• 文献检索
  • 文档翻译
  • 深度研究
  • 学术资讯
  • Suppr Zotero 插件Zotero 插件
  • 邀请有礼
  • 套餐&价格
  • 历史记录
应用&插件
Suppr Zotero 插件Zotero 插件浏览器插件Mac 客户端Windows 客户端微信小程序
定价
高级版会员购买积分包购买API积分包
服务
文献检索文档翻译深度研究API 文档MCP 服务
关于我们
关于 Suppr公司介绍联系我们用户协议隐私条款
关注我们

Suppr 超能文献

核心技术专利:CN118964589B侵权必究
粤ICP备2023148730 号-1Suppr @ 2026

文献检索

告别复杂PubMed语法,用中文像聊天一样搜索,搜遍4000万医学文献。AI智能推荐,让科研检索更轻松。

立即免费搜索

文件翻译

保留排版,准确专业,支持PDF/Word/PPT等文件格式,支持 12+语言互译。

免费翻译文档

深度研究

AI帮你快速写综述,25分钟生成高质量综述,智能提取关键信息,辅助科研写作。

立即免费体验

源自具有谷氨酰胺 - 缬氨酸切割位点的P1前体的脊髓灰质炎病毒衣壳蛋白在组装和RNA包裹方面存在缺陷。

Poliovirus capsid proteins derived from P1 precursors with glutamine-valine cleavage sites have defects in assembly and RNA encapsidation.

作者信息

Ansardi D C, Morrow C D

机构信息

Department of Microbiology, University of Alabama at Birmingham 35294-0007.

出版信息

J Virol. 1993 Dec;67(12):7284-97. doi: 10.1128/JVI.67.12.7284-7297.1993.

DOI:10.1128/JVI.67.12.7284-7297.1993
PMID:8230452
原文链接:https://pmc.ncbi.nlm.nih.gov/articles/PMC238192/
Abstract

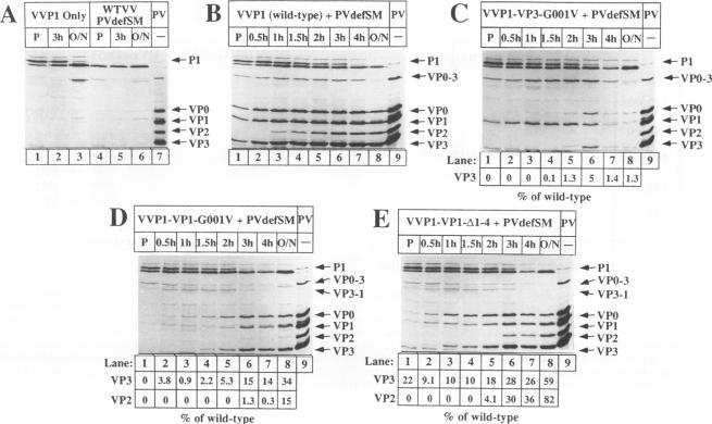
Assembly of poliovirus virions requires proteolytic cleavage of the P1 capsid precursor polyprotein between two separate glutamine-glycine (QG) amino acid pairs by the viral protease 3CD. In this study, we have investigated the effects on P1 polyprotein processing and subsequent assembly of processed capsid proteins caused by substitution of the glycine residue at the individual QG cleavage sites with valine (QG-->QV). P1 cDNAs encoding the valine substitutions were created by site-directed mutagenesis and were recombined into wild-type vaccinia virus to generate recombinant vaccinia viruses which expressed the mutant P1 precursors. The recombinant vaccinia virus-expressed mutant P1 polyproteins were analyzed for proteolytic processing defects in cells coinfected with a recombinant vaccinia virus (VVP3) that expresses the poliovirus 3CD protease and for processing and assembly defects by using a trans complementation system in which P1-expressing recombinant vaccinia viruses provide capsid precursor to a defective poliovirus genome that does not express functional capsid proteins (D. C. Ansardi, D. C. Porter, and C. D. Morrow, J. Virol. 67:3684-3690, 1993). The QV-substituted precursors were proteolytically processed at the altered sites both in cells coinfected with VVP3 and in cells coinfected with defective poliovirus, although the kinetics of cleavage at the altered sites were slower than those of cleavage at the wild-type QG site in the precursor. Completely processed capsid proteins VP0, VP3, and VP1 derived from the mutant precursor containing a valine at the amino terminus of VP3 (VP3-G001V) were unstable and failed to assemble stable subviral structures in cells coinfected with defective poliovirus. In contrast, capsid proteins derived from the P1 precursor with a valine substitution at the amino terminus of VP1 (VP1-G001V) assembled empty capsid particles but were deficient in assembling RNA-containing virions. The assembly characteristics of the VP1-G001V mutant were compared with those of a previously described VP3-VP1 cleavage site mutant (K. Kirkegaard and B. Nelsen, J. Virol. 64:185-194, 1990) which contained a deletion of the first four amino-terminal residues of VP1 (VP1-delta 1-4) and which was reconstructed for our studies into the recombinant vaccinia virus system. Complete proteolytic processing of the VP1-delta 1-4 precursor also occurred more slowly than complete cleavage of the wild-type precursor, and formation of virions was delayed; however, capsid proteins derived from the VP1-G001V mutant assembled RNA-containing virions less efficiently than those derived from the VP1-delta 1-4 precursor.(ABSTRACT TRUNCATED AT 400 WORDS)

