• 文献检索
  • 文档翻译
  • 深度研究
  • 学术资讯
  • Suppr Zotero 插件Zotero 插件
  • 邀请有礼
  • 套餐&价格
  • 历史记录
应用&插件
Suppr Zotero 插件Zotero 插件浏览器插件Mac 客户端Windows 客户端微信小程序
定价
高级版会员购买积分包购买API积分包
服务
文献检索文档翻译深度研究API 文档MCP 服务
关于我们
关于 Suppr公司介绍联系我们用户协议隐私条款
关注我们

Suppr 超能文献

核心技术专利:CN118964589B侵权必究
粤ICP备2023148730 号-1Suppr @ 2026

文献检索

告别复杂PubMed语法,用中文像聊天一样搜索,搜遍4000万医学文献。AI智能推荐,让科研检索更轻松。

立即免费搜索

文件翻译

保留排版,准确专业,支持PDF/Word/PPT等文件格式,支持 12+语言互译。

免费翻译文档

深度研究

AI帮你快速写综述,25分钟生成高质量综述,智能提取关键信息,辅助科研写作。

立即免费体验

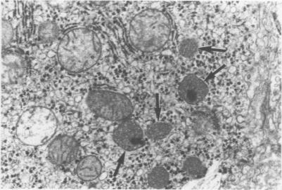
一种伴有胎儿及新生儿肾上腺功能不全的新型过氧化物酶体病。

A new peroxisomal disorder with fetal and neonatal adrenal insufficiency.

作者信息

Vanhole C, de Zegher F, Casaer P, Devlieger H, Wanders R J, Vanhove G, Jaeken J

机构信息

Department of Paediatrics, University of Leuven, Belgium.

出版信息

Arch Dis Child Fetal Neonatal Ed. 1994 Jul;71(1):F55-6. doi: 10.1136/fn.71.1.f55.

DOI:10.1136/fn.71.1.f55
PMID:8092875
原文链接:https://pmc.ncbi.nlm.nih.gov/articles/PMC1061072/
Abstract

A boy with a new type of adrenoleukodystrophy is described. This was characterised by fetal and neonatal adrenal insufficiency, a neurological picture as seen in neonatal adrenoleukodystrophy, but with a normal number of peroxisomes in the liver and a peroxisomal dysfunction limited to the very long chain fatty acids and pristanic acid.

摘要

本文描述了一名患有新型肾上腺脑白质营养不良的男孩。其特征为胎儿期和新生儿期肾上腺功能不全,具有新生儿肾上腺脑白质营养不良所见的神经学表现,但肝脏中过氧化物酶体数量正常,且过氧化物酶体功能障碍仅限于极长链脂肪酸和植烷酸。

https://cdn.ncbi.nlm.nih.gov/pmc/blobs/a757/1061072/97745250e151/archdischfn00036-0058-a.jpg
https://cdn.ncbi.nlm.nih.gov/pmc/blobs/a757/1061072/97745250e151/archdischfn00036-0058-a.jpg
https://cdn.ncbi.nlm.nih.gov/pmc/blobs/a757/1061072/97745250e151/archdischfn00036-0058-a.jpg

