• 文献检索
  • 文档翻译
  • 深度研究
  • 学术资讯
  • Suppr Zotero 插件Zotero 插件
  • 邀请有礼
  • 套餐&价格
  • 历史记录
应用&插件
Suppr Zotero 插件Zotero 插件浏览器插件Mac 客户端Windows 客户端微信小程序
定价
高级版会员购买积分包购买API积分包
服务
文献检索文档翻译深度研究API 文档MCP 服务
关于我们
关于 Suppr公司介绍联系我们用户协议隐私条款
关注我们

Suppr 超能文献

核心技术专利:CN118964589B侵权必究
粤ICP备2023148730 号-1Suppr @ 2026

文献检索

告别复杂PubMed语法,用中文像聊天一样搜索,搜遍4000万医学文献。AI智能推荐,让科研检索更轻松。

立即免费搜索

文件翻译

保留排版,准确专业,支持PDF/Word/PPT等文件格式,支持 12+语言互译。

免费翻译文档

深度研究

AI帮你快速写综述,25分钟生成高质量综述,智能提取关键信息,辅助科研写作。

立即免费体验

痘苗病毒核苷三磷酸磷酸水解酶I通过调节转录速率来控制早期和晚期基因表达。

Vaccinia virus nucleoside triphosphate phosphohydrolase I controls early and late gene expression by regulating the rate of transcription.

作者信息

Diaz-Guerra M, Esteban M

机构信息

Department of Biochemistry, State University of New York, Health Science Center at Brooklyn 11203.

出版信息

J Virol. 1993 Dec;67(12):7561-72. doi: 10.1128/JVI.67.12.7561-7572.1993.

DOI:10.1128/JVI.67.12.7561-7572.1993
PMID:8230476
原文链接:https://pmc.ncbi.nlm.nih.gov/articles/PMC238223/
Abstract

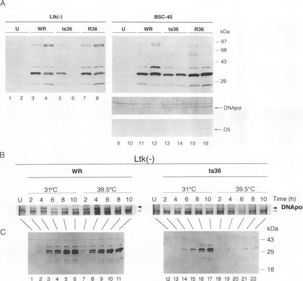
We have carried out a detailed analysis of viral mRNAs and proteins produced in cultured cells infected with a temperature-sensitive vaccinia virus mutant (ts36) containing a modified nucleoside triphosphate phosphohydrolase I (NPH-I), a nucleic acid-dependent ATPase. Using a recombinant virus (ts36LUC) which expresses the luciferase marker, we showed in seven different cell lines that early expression of the receptor gene is strongly inhibited (73.8 to 98.7%) at the nonpermissive temperature. The steady-state levels of different early viral polypeptides were also severely reduced. Analysis of steady-state mRNA levels for two early genes (DNA polymerase and D5) showed that inhibition of early polypeptide synthesis correlated with a reduction in the levels of mRNA accumulated at the nonpermissive temperature. Analysis of steady-state levels of late viral polypeptides and of mRNAs indicated that NPH-I regulation of intermediate and late gene expression is direct and not simply a consequence of its role in inhibiting early gene expression. Characterization of a rescued virus (R36) demonstrated that the temperature-sensitive phenotype of ts36 is due solely to the point mutation in the NPH-I gene. The mutant phenotype is not due to reduced levels of NPH-I present in ts36 virions or to the differential stability of this enzyme in cells infected at the nonpermissive temperature but to inhibition of normal enzymatic activity for this protein. Measurement of viral transcriptional activity in permeabilized purified virions demonstrated that NPH-I is required for normal rates of transcription in vaccinia virus. Our findings show ts36 to be a strongly defective early mutant of vaccinia virus and prove that NPH-I plays a key role in the control of early and late virus gene expression, possibly by way of an auxiliary function which regulates mRNA transcription during the virus growth cycle.

