• 文献检索
  • 文档翻译
  • 深度研究
  • 学术资讯
  • Suppr Zotero 插件Zotero 插件
  • 邀请有礼
  • 套餐&价格
  • 历史记录
应用&插件
Suppr Zotero 插件Zotero 插件浏览器插件Mac 客户端Windows 客户端微信小程序
定价
高级版会员购买积分包购买API积分包
服务
文献检索文档翻译深度研究API 文档MCP 服务
关于我们
关于 Suppr公司介绍联系我们用户协议隐私条款
关注我们

Suppr 超能文献

核心技术专利:CN118964589B侵权必究
粤ICP备2023148730 号-1Suppr @ 2026

文献检索

告别复杂PubMed语法,用中文像聊天一样搜索,搜遍4000万医学文献。AI智能推荐,让科研检索更轻松。

立即免费搜索

文件翻译

保留排版,准确专业,支持PDF/Word/PPT等文件格式,支持 12+语言互译。

免费翻译文档

深度研究

AI帮你快速写综述,25分钟生成高质量综述,智能提取关键信息,辅助科研写作。

立即免费体验

来自X连锁型夏科-马里-图斯病患者的连接蛋白32突变:功能缺陷和显性负效应。

Connexin 32 mutations from X-linked Charcot-Marie-Tooth disease patients: functional defects and dominant negative effects.

作者信息

Omori Y, Mesnil M, Yamasaki H

机构信息

Unit of Multistage Carcinogenesis, International Agency for Research on Cancer, Lyon, France.

出版信息

Mol Biol Cell. 1996 Jun;7(6):907-16. doi: 10.1091/mbc.7.6.907.

DOI:10.1091/mbc.7.6.907
PMID:8816997
原文链接:https://pmc.ncbi.nlm.nih.gov/articles/PMC275942/
Abstract

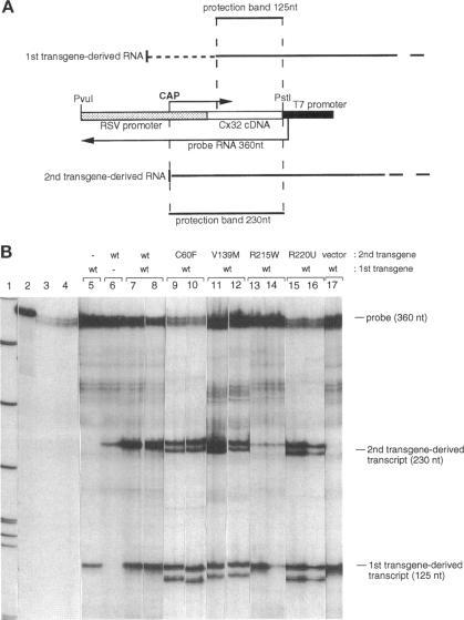
We have characterized the function of connexin (Cx) 32 gene mutations found in X-linked dominant Charcot-Marie-Tooth disease with respect to their ability to form functional gap junctions among themselves and to inactivate wild-type Cx32 by a dominant negative mechanism. We prepared four types of Cx32 mutant cDNAs and transfected them into HeLa cells, which do not show detectable levels of gap junctional intercellular communication (GJIC), nor expression of any connexins examined. Cells transfected with the wild-type Cx32 gene, but not those transfected with three different base substitution mutations (i.e. Cys 60 to Phe, Val 139 to Met, and Arg 215 to Trp), restored GJIC. Unexpectedly, in cells transfected with a nonsense mutant at codon 220, there was also restored GJIC. When we double-transfected these mutant constructs into the HeLa cells that had already been transfected with the wild-type Cx32 gene and thus were GJIC proficient, three base substitution mutants inhibited GJIC, suggesting that these three mutants can eliminate the function of wild-type Cx32 in a dominant negative manner. The nonsense mutation at codon 220 did not show such a dominant negative effect. Since both mutant and wild-type Cx32 mRNAs were detected, but only poor Cx32 protein expression at cell-cell contact areas was observed in the double transfectants, it is suggested that certain mutants form nonfunctional chimeric connexons with wild-type connexins, which are not properly inserted into the cytoplasmic membrane.