相似文献

1
A new peroxisomal disorder with fetal and neonatal adrenal insufficiency.一种伴有胎儿及新生儿肾上腺功能不全的新型过氧化物酶体病。
Arch Dis Child Fetal Neonatal Ed. 1994 Jul;71(1):F55-6. doi: 10.1136/fn.71.1.f55.
2
[Peroxisomes and peroxisomal diseases].[过氧化物酶体与过氧化物酶体疾病]
Postepy Hig Med Dosw. 1991;45(1-2):77-99.
3
[X-chromosomal adrenoleukodystrophy. A peroxisomal disease important for differential diagnosis in the internal medicine-neurological field].
Schweiz Med Wochenschr. 1990 Sep 1;120(35):1247-52.
4
Peroxisomal fatty acid beta-oxidation in relation to adrenoleukodystrophy.过氧化物酶体脂肪酸β氧化与肾上腺脑白质营养不良的关系
Dev Neurosci. 1991;13(4-5):262-6. doi: 10.1159/000112171.
5
Peroxisomal defects in neonatal-onset and X-linked adrenoleukodystrophies.新生儿期发病的和X连锁肾上腺脑白质营养不良中的过氧化物酶体缺陷。
Science. 1985 Jan 4;227(4682):67-70. doi: 10.1126/science.3964959.
6
Neonatal seizures and retardation in a girl with biochemical features of X-linked adrenoleukodystrophy: a possible new peroxisomal disease entity.一名具有X连锁肾上腺脑白质营养不良生化特征女孩的新生儿惊厥和智力发育迟缓:一种可能的新的过氧化物酶体疾病实体。
Neurology. 1988 Jul;38(7):1100-7. doi: 10.1212/wnl.38.7.1100.
7
Phytanic acid and very long chain fatty acids in genetic peroxisomal disorders.遗传性过氧化物酶体疾病中的植烷酸和极长链脂肪酸。
J Clin Chem Clin Biochem. 1989 May;27(5):309-14.
8
Peroxisomal beta-oxidation enzyme proteins in adrenoleukodystrophy: distinction between X-linked adrenoleukodystrophy and neonatal adrenoleukodystrophy.肾上腺脑白质营养不良中的过氧化物酶体β-氧化酶蛋白:X连锁肾上腺脑白质营养不良与新生儿肾上腺脑白质营养不良的区别
Proc Natl Acad Sci U S A. 1987 Mar;84(5):1425-8. doi: 10.1073/pnas.84.5.1425.
9
Peroxisomal bifunctional enzyme deficiency.过氧化物酶体双功能酶缺乏症
J Clin Invest. 1989 Mar;83(3):771-7. doi: 10.1172/JCI113956.
10
Lignoceric acid is oxidized in the peroxisome: implications for the Zellweger cerebro-hepato-renal syndrome and adrenoleukodystrophy.二十四烷酸在过氧化物酶体中被氧化:对泽尔韦格脑肝肾综合征和肾上腺脑白质营养不良的影响。
Proc Natl Acad Sci U S A. 1984 Jul;81(13):4203-7. doi: 10.1073/pnas.81.13.4203.

引用本文的文献

1
Secondary alterations of human hepatocellular peroxisomes.人类肝细胞过氧化物酶体的继发性改变。
J Inherit Metab Dis. 1995;18 Suppl 1:181-213. doi: 10.1007/BF00711439.
2
Measurement of peroxisomal fatty acid beta-oxidation in cultured human skin fibroblasts.培养的人皮肤成纤维细胞中过氧化物酶体脂肪酸β-氧化的测定
J Inherit Metab Dis. 1995;18 Suppl 1:113-24. doi: 10.1007/BF00711434.

本文引用的文献

1
The CoA esters of 2-methyl-branched chain fatty acids and of the bile acid intermediates di- and trihydroxycoprostanic acids are oxidized by one single peroxisomal branched chain acyl-CoA oxidase in human liver and kidney.在人类肝脏和肾脏中,2-甲基支链脂肪酸的辅酶A酯以及胆汁酸中间体二羟基和三羟基粪甾烷酸的辅酶A酯可被一种单一的过氧化物酶体支链酰基辅酶A氧化酶氧化。
J Biol Chem. 1993 May 15;268(14):10335-44.
2
Postnatal diagnosis of peroxisomal disorders: a biochemical approach.过氧化物酶体疾病的产后诊断:一种生化方法。
Biochimie. 1993;75(3-4):269-79. doi: 10.1016/0300-9084(93)90087-9.
3
Neonatal adrenoleukodystrophy: new cases, biochemical studies, and differentiation from Zellweger and related peroxisomal polydystrophy syndromes.
新生儿肾上腺脑白质营养不良:新病例、生化研究以及与泽尔韦格综合征和相关过氧化物酶体多系统营养不良综合征的鉴别诊断
Am J Med Genet. 1986 Apr;23(4):869-901. doi: 10.1002/ajmg.1320230404.
4
Peroxisomal very long-chain fatty acid beta-oxidation in human skin fibroblasts: activity in Zellweger syndrome and other peroxisomal disorders.人皮肤成纤维细胞中过氧化物酶体极长链脂肪酸β-氧化:在泽尔韦格综合征和其他过氧化物酶体疾病中的活性
Clin Chim Acta. 1987 Jul 15;166(2-3):255-63. doi: 10.1016/0009-8981(87)90428-1.
5
Adrenoleukodystrophy.肾上腺脑白质营养不良
Endocrinol Metab Clin North Am. 1991 Jun;20(2):297-318.