Li B, Vilardell J, Warner J R
Department of Cell Biology, Albert Einstein College of Medicine, Bronx, NY 10461, USA.
Proc Natl Acad Sci U S A. 1996 Feb 20;93(4):1596-600. doi: 10.1073/pnas.93.4.1596.
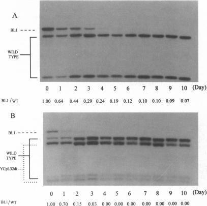
While studies of the regulation of gene expression have generally concerned qualitative changes in the selection or the level of expression of a gene, much of the regulation that occurs within a cell involves the continuous subtle optimization of the levels of proteins used in macromolecular complexes. An example is the biosynthesis of the ribosome, in which equimolar amounts of nearly 80 ribosomal proteins must be supplied by the cytoplasm to the nucleolus. We have found that the transcript of one of the ribosomal protein genes of Saccharomyces cerevisiae, RPL32, participates in such fine tuning. Sequences from exon I of the RPL32 transcript interact with nucleotides from the intron to form a structure that binds L32 to regulate splicing. In the spliced transcript, the same sequences interact with nucleotides from exon II to form a structure that binds L32 to regulate translation, thus providing two levels of autoregulation. We now show, by using a sensitive cocultivation assay, that these RNA structures and their interaction with L32 play a role in the fitness of the cell. The change of a single nucleotide within the 5' leader of the RPL32 transcript, which abolishes the site for L32 binding, leads to detectably slower growth and to eventual loss of the mutant strain from the culture. Experiments designed to assess independently the regulation of splicing and the regulation of translation are presented. These observations demonstrate that, in evolutionary terms, subtle regulatory compensations can be critical. The change in structure of an RNA, due to alteration of just one noncoding nucleotide, can spell the difference between biological success and failure.
虽然基因表达调控的研究通常关注基因选择或表达水平的定性变化,但细胞内发生的许多调控涉及对大分子复合物中所用蛋白质水平的持续细微优化。一个例子是核糖体的生物合成,其中细胞质必须向核仁提供等摩尔量的近80种核糖体蛋白。我们发现酿酒酵母的一种核糖体蛋白基因RPL32的转录本参与了这种微调。RPL32转录本外显子I的序列与内含子的核苷酸相互作用形成一种结构,该结构结合L32以调节剪接。在剪接后的转录本中,相同的序列与外显子II的核苷酸相互作用形成一种结构,该结构结合L32以调节翻译,从而提供两个水平的自动调节。我们现在通过使用灵敏的共培养测定法表明,这些RNA结构及其与L32的相互作用在细胞适应性中起作用。RPL32转录本5'前导序列内单个核苷酸的变化消除了L32结合位点,导致生长明显变慢并最终使突变菌株从培养物中消失。本文展示了旨在独立评估剪接调控和翻译调控的实验。这些观察结果表明,从进化的角度来看,细微的调控补偿可能至关重要。仅一个非编码核苷酸的改变导致的RNA结构变化,可能意味着生物成功与失败的差异。