摘要

脊髓灰质炎病毒病毒粒子的组装需要病毒蛋白酶3CD在两个分开的谷氨酰胺 - 甘氨酸(QG)氨基酸对之间对P1衣壳前体多聚蛋白进行蛋白水解切割。在本研究中,我们研究了将各个QG切割位点处的甘氨酸残基替换为缬氨酸(QG→QV)对P1多聚蛋白加工以及随后加工的衣壳蛋白组装的影响。通过定点诱变创建了编码缬氨酸替换的P1 cDNA,并将其重组到野生型痘苗病毒中,以产生表达突变P1前体的重组痘苗病毒。分析了重组痘苗病毒表达的突变P1多聚蛋白在与表达脊髓灰质炎病毒3CD蛋白酶的重组痘苗病毒(VVP3)共感染的细胞中的蛋白水解加工缺陷,以及通过使用反式互补系统分析其加工和组装缺陷,在该系统中,表达P1的重组痘苗病毒为不表达功能性衣壳蛋白的缺陷脊髓灰质炎病毒基因组提供衣壳前体(D.C.安萨尔迪、D.C.波特和C.D.莫罗,《病毒学杂志》67:3684 - 3690,1993)。在与VVP3共感染的细胞以及与缺陷脊髓灰质炎病毒共感染的细胞中,QV取代的前体在改变的位点进行了蛋白水解加工,尽管改变位点处的切割动力学比前体中野生型QG位点处的切割动力学慢。源自VP3氨基末端含有缬氨酸的突变前体(VP3 - G001V)的完全加工的衣壳蛋白VP0、VP3和VP1不稳定,并且在与缺陷脊髓灰质炎病毒共感染的细胞中未能组装成稳定的亚病毒结构。相比之下,源自VP1氨基末端缬氨酸取代的P1前体(VP1 - G001V)组装成空衣壳颗粒,但在组装含RNA病毒粒子方面存在缺陷。将VP1 - G001V突变体的组装特性与先前描述的VP3 - VP1切割位点突变体(K.柯克加德和B.尼尔森,《病毒学杂志》64:185 - 194,1990)进行了比较,该突变体包含VP1的前四个氨基末端残基的缺失(VP1 - δ1 - 4),并且为我们的研究重建到重组痘苗病毒系统中。VP1 - δ1 - 4前体的完全蛋白水解加工也比野生型前体的完全切割更慢,并且病毒粒子的形成延迟;然而,源自VP1 - G001V突变体的衣壳蛋白组装含RNA病毒粒子的效率低于源自VP1 - δ1 - 4前体的衣壳蛋白。(摘要截短至400字)

https://cdn.ncbi.nlm.nih.gov/pmc/blobs/3eb6/238192/ba26a9a03910/jvirol00033-0392-a.jpg
https://cdn.ncbi.nlm.nih.gov/pmc/blobs/3eb6/238192/e43402f377c8/jvirol00033-0386-a.jpg
https://cdn.ncbi.nlm.nih.gov/pmc/blobs/3eb6/238192/aaf35d91d762/jvirol00033-0387-a.jpg
https://cdn.ncbi.nlm.nih.gov/pmc/blobs/3eb6/238192/cc02ddbeaa05/jvirol00033-0388-a.jpg
https://cdn.ncbi.nlm.nih.gov/pmc/blobs/3eb6/238192/7ced23c032bb/jvirol00033-0389-a.jpg
https://cdn.ncbi.nlm.nih.gov/pmc/blobs/3eb6/238192/1c5534c071b7/jvirol00033-0390-a.jpg
https://cdn.ncbi.nlm.nih.gov/pmc/blobs/3eb6/238192/74501ba2f043/jvirol00033-0391-a.jpg
https://cdn.ncbi.nlm.nih.gov/pmc/blobs/3eb6/238192/ba26a9a03910/jvirol00033-0392-a.jpg
https://cdn.ncbi.nlm.nih.gov/pmc/blobs/3eb6/238192/e43402f377c8/jvirol00033-0386-a.jpg
https://cdn.ncbi.nlm.nih.gov/pmc/blobs/3eb6/238192/aaf35d91d762/jvirol00033-0387-a.jpg
https://cdn.ncbi.nlm.nih.gov/pmc/blobs/3eb6/238192/cc02ddbeaa05/jvirol00033-0388-a.jpg
https://cdn.ncbi.nlm.nih.gov/pmc/blobs/3eb6/238192/7ced23c032bb/jvirol00033-0389-a.jpg
https://cdn.ncbi.nlm.nih.gov/pmc/blobs/3eb6/238192/1c5534c071b7/jvirol00033-0390-a.jpg
https://cdn.ncbi.nlm.nih.gov/pmc/blobs/3eb6/238192/74501ba2f043/jvirol00033-0391-a.jpg
https://cdn.ncbi.nlm.nih.gov/pmc/blobs/3eb6/238192/ba26a9a03910/jvirol00033-0392-a.jpg

