Suppr超能文献

低传代和高传代流感病毒感染对正常小鼠和裸鼠的影响。

Effects of low- and high-passage influenza virus infection in normal and nude mice.

作者信息

Wyde P R, Couch R B, Mackler B F, Cate T R, Levy B M

出版信息

Infect Immun. 1977 Jan;15(1):221-9. doi: 10.1128/iai.15.1.221-229.1977.

Abstract

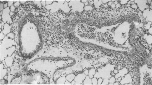
A human isolate of type A Hong Kong influenza virus (H3N2) was adapted to mice by serial passage. Lung homogenates from mice who received low passage levels contained about the same quantity of virus (10(6.2-6.95) 50% tissue culture infective doses/ml) as those from mice who received high passage levels (10(5.95-6.45) 50% tissue culture infective doses/ml); however, death occurred only in animals given high-passage virus. Passage 3 (P3) and passage 9 (P9) viruses were selected as representative of low-passage and high-passage viruses, respectively. Although minimal differences were detected in infectivity for rhesus monkey kidney tissue cultures and mice, P9 virus was at least 10,000 times more lethal for mice (mean lethal dose = 10(4.2)). Infection with P3 virus was accompanied by minimal bronchitis and bronchiolitis only, whereas P9-infected animals exhibited marked bronchitis, bronchiolitis, and pneumonia. Striking thymic cortical atrophy was also demonstrable in the P9-infected animals and, although virus was more commonly recovered from thymuses from these animals, immunofluorescent studies revealed only a few cells containing influenza virus antigens. To further explore the participation of thymus-derived lymphocytes in influenza, athymic nude mice and furred immunocompetent littermates were given 500 50% mouse infectious doses of P9 virus. Nude mice exhibited an increased survival time and, in contrast to the extensive lung pathology seen in furred littermates, manifested minimal cellular infiltration and no tissue destruction in lungs. Brains from nude mice exhibited encephalomalacia with lymphocytic perivascular cuffing, which was not seen in furred animals. Virus was recovered from brains of 6 of 13 nude mice and 1 of 10 furred animals. The contrasting models suggest that thymus-dependent cells play a significant role in the inflammatory response to influenza virus infection and should prove useful for probing host-virus interactions which characterize influenza virus virulence.

摘要

一株甲型香港流感病毒(H3N2)的人源分离株通过连续传代适应了小鼠。接受低传代水平的小鼠的肺匀浆中所含病毒量(10(6.2 - 6.95) 50%组织培养感染剂量/毫升)与接受高传代水平的小鼠的肺匀浆中所含病毒量(10(5.95 - 6.45) 50%组织培养感染剂量/毫升)大致相同;然而,只有接受高传代病毒的动物死亡。分别选择第3代(P3)和第9代(P9)病毒作为低传代和高传代病毒的代表。虽然在恒河猴肾组织培养物和小鼠中的感染性检测到的差异极小,但P9病毒对小鼠的致死性至少高10000倍(平均致死剂量 = 10(4.2))。感染P3病毒仅伴有轻微的支气管炎和细支气管炎,而感染P9病毒的动物表现出明显的支气管炎、细支气管炎和肺炎。在感染P9病毒的动物中还可明显看到胸腺皮质显著萎缩,尽管从这些动物的胸腺中更常分离到病毒,但免疫荧光研究仅发现少数含有流感病毒抗原的细胞。为了进一步探究胸腺来源的淋巴细胞在流感中的作用,给无胸腺裸鼠和有毛免疫 competent 同窝小鼠接种500个50%小鼠感染剂量的P9病毒。裸鼠的存活时间延长,与有毛同窝小鼠肺部广泛的病理变化形成对比,裸鼠肺部表现出极少的细胞浸润且无组织破坏。裸鼠的大脑出现脑软化并伴有淋巴细胞血管周围套袖样浸润,有毛动物中未见到这种情况。13只裸鼠中有6只以及10只有毛动物中有1只的大脑中分离到了病毒。这些对比模型表明,胸腺依赖性细胞在对流感病毒感染的炎症反应中起重要作用,并且应该有助于探究表征流感病毒毒力的宿主 - 病毒相互作用。

https://cdn.ncbi.nlm.nih.gov/pmc/blobs/677f/421352/8bff0876d922/iai00205-0236-a.jpg

文献检索

告别复杂PubMed语法,用中文像聊天一样搜索,搜遍4000万医学文献。AI智能推荐,让科研检索更轻松。

立即免费搜索

文件翻译

保留排版,准确专业,支持PDF/Word/PPT等文件格式,支持 12+语言互译。

免费翻译文档

深度研究

AI帮你快速写综述,25分钟生成高质量综述,智能提取关键信息,辅助科研写作。

立即免费体验