Hayashi T, Yamamoto S, Onodera T
Laboratory of Veterinary Pathology, Yamaguchi University, Japan.
Int J Exp Pathol. 1995 Dec;76(6):403-9.
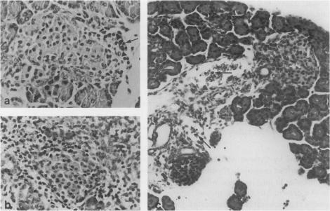
Reovirus type 2-induced diabetes-like syndrome in suckling mice is considered to be an animal model for human insulin-dependent diabetes mellitus. We have previously demonstrated that immunopathologic pancreatic islet cell damage might be relevant to reovirus type 2 infection. In this study the involvement of adhesion molecules in the development of reovirus type 2-induced diabetes-like syndrome was examined. In infected mice infiltration of mononuclear cells mixed with polymorphonuclear leucocytes in and around pancreatic islets (insulitis) was observed in association with abnormal glucose tolerance. The treatment with monoclonal antibodies against intercellular adhesion molecule-1 (ICAM-1) and lymphocyte function-associated antigen-1 (LFA-1) prevented the development of insulitis with abnormal glucose tolerance in a dose dependent manner. These results suggest that ICAM-1 and LFA-1 molecules may, at least in part, participate in islet cell damage, resulting in reovirus type 2-induced diabetes-like syndrome. The role of ICAM-1 and LFA-1 molecules on the development of insulitis is discussed.