相似文献

1
Poliovirus capsid proteins derived from P1 precursors with glutamine-valine cleavage sites have defects in assembly and RNA encapsidation.源自具有谷氨酰胺 - 缬氨酸切割位点的P1前体的脊髓灰质炎病毒衣壳蛋白在组装和RNA包裹方面存在缺陷。
J Virol. 1993 Dec;67(12):7284-97. doi: 10.1128/JVI.67.12.7284-7297.1993.
2
Amino acid substitutions in the poliovirus maturation cleavage site affect assembly and result in accumulation of provirions.脊髓灰质炎病毒成熟裂解位点的氨基酸替换会影响装配,并导致前病毒粒子的积累。
J Virol. 1995 Mar;69(3):1540-7. doi: 10.1128/JVI.69.3.1540-1547.1995.
3
Myristylation of poliovirus capsid precursor P1 is required for assembly of subviral particles.脊髓灰质炎病毒衣壳前体P1的肉豆蔻酰化是亚病毒颗粒组装所必需的。
J Virol. 1992 Jul;66(7):4556-63. doi: 10.1128/JVI.66.7.4556-4563.1992.
4
Mutations in the poliovirus P1 capsid precursor at arginine residues VP4-ARG34, VP3-ARG223, and VP1-ARG129 affect virus assembly and encapsidation of genomic RNA.脊髓灰质炎病毒P1衣壳前体中VP4-ARG34、VP3-ARG223和VP1-ARG129精氨酸残基处的突变影响病毒装配和基因组RNA的衣壳化。
Virology. 1994 Feb 15;199(1):20-34. doi: 10.1006/viro.1994.1094.
5
Complementation of a poliovirus defective genome by a recombinant vaccinia virus which provides poliovirus P1 capsid precursor in trans.一种重组痘苗病毒对脊髓灰质炎病毒缺陷基因组的互补作用,该重组痘苗病毒在反式作用下提供脊髓灰质炎病毒P1衣壳前体。
J Virol. 1993 Jun;67(6):3684-90. doi: 10.1128/JVI.67.6.3684-3690.1993.
6
Encapsidation of poliovirus replicons encoding the complete human immunodeficiency virus type 1 gag gene by using a complementation system which provides the P1 capsid protein in trans.通过使用反式提供P1衣壳蛋白的互补系统,对编码完整人类免疫缺陷病毒1型gag基因的脊髓灰质炎病毒复制子进行衣壳化。
J Virol. 1995 Mar;69(3):1548-55. doi: 10.1128/JVI.69.3.1548-1555.1995.
7
Coinfection with recombinant vaccinia viruses expressing poliovirus P1 and P3 proteins results in polyprotein processing and formation of empty capsid structures.感染表达脊髓灰质炎病毒P1和P3蛋白的重组痘苗病毒会导致多蛋白加工和空衣壳结构的形成。
J Virol. 1991 Apr;65(4):2088-92. doi: 10.1128/JVI.65.4.2088-2092.1991.
8
Role for the P4 amino acid residue in substrate utilization by the poliovirus 3CD proteinase.脊髓灰质炎病毒3CD蛋白酶中P4氨基酸残基在底物利用中的作用。
J Virol. 1991 Nov;65(11):6111-23. doi: 10.1128/JVI.65.11.6111-6123.1991.
9
Identification of a short, highly conserved, motif required for picornavirus capsid precursor processing at distal sites.鉴定出一个短的、高度保守的基序,该基序是在远端位置进行小 RNA 病毒衣壳前体加工所必需的。
PLoS Pathog. 2019 Jan 18;15(1):e1007509. doi: 10.1371/journal.ppat.1007509. eCollection 2019 Jan.
10
A cellular cofactor facilitates efficient 3CD cleavage of the poliovirus P1 precursor.一种细胞辅助因子促进脊髓灰质炎病毒P1前体的高效3CD切割。
J Virol. 1993 Apr;67(4):2336-43. doi: 10.1128/JVI.67.4.2336-2343.1993.