摘要

我们已对在X连锁显性遗传性腓骨肌萎缩症中发现的连接蛋白(Cx)32基因突变的功能进行了表征,涉及它们自身形成功能性间隙连接的能力以及通过显性负性机制使野生型Cx32失活的能力。我们制备了四种类型的Cx32突变体cDNA,并将它们转染到HeLa细胞中,这些细胞未显示出可检测水平的间隙连接细胞间通讯(GJIC),也未检测到所研究的任何连接蛋白的表达。转染野生型Cx32基因的细胞恢复了GJIC,但转染三种不同碱基替代突变(即Cys 60突变为Phe、Val 139突变为Met和Arg 215突变为Trp)的细胞则未恢复。出乎意料的是,转染密码子220处无义突变体的细胞也恢复了GJIC。当我们将这些突变体构建体与已转染野生型Cx32基因并因此具有GJIC功能的HeLa细胞进行共转染时,三种碱基替代突变体抑制了GJIC,这表明这三种突变体可以通过显性负性方式消除野生型Cx32的功能。密码子220处的无义突变未显示出这种显性负性效应。由于在共转染细胞中检测到了突变型和野生型Cx32 mRNA,但仅在细胞 - 细胞接触区域观察到较差的Cx32蛋白表达,因此表明某些突变体与野生型连接蛋白形成了无功能的嵌合连接子,这些连接子未正确插入细胞质膜。

https://cdn.ncbi.nlm.nih.gov/pmc/blobs/dd4a/275942/596ff062611c/mbc00013-0075-b.jpg
https://cdn.ncbi.nlm.nih.gov/pmc/blobs/dd4a/275942/c759c9e4cc9d/mbc00013-0071-a.jpg
https://cdn.ncbi.nlm.nih.gov/pmc/blobs/dd4a/275942/b2c9dcdcd149/mbc00013-0072-a.jpg
https://cdn.ncbi.nlm.nih.gov/pmc/blobs/dd4a/275942/32dc8e3b299d/mbc00013-0074-a.jpg
https://cdn.ncbi.nlm.nih.gov/pmc/blobs/dd4a/275942/8b62876419a3/mbc00013-0075-a.jpg
https://cdn.ncbi.nlm.nih.gov/pmc/blobs/dd4a/275942/596ff062611c/mbc00013-0075-b.jpg
https://cdn.ncbi.nlm.nih.gov/pmc/blobs/dd4a/275942/c759c9e4cc9d/mbc00013-0071-a.jpg
https://cdn.ncbi.nlm.nih.gov/pmc/blobs/dd4a/275942/b2c9dcdcd149/mbc00013-0072-a.jpg
https://cdn.ncbi.nlm.nih.gov/pmc/blobs/dd4a/275942/32dc8e3b299d/mbc00013-0074-a.jpg
https://cdn.ncbi.nlm.nih.gov/pmc/blobs/dd4a/275942/8b62876419a3/mbc00013-0075-a.jpg
https://cdn.ncbi.nlm.nih.gov/pmc/blobs/dd4a/275942/596ff062611c/mbc00013-0075-b.jpg

