Suppr超能文献

乳头状纤维弹性瘤。右心房表现。

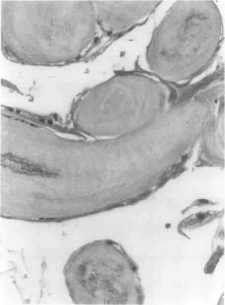
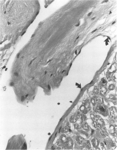
Papillary fibroelastoma. A right atrial presentation.

作者信息

Gallas M T, Reardon M J, Reardon P R, DeFelice C A, Raizner A E, Mody D R

机构信息

Residency Program, Baylor College of Medicine, Houston, Texas.

出版信息

Tex Heart Inst J. 1993;20(4):293-5.

Abstract

Papillary fibroelastoma is a rare cardiac tumor arising most frequently from valvular endocardium. These tumors are clinically important because of their tendency to embolize. Emphasis is therefore placed on early detection and surgical excision. We describe a case of a papillary fibroelastoma arising from the right atrium. To our knowledge, only 2 such cases have been reported in the English literature. Our case illustrates the discovery of a rare, but potentially fatal cardiac tumor, successfully removed by surgery.

摘要

乳头状纤维弹性瘤是一种罕见的心脏肿瘤,最常起源于瓣膜心内膜。这些肿瘤具有栓塞倾向,因此在临床上具有重要意义。所以重点在于早期检测和手术切除。我们描述了一例起源于右心房的乳头状纤维弹性瘤病例。据我们所知,英文文献中仅报道过2例此类病例。我们的病例说明了发现一种罕见但可能致命的心脏肿瘤,并通过手术成功切除。

https://cdn.ncbi.nlm.nih.gov/pmc/blobs/d662/325114/0267da3ecaf3/thij00043-0056-a.jpg

文献检索

告别复杂PubMed语法,用中文像聊天一样搜索,搜遍4000万医学文献。AI智能推荐,让科研检索更轻松。

立即免费搜索

文件翻译

保留排版,准确专业,支持PDF/Word/PPT等文件格式,支持 12+语言互译。

免费翻译文档

深度研究

AI帮你快速写综述,25分钟生成高质量综述,智能提取关键信息,辅助科研写作。

立即免费体验