Suppr超能文献

一种膜蛋白穿过经甲苯处理的巨大芽孢杆菌细胞的细胞壁。

Passage of a membrane protein through the walls of toluene-treated Bacillus megaterium cells.

作者信息

Fan D P, Gardner-Eckstrom G L

出版信息

J Bacteriol. 1975 Aug;123(2):717-23. doi: 10.1128/jb.123.2.717-723.1975.

Abstract

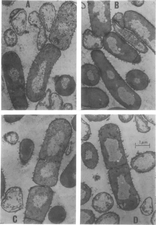
Based on autoradiographic and microscopic evidence, it seems likely that a membrane protein essential for peptidoglycan synthesis can be extracted from uhlysed toluene-treated Bacillus megaterium cells. Furthermore, this protein can be added back to the membrane through the wall to reconstitute peptidoglycan synthesis. Autoradiograms also show that peptidoglycan is synthesized from externally added nucleotide precursors over the entire length of the toluene-treated bacterial. The amounts of peptidoglycan made is to small to be visible by thin section electron microscopy.

摘要

基于放射自显影和显微镜证据,似乎可以从经甲苯处理的未裂解巨大芽孢杆菌细胞中提取出一种对肽聚糖合成至关重要的膜蛋白。此外,这种蛋白质可以通过细胞壁重新添加回膜中以重建肽聚糖合成。放射自显影片还显示,肽聚糖是由外部添加的核苷酸前体在经甲苯处理的细菌的整个长度上合成的。所合成的肽聚糖量太小,无法通过超薄切片电子显微镜观察到。

https://cdn.ncbi.nlm.nih.gov/pmc/blobs/b634/235779/cd09aac3a7c2/jbacter00327-0340-a.jpg

文献检索

告别复杂PubMed语法,用中文像聊天一样搜索,搜遍4000万医学文献。AI智能推荐,让科研检索更轻松。

立即免费搜索

文件翻译

保留排版,准确专业,支持PDF/Word/PPT等文件格式,支持 12+语言互译。

免费翻译文档

深度研究

AI帮你快速写综述,25分钟生成高质量综述,智能提取关键信息,辅助科研写作。

立即免费体验