Suppr超能文献

细胞周期蛋白D1/bcl-1与myc基因协同作用,在转基因小鼠中引发B细胞淋巴瘤。

Cyclin D1/bcl-1 cooperates with myc genes in the generation of B-cell lymphoma in transgenic mice.

作者信息

Lovec H, Grzeschiczek A, Kowalski M B, Möröy T

机构信息

Institut für Molekularbiologie und Tumorforschung (IMT), Philipps Universität Marburg, Germany.

出版信息

EMBO J. 1994 Aug 1;13(15):3487-95. doi: 10.1002/j.1460-2075.1994.tb06655.x.

Abstract

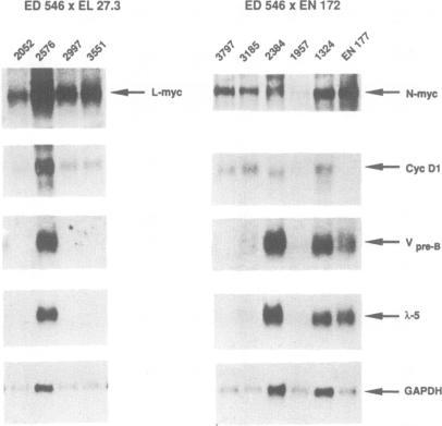
The chromosomal translocation t(11:14) is associated with human lymphoid neoplasia affecting centrocytic B-cells of intermediate differentiation. As a consequence the cyclin D1 (bcl-1) gene is juxtaposed to the immunoglobulin heavy chain enhancer E mu. To show that transcriptional activation of cyclin D1 is causally involved in the generation of B-cell neoplasia we have generated transgenic mice that carry a cyclin D1 gene under the transcriptional control of the E mu element. E mu cyclin D1 transgenic mice show only very subtle alterations in the cycling behaviour of B-cell populations in the bone marrow compared with normal mice and do not develop lymphoid tumours. However, E mu-directed coexpression of cyclin D1 and N-MYC or L-MYC in double transgenic mice reveals a strong cooperative effect between MYC and cyclin D1 provoking the rapid development of clonal pre-B and B-cell lymphomas. Interestingly, crossing of cyclin D1 transgenic mice with E mu L-myc transgenics that express their transgene in both B- and T-cells but predominantly develop T-cell tumours leads in double transgenics exclusively to B-cell neoplasia. The data presented here demonstrate that transcriptional activation of cyclin D1 can oncogenically transform B-cells in concert with a myc gene. They establish cyclin D1 as a proto-oncogene whose activity appears to depend on a specific cell type as well as on a specific cooperating partner and link disturbances in the regulation of cell cycle progression to the development of human malignancies.

摘要

染色体易位t(11:14)与影响中等分化中心细胞性B细胞的人类淋巴样肿瘤相关。结果,细胞周期蛋白D1(bcl-1)基因与免疫球蛋白重链增强子Eμ并列。为了表明细胞周期蛋白D1的转录激活与B细胞肿瘤的发生有因果关系,我们构建了在Eμ元件转录控制下携带细胞周期蛋白D1基因的转基因小鼠。与正常小鼠相比,Eμ细胞周期蛋白D1转基因小鼠骨髓中B细胞群体的循环行为仅表现出非常细微的变化,并且不会发生淋巴样肿瘤。然而,在双转基因小鼠中,Eμ指导的细胞周期蛋白D1和N-MYC或L-MYC的共表达揭示了MYC和细胞周期蛋白D1之间的强烈协同作用,引发克隆性前B细胞和B细胞淋巴瘤的快速发展。有趣的是,将细胞周期蛋白D1转基因小鼠与EμL-myc转基因小鼠杂交,后者在B细胞和T细胞中均表达其转基因,但主要发生T细胞肿瘤,在双转基因小鼠中仅导致B细胞肿瘤。本文提供的数据表明,细胞周期蛋白D1的转录激活可与myc基因协同作用,将B细胞致癌转化。它们将细胞周期蛋白D1确立为一种原癌基因,其活性似乎取决于特定的细胞类型以及特定的协同伴侣,并将细胞周期进程调节的紊乱与人类恶性肿瘤的发生联系起来。

https://cdn.ncbi.nlm.nih.gov/pmc/blobs/29d8/395252/dc9e2e811963/emboj00063-0085-a.jpg

文献检索

告别复杂PubMed语法,用中文像聊天一样搜索,搜遍4000万医学文献。AI智能推荐,让科研检索更轻松。

立即免费搜索

文件翻译

保留排版,准确专业,支持PDF/Word/PPT等文件格式,支持 12+语言互译。

免费翻译文档

深度研究

AI帮你快速写综述,25分钟生成高质量综述,智能提取关键信息,辅助科研写作。

立即免费体验