• 文献检索
  • 文档翻译
  • 深度研究
  • 学术资讯
  • Suppr Zotero 插件Zotero 插件
  • 邀请有礼
  • 套餐&价格
  • 历史记录
应用&插件
Suppr Zotero 插件Zotero 插件浏览器插件Mac 客户端Windows 客户端微信小程序
定价
高级版会员购买积分包购买API积分包
服务
文献检索文档翻译深度研究API 文档MCP 服务
关于我们
关于 Suppr公司介绍联系我们用户协议隐私条款
关注我们

Suppr 超能文献

核心技术专利:CN118964589B侵权必究
粤ICP备2023148730 号-1Suppr @ 2026

文献检索

告别复杂PubMed语法,用中文像聊天一样搜索,搜遍4000万医学文献。AI智能推荐,让科研检索更轻松。

立即免费搜索

文件翻译

保留排版,准确专业,支持PDF/Word/PPT等文件格式,支持 12+语言互译。

免费翻译文档

深度研究

AI帮你快速写综述,25分钟生成高质量综述,智能提取关键信息,辅助科研写作。

立即免费体验

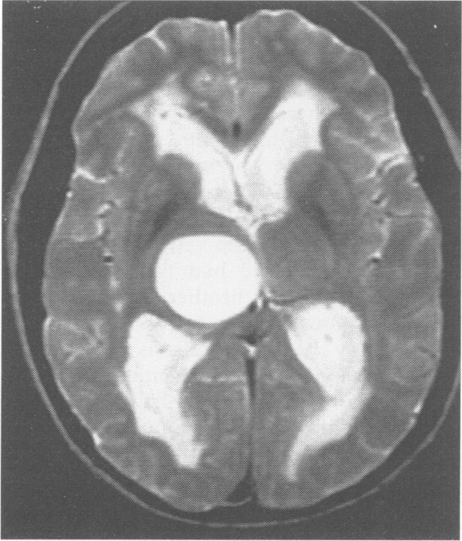
Obstructive hydrocephalus due to benign cysts of the thalamus: report of two patients.

作者信息

Chozick B S, Gelch M M

出版信息

J Neurol Neurosurg Psychiatry. 1996 Aug;61(2):203. doi: 10.1136/jnnp.61.2.203.

DOI:10.1136/jnnp.61.2.203
PMID:8708693
原文链接:https://pmc.ncbi.nlm.nih.gov/articles/PMC1073999/
Abstract
摘要
https://cdn.ncbi.nlm.nih.gov/pmc/blobs/cb22/1073999/853fe6d194df/jnnpsyc00008-0077-a.jpg
https://cdn.ncbi.nlm.nih.gov/pmc/blobs/cb22/1073999/853fe6d194df/jnnpsyc00008-0077-a.jpg
https://cdn.ncbi.nlm.nih.gov/pmc/blobs/cb22/1073999/853fe6d194df/jnnpsyc00008-0077-a.jpg

相似文献

1
Obstructive hydrocephalus due to benign cysts of the thalamus: report of two patients.丘脑良性囊肿导致的梗阻性脑积水:两例患者报告。
J Neurol Neurosurg Psychiatry. 1996 Aug;61(2):203. doi: 10.1136/jnnp.61.2.203.
2
Hydrocephalus associated with cystic dilation of the foramina of Magendie and Luschka.与马让迪孔和路施卡孔囊性扩张相关的脑积水。
J Neurosurg Pediatr. 2010 Apr;5(4):415-8. doi: 10.3171/2009.10.PEDS09179.
3
Transient obstructive hydrocephalus by intraventricular fat migration after surgery of the posterior fossa.后颅窝手术后因脑室内脂肪迁移导致的短暂性梗阻性脑积水
Acta Neurochir (Wien). 2012 Feb;154(2):303-4. doi: 10.1007/s00701-011-1258-0. Epub 2011 Dec 30.
4
Expanding lacunae causing triventricular hydrocephalus. Report of two cases.
J Neurosurg. 1999 Oct;91(4):669-74. doi: 10.3171/jns.1999.91.4.0669.
5
Unilateral hydrocephalus due to idiopathic anomaly of foramen of Monro, treated successfully with endoscopic technique. Report of three cases.因Monro孔特发性异常导致的单侧脑积水,采用内镜技术成功治疗。三例报告。
Cent Eur Neurosurg. 2010 Aug;71(3):143-6. doi: 10.1055/s-0029-1220713. Epub 2010 May 4.
6
Multilocular hydrocephalus: ultrasound studies of origin and development.多房性脑积水:起源与发展的超声研究
Pediatr Neurol. 2001 Feb;24(2):149-51. doi: 10.1016/s0887-8994(00)00246-0.
7
[Congenital anomalies in the central nervous system. (3) Aqueductal stenosis].[中枢神经系统先天性异常。(3) 导水管狭窄]
No Shinkei Geka. 2011 Feb;39(2):189-201.
8
Rapid resolution of hydrocephalus due to simultaneous movements of hematoma in the trigono-occipital horn and the aqueduct.由于三角枕角和导水管内血肿的同步移动导致脑积水快速消退。
Neurol India. 2009 May-Jun;57(3):357-8. doi: 10.4103/0028-3886.53275.
9
Entrapment of temporal horn: first case of bilateral occurrence and review of literature.颞角受压:双侧发病首例及文献综述
Clin Neurol Neurosurg. 2013 Oct;115(10):2207-12. doi: 10.1016/j.clineuro.2013.06.004. Epub 2013 Jul 11.
10
Shunting in chronic post-traumatic hydrocephalus: demonstration of neurophysiologic improvement.
Arch Phys Med Rehabil. 1994 Mar;75(3):338-41. doi: 10.1016/0003-9993(94)90039-6.

本文引用的文献

1
Benign cysts of the brain simulating brain tumor.酷似脑肿瘤的脑良性囊肿。
J Neurosurg. 1956 Sep;13(5):489-99. doi: 10.3171/jns.1956.13.5.0489.
2
Ependymal brain cyst.
Surg Neurol. 1982 Oct;18(4):246-9. doi: 10.1016/0090-3019(82)90332-9.
3
Fine structure of an intracerebral epithelial cyst.脑内上皮样囊肿的精细结构
J Neurosurg. 1974 Jul;41(1):75-82. doi: 10.3171/jns.1974.41.1.0075.
4
Computed tomography and MR imaging of thalamic neuroepithelial cysts.丘脑神经上皮囊肿的计算机断层扫描和磁共振成像
J Comput Assist Tomogr. 1987 Jul-Aug;11(4):583-5. doi: 10.1097/00004728-198707000-00004.
5
Supratentorial intracerebral epithelial (ependymal) cysts: review, case reports, and fine structure.幕上脑室内上皮(室管膜)囊肿:综述、病例报告及精细结构
J Neurol Neurosurg Psychiatry. 1977 Feb;40(2):127-37. doi: 10.1136/jnnp.40.2.127.