Suppr超能文献

环孢素A对链球菌细胞壁诱导的气囊肿急性炎症中局部和全身反应的抑制作用。与两种抗炎双苯并咪唑的作用比较。

Suppression of local and systemic responses in streptococcal cell wall-induced acute inflammation of the air pouch by cyclosporine A. Comparison with the effects of two anti-inflammatory bis-benzimidazoles.

作者信息

Dieter Geratz J, Pryzwansky K B, Schwab J H, Anderle S K, Tidwell R R

机构信息

School of Medicine, Department of Pathology, University of North Carolina, Chapel Hill 27599.

出版信息

Am J Pathol. 1993 Apr;142(4):1227-37.

Abstract

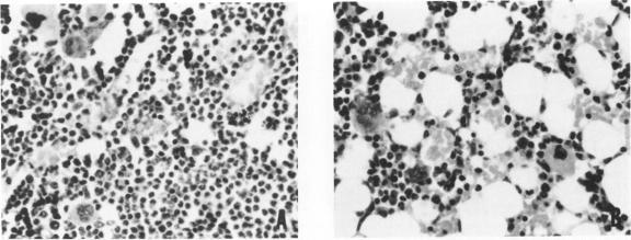
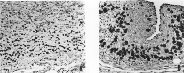
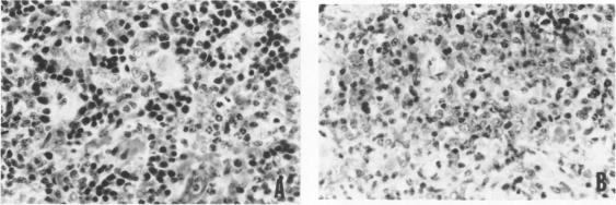
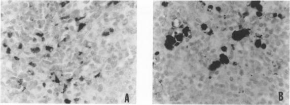
Injection of streptococcus group A cell wall-derived peptidoglycan polysaccharide into a subcutaneous air pouch causes local outpouring of neutrophils and macrophages and distant hemopoietic proliferation in spleen and bone marrow. Cyclosporine A (CyA) suppressed neutrophil accumulation and all cell lines of hemopoiesis. trans-1,2-Bis(5-amidino-2-benzimidazolyl)ethene (BBE) also interfered with neutrophil exudation, yet reduced only the erythroid component of the hemopoietic process. The ethane analogue of BBE, on the other hand, did not prevent neutrophil emigration, but held down splenic erythropoiesis and myelopoiesis. All three compounds stimulated streptococcus group A cell wall-derived peptidoglycan polysaccharide uptake by pouch macrophages. CyA being the least active, BBE and its ethane analogue also produced a shift of wear-and-tear pigment from large numbers of small splenic macro-phages into small numbers of large macrophages. The pouch model is very useful in the study of anti-inflammatory compounds and has furnished the first evidence of CyA interference with massive neutrophilic infiltration and with hemopoietic signals.

摘要

将A组链球菌细胞壁衍生的肽聚糖多糖注射到皮下气囊中会导致中性粒细胞和巨噬细胞在局部渗出,并使脾脏和骨髓出现远处造血增殖。环孢素A(CyA)抑制中性粒细胞聚集以及所有造血细胞系。反式-1,2-双(5-脒基-2-苯并咪唑基)乙烯(BBE)也干扰中性粒细胞渗出,但仅减少造血过程中的红系成分。另一方面,BBE的乙烷类似物并未阻止中性粒细胞迁移,但抑制了脾脏的红细胞生成和骨髓生成。这三种化合物均刺激气囊巨噬细胞摄取A组链球菌细胞壁衍生的肽聚糖多糖。CyA活性最低,BBE及其乙烷类似物还使大量小脾脏巨噬细胞中的损耗色素转移到少量大巨噬细胞中。气囊模型在抗炎化合物研究中非常有用,并且提供了CyA干扰大量中性粒细胞浸润和造血信号的首个证据。

https://cdn.ncbi.nlm.nih.gov/pmc/blobs/4fa8/1886893/bf4886470780/amjpathol00076-0261-a.jpg

文献检索

告别复杂PubMed语法,用中文像聊天一样搜索,搜遍4000万医学文献。AI智能推荐,让科研检索更轻松。

立即免费搜索

文件翻译

保留排版,准确专业,支持PDF/Word/PPT等文件格式,支持 12+语言互译。

免费翻译文档

深度研究

AI帮你快速写综述,25分钟生成高质量综述,智能提取关键信息,辅助科研写作。

立即免费体验