Kohwi Y, Wang H, Kohwi-Shigematsu T
La Jolla Cancer Research Foundation, CA 92037.
Nucleic Acids Res. 1993 Dec 11;21(24):5651-5. doi: 10.1093/nar/21.24.5651.
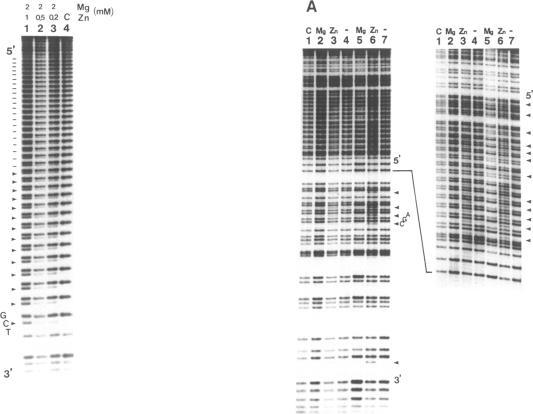
Expansion of (AGC)n repeats has been associated with genetic disorders called triplet-repeat diseases such as Huntington's disease (HD), myotonic muscular dystrophy (DM) and Kennedy's disease. To gain insight into the abnormal behavior of these repeats, we studied their structural properties in supercoiled DNA. Chemical probing revealed that, under physiological salt and pH conditions, Zn2+ or Co2+ ions induce (AGC)n repeats to adopt a novel non-B DNA structure in which all cytosine but none of adenine residues in either strand become unpaired. The minimum size of (AGC)n repeat that could form this structure independently of neighboring sequences is a single unit of double-stranded trinucleotide, 5'AGC3'/5'GCT3'. Other trinucleotide units of the same nucleotide composition, 5'CAG3'/5'CTG3' or 5'GCA3'/5'TGC3', do not form non-B DNA structures. This unusual DNA structural properly adopted by a single 5'AGC3'/5'GCT3' trinucleotide may contribute to expansion of (AGC)n sequences in triplet-repeat diseases.
(AGC)n重复序列的扩增与称为三联体重复疾病的遗传疾病相关,如亨廷顿舞蹈症(HD)、强直性肌营养不良(DM)和肯尼迪病。为了深入了解这些重复序列的异常行为,我们研究了它们在超螺旋DNA中的结构特性。化学探测表明,在生理盐浓度和pH条件下,Zn2+或Co2+离子诱导(AGC)n重复序列形成一种新型的非B型DNA结构,其中每条链上所有的胞嘧啶残基而非腺嘌呤残基都不成对。能够独立于相邻序列形成这种结构的(AGC)n重复序列的最小长度是一个双链三核苷酸单元,即5'AGC3'/5'GCT3'。具有相同核苷酸组成的其他三核苷酸单元,如5'CAG3'/5'CTG3'或5'GCA3'/5'TGC3',则不会形成非B型DNA结构。单个5'AGC3'/5'GCT3'三核苷酸所采用的这种不同寻常的DNA结构特性可能导致三联体重复疾病中(AGC)n序列的扩增。