引用本文的文献

1
Comparison between Membrane and Thermal Dealcoholization Methods: Their Impact on the Chemical Parameters, Volatile Composition, and Sensory Characteristics of Wines.膜法与热脱醇法的比较:它们对葡萄酒化学参数、挥发性成分和感官特性的影响
Membranes (Basel). 2021 Dec 1;11(12):957. doi: 10.3390/membranes11120957.
2
Cellular N-myristoyltransferases play a crucial picornavirus genus-specific role in viral assembly, virion maturation, and infectivity.细胞 N-豆蔻酰转移酶在病毒组装、病毒成熟和感染性方面发挥着关键的小核糖核酸病毒属特异性作用。
PLoS Pathog. 2018 Aug 6;14(8):e1007203. doi: 10.1371/journal.ppat.1007203. eCollection 2018 Aug.
3

本文引用的文献

1
Complementation of a poliovirus defective genome by a recombinant vaccinia virus which provides poliovirus P1 capsid precursor in trans.一种重组痘苗病毒对脊髓灰质炎病毒缺陷基因组的互补作用,该重组痘苗病毒在反式作用下提供脊髓灰质炎病毒P1衣壳前体。
J Virol. 1993 Jun;67(6):3684-90. doi: 10.1128/JVI.67.6.3684-3690.1993.
2
Role of maturation cleavage in infectivity of picornaviruses: activation of an infectosome.成熟裂解在小核糖核酸病毒感染性中的作用:感染小体的激活。
J Virol. 1993 Apr;67(4):2110-22. doi: 10.1128/JVI.67.4.2110-2122.1993.
3
Genome-linked proteins of viruses.
Analysis of deletion mutants indicates that the 2A polypeptide of hepatitis A virus participates in virion morphogenesis.
缺失突变体分析表明,甲型肝炎病毒的2A多肽参与病毒粒子的形态发生。
J Virol. 2002 Aug;76(15):7495-505. doi: 10.1128/jvi.76.15.7495-7505.2002.
4
RNA binding properties of poliovirus subviral particles.脊髓灰质炎病毒亚病毒颗粒的RNA结合特性
J Virol. 1995 Jan;69(1):13-22. doi: 10.1128/JVI.69.1.13-22.1995.
5
Amino acid substitutions in the poliovirus maturation cleavage site affect assembly and result in accumulation of provirions.脊髓灰质炎病毒成熟裂解位点的氨基酸替换会影响装配,并导致前病毒粒子的积累。
J Virol. 1995 Mar;69(3):1540-7. doi: 10.1128/JVI.69.3.1540-1547.1995.
病毒的基因组连接蛋白
Cell. 1982 Feb;28(2):199-201. doi: 10.1016/0092-8674(82)90335-x.
4
Picornaviral structure and assembly.小核糖核酸病毒的结构与组装
Microbiol Rev. 1981 Jun;45(2):287-315. doi: 10.1128/mr.45.2.287-315.1981.
5
In vitro synthesis and assembly of picornaviral capsid intermediate structures.微小核糖核酸病毒衣壳中间结构的体外合成与组装
J Virol. 1982 Dec;44(3):900-6. doi: 10.1128/JVI.44.3.900-906.1982.
6
Proteolytic processing of poliovirus polypeptides: antibodies to polypeptide P3-7c inhibit cleavage at glutamine-glycine pairs.脊髓灰质炎病毒多肽的蛋白水解加工:针对多肽P3-7c的抗体抑制谷氨酰胺-甘氨酸对处的切割。
Proc Natl Acad Sci U S A. 1982 Jul;79(13):3973-7. doi: 10.1073/pnas.79.13.3973.
7
Primary structure, gene organization and polypeptide expression of poliovirus RNA.脊髓灰质炎病毒RNA的一级结构、基因组织及多肽表达
Nature. 1981 Jun 18;291(5816):547-53. doi: 10.1038/291547a0.
8
Oligonucleotide-directed mutagenesis of DNA fragments cloned into M13 vectors.克隆至M13载体的DNA片段的寡核苷酸定向诱变
Methods Enzymol. 1983;100:468-500. doi: 10.1016/0076-6879(83)00074-9.
9
Further evidence on the formation of poliovirus proteins.关于脊髓灰质炎病毒蛋白质形成的进一步证据。
J Mol Biol. 1970 May 14;49(3):657-69. doi: 10.1016/0022-2836(70)90289-5.
10
Morphogenesis of poliovirus. I. Association of the viral RNA with coat protein.脊髓灰质炎病毒的形态发生。I. 病毒RNA与衣壳蛋白的结合。
J Mol Biol. 1968 Apr 28;33(2):369-78. doi: 10.1016/0022-2836(68)90195-2.