Uppuluri S, Knipling L, Sackett D L, Wolff J
Laboratory of Biochemical Pharmacology, National Institute of Diabetes and Digestive and Kidney Diseases, Bethesda, MD 20892.
Proc Natl Acad Sci U S A. 1993 Dec 15;90(24):11598-602. doi: 10.1073/pnas.90.24.11598.
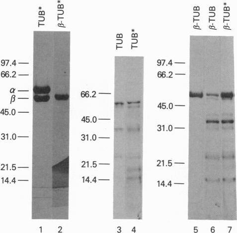
We have previously shown that rat brain tubulin, a heterodimer consisting of an alpha and beta monomer, can be covalently labeled with [3H]colchicine by near UV irradiation. Most of the label appears in beta-tubulin. We show here that beta-tubulin can be separated and purified from SDS preparative gels and analyzed by proteolysis. Chymotrypsin yielded a labeled approximately 4-kDa band that contained two peptides. Tryptic digestion also yielded an approximately 4-kDa band containing two peptides. Sequence analysis revealed a peptide of residues 1-36 and 213-242 for chymotrypsin and a peptide of residues 1-46 and 214-241 for trypsin. To identify which peptide carried the label, limited hydrolysis of beta-tubulin was done with trypsin; this procedure yielded a labeled 16-kDa N-terminal peptide and a 35-kDa C-terminal peptide, as identified by antibodies. Isolation of these peptides and extensive digestion with trypsin yielded two labeled peptides corresponding to residues 1-46 from the 16-kDa N-terminal fragment and residues 214-241 from the 35-kDa C-terminal fragment. These results show that at least two regions in beta-tubulin are specifically involved in colchicine binding and that the span of the colchicine molecule, < or = 11 A, bridges these two regions in the native beta monomer.
我们之前已经表明,大鼠脑微管蛋白是一种由α和β单体组成的异二聚体,通过近紫外照射可与[3H]秋水仙碱进行共价标记。大部分标记出现在β-微管蛋白中。我们在此表明,β-微管蛋白可从SDS制备凝胶中分离纯化,并通过蛋白酶解进行分析。胰凝乳蛋白酶产生了一条约4 kDa的标记条带,其中包含两个肽段。胰蛋白酶消化也产生了一条约4 kDa的条带,包含两个肽段。序列分析显示,胰凝乳蛋白酶作用后的肽段为1 - 36位和213 - 242位残基,胰蛋白酶作用后的肽段为1 - 46位和214 - 241位残基。为了确定哪个肽段带有标记,用胰蛋白酶对β-微管蛋白进行了有限水解;通过抗体鉴定,该过程产生了一个标记的16 kDa N端肽段和一个35 kDa C端肽段。分离这些肽段并用胰蛋白酶进行广泛消化,得到了两个标记肽段,分别对应于16 kDa N端片段的1 - 46位残基和35 kDa C端片段的214 - 241位残基。这些结果表明,β-微管蛋白中至少有两个区域特异性参与秋水仙碱结合,并且秋水仙碱分子的跨度≤11 Å,在天然β单体中连接这两个区域。