒性脑炎);6%为缺血性病变。此外,该系列还包括2例生殖细胞瘤、2例原始神经上皮肿瘤、2例多发性毛细血管扩张症和1例畸胎瘤患者。立体定向手术获得的组织学结果指导了治疗方案的选择,避免了盲目治疗的风险。本文讨论了多灶性脑病变立体定向手术的适应证和未来前景,重点介绍了诊断和治疗工具的进展。