摘要

我们对感染了温度敏感型痘苗病毒突变体(ts36)的培养细胞中产生的病毒mRNA和蛋白质进行了详细分析。该突变体含有一种修饰的核苷三磷酸磷酸水解酶I(NPH-I),即一种依赖核酸的ATP酶。使用表达荧光素酶标记的重组病毒(ts36LUC),我们在七种不同的细胞系中表明,在非允许温度下,受体基因的早期表达受到强烈抑制(73.8%至98.7%)。不同早期病毒多肽的稳态水平也严重降低。对两个早期基因(DNA聚合酶和D5)的稳态mRNA水平分析表明,早期多肽合成的抑制与在非允许温度下积累的mRNA水平降低相关。对晚期病毒多肽和mRNA的稳态水平分析表明,NPH-I对中期和晚期基因表达的调节是直接的,而不仅仅是其抑制早期基因表达作用的结果。对拯救病毒(R36)的表征表明,ts36的温度敏感表型仅归因于NPH-I基因中的点突变。突变表型不是由于ts36病毒粒子中NPH-I水平降低,也不是由于该酶在非允许温度下感染的细胞中的稳定性差异,而是由于该蛋白质正常酶活性的抑制。在通透的纯化病毒粒子中测量病毒转录活性表明,痘苗病毒正常转录速率需要NPH-I。我们的研究结果表明ts36是痘苗病毒的一个严重缺陷的早期突变体,并证明NPH-I在控制病毒早期和晚期基因表达中起关键作用,可能是通过一种辅助功能来调节病毒生长周期中的mRNA转录。

https://cdn.ncbi.nlm.nih.gov/pmc/blobs/3494/238223/ef67118f52da/jvirol00033-0666-a.jpg
https://cdn.ncbi.nlm.nih.gov/pmc/blobs/3494/238223/07db0ab7afbe/jvirol00033-0663-a.jpg
https://cdn.ncbi.nlm.nih.gov/pmc/blobs/3494/238223/671d892a4bc0/jvirol00033-0664-a.jpg
https://cdn.ncbi.nlm.nih.gov/pmc/blobs/3494/238223/f160e0367575/jvirol00033-0665-a.jpg
https://cdn.ncbi.nlm.nih.gov/pmc/blobs/3494/238223/ef67118f52da/jvirol00033-0666-a.jpg
https://cdn.ncbi.nlm.nih.gov/pmc/blobs/3494/238223/07db0ab7afbe/jvirol00033-0663-a.jpg
https://cdn.ncbi.nlm.nih.gov/pmc/blobs/3494/238223/671d892a4bc0/jvirol00033-0664-a.jpg
https://cdn.ncbi.nlm.nih.gov/pmc/blobs/3494/238223/f160e0367575/jvirol00033-0665-a.jpg
https://cdn.ncbi.nlm.nih.gov/pmc/blobs/3494/238223/ef67118f52da/jvirol00033-0666-a.jpg

