Suppr超能文献

蛭弧菌在包囊形成和萌发过程中的超微结构变化

Ultrastructural changes during encystment and germination of Bdellovibrio sp.

作者信息

Tudor J J, Conti S F

出版信息

J Bacteriol. 1977 Jul;131(1):323-30. doi: 10.1128/jb.131.1.323-330.1977.

Abstract

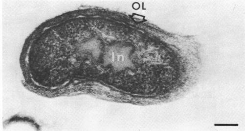
Under proper conditions, Bdellovibrio sp. strain W cells develop into bdellocysts in appropriate prey bacteria. After attachment and penetration of the prey cell, the encysting bdellovibrio began to accumulate inclusion material and increase in size, and was surrounded by an outer layer of amorphous electrondense material. The cytoplasm of the encysting cell appeared more electron dense, and nuclear areas appeared more compact. During germination of bdellocysts, the outer wall was uniformly broken down the inclusion material changed shape and affinity for the heavy metal stain, and the nuclear areas expanded. As the outer wall was dissolved, outgrowth began with the elongation of the germinant as it emerged from the prey ghost as an actively motile cell.

摘要

在适当条件下,蛭弧菌属菌株W细胞在合适的猎物细菌中发育成蛭孢囊。在附着并穿透猎物细胞后,形成孢囊的蛭弧菌开始积累内含物并增大尺寸,周围被一层无定形电子致密物质所包围。形成孢囊的细胞的细胞质电子密度更高,核区域显得更紧凑。在蛭孢囊萌发期间,外壁均匀分解,内含物形状改变且对重金属染色的亲和力变化,核区域扩大。随着外壁溶解,萌发体从猎物空壳中伸出并伸长,开始生长成为一个活跃运动的细胞。

https://cdn.ncbi.nlm.nih.gov/pmc/blobs/edb7/235425/ec1bb4275c70/jbacter00302-0337-a.jpg

文献检索

告别复杂PubMed语法,用中文像聊天一样搜索,搜遍4000万医学文献。AI智能推荐,让科研检索更轻松。

立即免费搜索

文件翻译

保留排版,准确专业,支持PDF/Word/PPT等文件格式,支持 12+语言互译。

免费翻译文档

深度研究

AI帮你快速写综述,25分钟生成高质量综述,智能提取关键信息,辅助科研写作。

立即免费体验