Hopwood D, Spiers E M, Ross P E, Anderson J T, McCullough J B, Murray F E
Department of Pathology, Ninewells Hospital and Medical School, Dundee.
Gut. 1995 Nov;37(5):598-602. doi: 10.1136/gut.37.5.598.
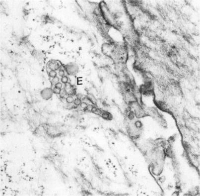
This paper examines the presence and characteristics of endocytosis by oesophageal epithelial cells. Biopsy specimens from normal and inflamed oesophagus were incubated in organ culture with fluorescent microspheres (0.1 and 0.01 microns diameter). These markers were taken into early endosomes and the lysosomes of both the smaller differentiating prickle cells and the larger mature squamous cells. Confocal and electron microscopy showed that markers passed to the early endosomes and the lysosomes by endocytosis. The process was energy dependent. Larger, 1 micron microspheres adhered to the epithelial cells but were not phagocytosed. Disaggregated cells were analysed by flow cytometry. Microspheres were endocytosed in proportion to the concentration in the culture medium in a dose dependent manner. Cells from inflamed oesophagus were significantly smaller (p = 0.013) and took up significantly more microspheres than cells from normal biopsy specimens (p = 0.015). In conclusion, endocytosis occurs in oesophageal epithelial cells and is increased in inflammation.