相似文献

1
Vaccinia virus nucleoside triphosphate phosphohydrolase I controls early and late gene expression by regulating the rate of transcription.痘苗病毒核苷三磷酸磷酸水解酶I通过调节转录速率来控制早期和晚期基因表达。
J Virol. 1993 Dec;67(12):7561-72. doi: 10.1128/JVI.67.12.7561-7572.1993.
2
A mutation of the nucleoside triphosphate phosphohydrolase I (NPH-I) gene confers sensitivity of vaccinia virus to interferon.核苷三磷酸磷酸水解酶I(NPH-I)基因突变使痘苗病毒对干扰素敏感。
Virology. 1993 Nov;197(1):485-91. doi: 10.1006/viro.1993.1618.
3
Vaccinia virions lacking the RNA helicase nucleoside triphosphate phosphohydrolase II are defective in early transcription.缺乏RNA解旋酶核苷三磷酸磷酸水解酶II的痘苗病毒粒子在早期转录中存在缺陷。
J Virol. 1996 Dec;70(12):8549-57. doi: 10.1128/JVI.70.12.8549-8557.1996.
4
Identification of the point mutations in two vaccinia virus nucleoside triphosphate phosphohydrolase I temperature-sensitive mutants and role of this DNA-dependent ATPase enzyme in virus gene expression.
Virology. 1990 Feb;174(2):459-71. doi: 10.1016/0042-6822(90)90100-6.
5
Vaccinia virus nucleoside triphosphate phosphohydrolase I is an essential viral early gene transcription termination factor.痘苗病毒核苷三磷酸磷酸水解酶I是一种重要的病毒早期基因转录终止因子。
Virology. 1998 Jun 5;245(2):360-71. doi: 10.1006/viro.1998.9177.
6
Transcription of viral late genes is dependent on expression of the viral intermediate gene G8R in cells infected with an inducible conditional-lethal mutant vaccinia virus.病毒晚期基因的转录取决于在感染可诱导条件致死性突变痘苗病毒的细胞中病毒中间基因G8R的表达。
J Virol. 1992 Nov;66(11):6470-9. doi: 10.1128/JVI.66.11.6470-6479.1992.
7
Temperature-sensitive mutations in the gene encoding the small subunit of the vaccinia virus early transcription factor impair promoter binding, transcription activation, and packaging of multiple virion components.编码痘苗病毒早期转录因子小亚基的基因中的温度敏感突变会损害启动子结合、转录激活以及多种病毒体成分的包装。
J Virol. 1994 Apr;68(4):2605-14. doi: 10.1128/JVI.68.4.2605-2614.1994.
8
Interaction between nucleoside triphosphate phosphohydrolase I and the H4L subunit of the viral RNA polymerase is required for vaccinia virus early gene transcript release.痘苗病毒早期基因转录本释放需要核苷三磷酸磷酸水解酶I与病毒RNA聚合酶的H4L亚基之间的相互作用。
J Biol Chem. 2000 Aug 18;275(33):25798-804. doi: 10.1074/jbc.M002250200.
9
Detailed phenotypic characterization of five temperature-sensitive mutants in the 22- and 147-kilodalton subunits of vaccinia virus DNA-dependent RNA polymerase.痘苗病毒DNA依赖性RNA聚合酶22千道尔顿和147千道尔顿亚基中五个温度敏感突变体的详细表型特征分析。
J Virol. 1989 Feb;63(2):714-29. doi: 10.1128/JVI.63.2.714-729.1989.
10
Vaccinia virus RNA helicase: an essential enzyme related to the DE-H family of RNA-dependent NTPases.痘苗病毒RNA解旋酶:一种与RNA依赖性NTP酶的DE-H家族相关的必需酶。
Proc Natl Acad Sci U S A. 1992 Nov 15;89(22):10935-9. doi: 10.1073/pnas.89.22.10935.

引用本文的文献

1
Nucleoside Triphosphate Phosphohydrolase I (NPH I) Functions as a 5' to 3' Translocase in Transcription Termination of Vaccinia Early Genes.核苷三磷酸磷酸水解酶I(NPH I)在痘苗病毒早期基因转录终止过程中作为5'至3'转位酶发挥作用。
J Biol Chem. 2016 Jul 8;291(28):14826-38. doi: 10.1074/jbc.M116.730135. Epub 2016 May 6.
2
Infection by agnoprotein-negative mutants of polyomavirus JC and SV40 results in the release of virions that are mostly deficient in DNA content.多瘤病毒 JC 和 SV40 的 agnoprotein 阴性突变体感染会导致释放出大多数 DNA 含量不足的病毒粒子。
Virol J. 2011 May 24;8:255. doi: 10.1186/1743-422X-8-255.
3

