Suppr超能文献

减数分裂特异性Xmr基因产物与淋巴细胞Xlr蛋白同源,是XY体的一个组成部分。

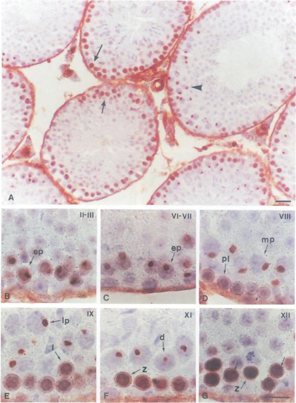
The meiosis-specific Xmr gene product is homologous to the lymphocyte Xlr protein and is a component of the XY body.

作者信息

Calenda A, Allenet B, Escalier D, Bach J F, Garchon H J

机构信息

INSERM U25, Hôpital Necker, Paris, France.

出版信息

EMBO J. 1994 Jan 1;13(1):100-9. doi: 10.1002/j.1460-2075.1994.tb06239.x.

Abstract

The Xlr (X-chromosome linked, lymphocyte regulated) multigene family was previously found to determine, in the lymphoid cell lineage, the stage-specific expression of a nuclear protein with a primary sequence suggestive of a transcriptional activator function. We report here the characterization of a second functional member of the Xlr gene family that is abundantly transcribed in testis in a tissue-specific and developmentally regulated manner. The protein product of this newly identified gene, called Xmr (Xlr-related, meiosis regulated), is located in the nuclei of spermatocytes, early in the prophase of the first meiotic division, and later becomes concentrated in the XY nuclear subregion where it is in particular associated with the axes of sex chromosomes. The Xmr protein provides a new tool for the investigation of sex chromosome behaviour during meiosis in mammals.

摘要

Xlr(X染色体连锁、淋巴细胞调节)多基因家族先前被发现可在淋巴样细胞谱系中决定一种核蛋白的阶段特异性表达,该核蛋白的一级序列提示具有转录激活功能。我们在此报告Xlr基因家族的第二个功能成员的特征,该成员在睾丸中以组织特异性和发育调节的方式大量转录。这个新鉴定基因的蛋白质产物称为Xmr(Xlr相关、减数分裂调节),位于第一次减数分裂前期早期的精母细胞核中,随后集中在XY核亚区域,在该区域它特别与性染色体的轴相关联。Xmr蛋白为研究哺乳动物减数分裂过程中性染色体的行为提供了一种新工具。

https://cdn.ncbi.nlm.nih.gov/pmc/blobs/e7d8/394783/bfcf1102ac30/emboj00049-0109-a.jpg

文献检索

告别复杂PubMed语法,用中文像聊天一样搜索,搜遍4000万医学文献。AI智能推荐,让科研检索更轻松。

立即免费搜索

文件翻译

保留排版,准确专业,支持PDF/Word/PPT等文件格式,支持 12+语言互译。

免费翻译文档

深度研究

AI帮你快速写综述,25分钟生成高质量综述,智能提取关键信息,辅助科研写作。

立即免费体验