Suppr超能文献

从鼻咽癌中分离出的突变型p53肿瘤抑制基因的过表达增强了向肿瘤细胞表型的进展。

Progression toward tumor cell phenotype is enhanced by overexpression of a mutant p53 tumor-suppressor gene isolated from nasopharyngeal carcinoma.

作者信息

Sun Y, Nakamura K, Wendel E, Colburn N

机构信息

Biological Carcinogenesis and Development Program, Program Resources, Inc./DynCorp, Frederick, MD.

出版信息

Proc Natl Acad Sci U S A. 1993 Apr 1;90(7):2827-31. doi: 10.1073/pnas.90.7.2827.

Abstract

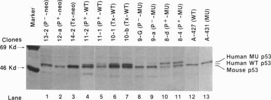
We recently reported the detection of a heterozygous G-->C point mutation at codon 280 of p53 in nasopharyngeal carcinoma, which causes an Arg-->Thr substitution. To test whether this mutant p53 has gained function as an oncogene, we overexpressed the mutant p53 in nontumorigenic cells of two model systems: (i) human Saos-2 cells lacking endogenous p53 and (ii) mouse JB6 variants that bear endogenous wild-type p53. Although they have no growth advantage over the neomycin controls in monolayer culture, human Saos-2 transfectants overexpressing mutant p53 do show enhanced progression to tumor cell phenotype, as assayed by anchorage-independent growth and in vivo tumorigenicity. The enhancement is seen only in transfectants expressing higher levels of p53 protein. In the mouse JB6 system, the mutant p53 functions dominantly in the presence of endogenous wild-type p53 to enhance progression of preneoplastic promotion-sensitive cells toward anchorage-independent phenotype. Mouse JB6 transfectants of mutant p53 are, however, not tumorigenic in nude mice. We conclude from these studies that the G-->C point mutation of p53 at codon 280 is a gain-of-function mutation that appears to operate dominantly and that the mutant p53-thr280 has only moderate oncogenic activity. This mutation may cooperate with other yet-to-be isolated genes in the genesis of nasopharyngeal carcinoma.

摘要

我们最近报道了在鼻咽癌中检测到p53基因第280密码子处存在一个杂合的G→C点突变,该突变导致精氨酸被苏氨酸取代。为了检测这种突变型p53是否获得了癌基因功能,我们在两个模型系统的非致瘤细胞中过表达了突变型p53:(i)缺乏内源性p53的人Saos-2细胞,以及(ii)携带内源性野生型p53的小鼠JB6变体。尽管在单层培养中,过表达突变型p53的人Saos-2转染子与新霉素对照相比没有生长优势,但通过非锚定依赖性生长和体内致瘤性检测发现,它们确实表现出向肿瘤细胞表型的进展增强。这种增强仅在表达较高水平p53蛋白的转染子中可见。在小鼠JB6系统中,突变型p53在内源性野生型p53存在的情况下发挥显性作用,增强肿瘤前促进敏感细胞向非锚定依赖性表型的进展。然而,突变型p53的小鼠JB6转染子在裸鼠中不具有致瘤性。我们从这些研究中得出结论,p53基因第280密码子的G→C点突变是一种功能获得性突变,似乎以显性方式起作用,并且突变型p53 - thr280仅具有中等的致癌活性。这种突变可能在鼻咽癌的发生过程中与其他尚未分离的基因协同作用。

https://cdn.ncbi.nlm.nih.gov/pmc/blobs/9418/46189/2b9ebfe71344/pnas01466-0281-a.jpg

文献检索

告别复杂PubMed语法,用中文像聊天一样搜索,搜遍4000万医学文献。AI智能推荐,让科研检索更轻松。

立即免费搜索

文件翻译

保留排版,准确专业,支持PDF/Word/PPT等文件格式,支持 12+语言互译。

免费翻译文档

深度研究

AI帮你快速写综述,25分钟生成高质量综述,智能提取关键信息,辅助科研写作。

立即免费体验