本文引用的文献

1
Messenger RNA synthesis by a "coated" viral genome.由“包膜”病毒基因组进行信使核糖核酸合成。
Proc Natl Acad Sci U S A. 1967 Feb;57(2):314-20. doi: 10.1073/pnas.57.2.314.
2
The preparation and characteristics of highly purified radioactively labelled poxvirus.高纯度放射性标记痘病毒的制备及其特性
Biochim Biophys Acta. 1962 Aug 20;61:290-301. doi: 10.1016/0926-6550(62)90091-9.
3
THE PROPERTIES OF REPRESSOR AND THE KINETICS OF ITS ACTION.阻遏物的特性及其作用动力学
Interaction of JC virus agno protein with T antigen modulates transcription and replication of the viral genome in glial cells.
JC病毒无义蛋白与T抗原的相互作用调节神经胶质细胞中病毒基因组的转录和复制。
J Virol. 2001 Feb;75(3):1476-86. doi: 10.1128/JVI.75.3.1476-1486.2001.
4
Transcription of a vaccinia virus late promoter template: requirement for the product of the A2L intermediate-stage gene.痘苗病毒晚期启动子模板的转录:对A2L中期基因产物的需求
J Virol. 1996 Jul;70(7):4444-50. doi: 10.1128/JVI.70.7.4444-4450.1996.
5
Temperature-sensitive mutations in the gene encoding the small subunit of the vaccinia virus early transcription factor impair promoter binding, transcription activation, and packaging of multiple virion components.编码痘苗病毒早期转录因子小亚基的基因中的温度敏感突变会损害启动子结合、转录激活以及多种病毒体成分的包装。
J Virol. 1994 Apr;68(4):2605-14. doi: 10.1128/JVI.68.4.2605-2614.1994.
6
Reversal of the interferon-sensitive phenotype of a vaccinia virus lacking E3L by expression of the reovirus S4 gene.通过呼肠孤病毒S4基因的表达逆转缺乏E3L的痘苗病毒的干扰素敏感表型。
J Virol. 1995 Jan;69(1):499-505. doi: 10.1128/JVI.69.1.499-505.1995.
7
The dual-specificity phosphatase encoded by vaccinia virus, VH1, is essential for viral transcription in vivo and in vitro.痘苗病毒编码的双特异性磷酸酶VH1在体内和体外的病毒转录中都至关重要。
J Virol. 1995 Dec;69(12):7823-34. doi: 10.1128/JVI.69.12.7823-7834.1995.
8
Functional organization of variola major and vaccinia virus genomes.天花病毒和痘苗病毒基因组的功能组织
Virus Genes. 1995;10(1):53-71. doi: 10.1007/BF01724297.
J Mol Biol. 1965 Jun;12:305-27. doi: 10.1016/s0022-2836(65)80255-8.
4
Temperature-sensitive mutants in the vaccinia virus A18R gene increase double-stranded RNA synthesis as a result of aberrant viral transcription.痘苗病毒A18R基因中的温度敏感突变体由于异常的病毒转录而增加双链RNA合成。
Virology. 1993 May;194(1):254-62. doi: 10.1006/viro.1993.1256.
5
Recruitment of vaccinia virus RNA polymerase to an early gene promoter by the viral early transcription factor.病毒早期转录因子将痘苗病毒RNA聚合酶招募至早期基因启动子。
J Biol Chem. 1993 Feb 5;268(4):2773-80.
6
Isolation and preliminary characterization of temperature-sensitive mutants of vaccinia virus.痘苗病毒温度敏感突变体的分离与初步鉴定
Virology. 1981 Aug;113(1):224-41. doi: 10.1016/0042-6822(81)90150-1.
7
Isolation, characterization, and physical mapping of temperature-sensitive mutants of vaccinia virus.痘苗病毒温度敏感突变体的分离、特性鉴定及物理图谱绘制
Virology. 1983 Jul 30;128(2):429-43. doi: 10.1016/0042-6822(83)90268-4.
8
The role of ATP in in vitro vaccinia virus RNA synthesis effects of AMP-PNP and ATP gamma S.ATP在体外痘苗病毒RNA合成中的作用:AMP-PNP和ATPγS的影响
J Biol Chem. 1980 Jun 10;255(11):5396-403.
9
Hybridization and sedimentation studies on "early" and "late" vaccinia messenger RNA.关于“早期”和“晚期”牛痘信使核糖核酸的杂交与沉降研究。
J Mol Biol. 1967 Aug 14;27(3):395-419. doi: 10.1016/0022-2836(67)90047-2.
10
Metabolic properties of early and late vaccinia virus messenger ribonucleic acid.早期和晚期牛痘病毒信使核糖核酸的代谢特性
J Virol. 1967 Jun;1(3):550-8. doi: 10.1128/JVI.1.3.550-558.1967.