Suppr超能文献

弹性蛋白酶I增强子的单个元件足以将转录选择性地导向胰腺和肠道。

A single element of the elastase I enhancer is sufficient to direct transcription selectively to the pancreas and gut.

作者信息

Rose S D, Kruse F, Swift G H, MacDonald R J, Hammer R E

机构信息

Department of Biochemistry, University of Texas Southwestern Medical Center, Dallas 75235-9038.

出版信息

Mol Cell Biol. 1994 Mar;14(3):2048-57. doi: 10.1128/mcb.14.3.2048-2057.1994.

Abstract

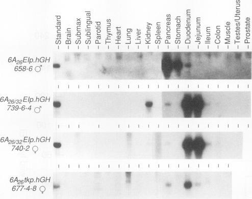
The elastase I (EI) gene is expressed at high levels in the exocrine pancreas and at lower levels in other regions of the gut. The transcriptional enhancer of the EI gene, from nucleotides -205 to -72, recapitulates the expression of the endogenous gene in transgenic mice; it directs not only pancreatic acinar cell expression of a human growth hormone (hGH) transgene but also expression to the stomach, duodenum, and colon. This pattern of selective expression limited to the gastroenteropancreatic organ system is specified by the A element, one of three functional elements in the EI enhancer. When multimerized, the A element directed expression of a hGH reporter gene selectively to the pancreas, stomach, and intestine in transgenic mice. Immunofluorescent localization of hGH indicated that the A element multimer transgenes were expressed in the acinar cells of the pancreas as well as in Brunner's gland cells of the duodenum. The A element binds a pancreatic acinar cell-specific factor, PTF1. Our results show that while the A element is responsible for directing tissue and cell type specificity, other elements of the enhancer must be involved in the regulation of the level of gene expression.

摘要

弹性蛋白酶I(EI)基因在胰腺外分泌腺中高水平表达,在肠道其他区域低水平表达。EI基因的转录增强子,从核苷酸-205到-72,在转基因小鼠中重现了内源基因的表达;它不仅指导人生长激素(hGH)转基因在胰腺腺泡细胞中的表达,还指导其在胃、十二指肠和结肠中的表达。这种限于胃肠胰器官系统的选择性表达模式由A元件决定,A元件是EI增强子中的三个功能元件之一。当多聚化时,A元件在转基因小鼠中指导hGH报告基因选择性地表达于胰腺、胃和肠道。hGH的免疫荧光定位表明,A元件多聚体转基因在胰腺的腺泡细胞以及十二指肠的布伦纳腺细胞中表达。A元件结合一种胰腺腺泡细胞特异性因子PTF1。我们的结果表明,虽然A元件负责指导组织和细胞类型特异性,但增强子的其他元件必定参与基因表达水平的调控。

https://cdn.ncbi.nlm.nih.gov/pmc/blobs/0baa/358565/c8e483f5ffdb/molcellb00003-0532-a.jpg

文献AI研究员

20分钟写一篇综述,助力文献阅读效率提升50倍。

立即体验

用中文搜PubMed

大模型驱动的PubMed中文搜索引擎

马上搜索

文档翻译

学术文献翻译模型,支持多种主流文档格式。

立即体验