Suppr超能文献

盲肠的软斑病与腺癌:一种罕见的关联。

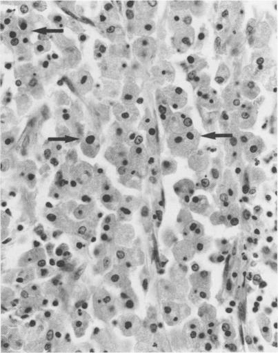
Malakoplakia and adenocarcinoma of the caecum: a rare association.

作者信息

Sandmeier D, Guillou L

机构信息

University Institute of Pathology, Lausanne, Switzerland.

出版信息

J Clin Pathol. 1993 Oct;46(10):959-60. doi: 10.1136/jcp.46.10.959.

Abstract

Colonic malakoplakia can occur either as a part of systemic disease with multiple colonic and extracolonic deposits or as an incidental finding associated with a rectal or sigmoidal adenocarcinoma. A case is reported which shows an association between malakoplakia and adenocarcinoma of the caecum.

摘要

结肠软斑症既可以作为系统性疾病的一部分出现,伴有多个结肠和结肠外沉积物,也可以是与直肠或乙状结肠癌相关的偶然发现。本文报告了一例显示软斑症与盲肠癌之间存在关联的病例。

https://cdn.ncbi.nlm.nih.gov/pmc/blobs/5921/501628/732de4df5bf0/jclinpath00211-0079-a.jpg

文献检索

告别复杂PubMed语法,用中文像聊天一样搜索,搜遍4000万医学文献。AI智能推荐,让科研检索更轻松。

立即免费搜索

文件翻译

保留排版,准确专业,支持PDF/Word/PPT等文件格式,支持 12+语言互译。

免费翻译文档

深度研究

AI帮你快速写综述,25分钟生成高质量综述,智能提取关键信息,辅助科研写作。

立即免费体验