相似文献

1
Connexin 32 mutations from X-linked Charcot-Marie-Tooth disease patients: functional defects and dominant negative effects.来自X连锁型夏科-马里-图斯病患者的连接蛋白32突变:功能缺陷和显性负效应。
Mol Biol Cell. 1996 Jun;7(6):907-16. doi: 10.1091/mbc.7.6.907.
2
Voltage opens unopposed gap junction hemichannels formed by a connexin 32 mutant associated with X-linked Charcot-Marie-Tooth disease.电压打开了由与X连锁型夏科-马里-图斯病相关的连接蛋白32突变体形成的无对抗的间隙连接半通道。
Proc Natl Acad Sci U S A. 2002 Mar 19;99(6):3980-4. doi: 10.1073/pnas.261713499. Epub 2002 Mar 12.
3
Functional analysis of connexin-32 mutants associated with X-linked dominant Charcot-Marie-Tooth disease.与X连锁显性遗传性腓骨肌萎缩症相关的连接蛋白32突变体的功能分析。
Neurobiol Dis. 2004 Mar;15(2):361-70. doi: 10.1016/j.nbd.2003.11.005.
4
Phenotypes of X-linked Charcot-Marie-Tooth disease and altered trafficking of mutant connexin 32 (GJB1).X连锁型夏科-马里-图斯病的表型及突变型连接蛋白32(GJB1)的转运改变
J Hum Genet. 2001;46(6):307-13. doi: 10.1007/s100380170064.
5
Mutations of connexin32 in Charcot-Marie-Tooth disease type X interfere with cell-to-cell communication but not cell proliferation and myelin-specific gene expression.X型腓骨肌萎缩症中连接蛋白32的突变会干扰细胞间通讯,但不影响细胞增殖和髓鞘特异性基因表达。
J Neurosci Res. 1998 Jan 15;51(2):154-61. doi: 10.1002/(SICI)1097-4547(19980115)51:2<154::AID-JNR4>3.0.CO;2-C.
6
Analysis of gap junction assembly using mutated connexins detected in Charcot-Marie-Tooth X-linked disease.利用在X连锁遗传性腓骨肌萎缩症中检测到的突变型连接蛋白分析缝隙连接组装。
J Neurochem. 2000 Feb;74(2):711-20. doi: 10.1046/j.1471-4159.2000.740711.x.
7
Functional alterations in gap junction channels formed by mutant forms of connexin 32: evidence for loss of function as a pathogenic mechanism in the X-linked form of Charcot-Marie-Tooth disease.由连接蛋白32突变形式形成的缝隙连接通道的功能改变:功能丧失作为X连锁型夏科-马里-图斯病致病机制的证据。
Brain Res. 2001 May 4;900(1):9-25. doi: 10.1016/s0006-8993(00)03327-8.
8
Mutations in connexin 32: the molecular and biophysical bases for the X-linked form of Charcot-Marie-Tooth disease.连接蛋白32的突变:夏科-马里-图思病X连锁型的分子和生物物理基础。
Brain Res Brain Res Rev. 2000 Apr;32(1):203-14. doi: 10.1016/s0165-0173(99)00082-x.
9
Connexin32 and X-linked Charcot-Marie-Tooth disease.连接蛋白32与X连锁型腓骨肌萎缩症
Neurobiol Dis. 1997;4(3-4):221-30. doi: 10.1006/nbdi.1997.0152.
10
Aberrant trafficking of a Leu89Pro connexin32 mutant associated with X-linked dominant Charcot-Marie-Tooth disease.与X连锁显性遗传性腓骨肌萎缩症相关的亮氨酸89突变为脯氨酸的连接蛋白32突变体的异常转运。
Neurol Res. 2016 Oct;38(10):897-902. doi: 10.1080/01616412.2016.1204494. Epub 2016 Jul 1.

引用本文的文献

1
A dose escalation and safety study of AAVrh10-mediated Schwann cell-targeted gene therapy for CMT1X.一项关于AAVrh10介导的针对CMT1X的施万细胞靶向基因治疗的剂量递增及安全性研究。
Neurotherapeutics. 2025 Apr;22(3):e00568. doi: 10.1016/j.neurot.2025.e00568. Epub 2025 Mar 6.
2
X-linked Charcot Marie Tooth mutations alter CO sensitivity of connexin32 hemichannels.X连锁型夏科-马里-图思病突变改变了连接蛋白32半通道对一氧化碳的敏感性。
Front Cell Neurosci. 2023 Dec 21;17:1330983. doi: 10.3389/fncel.2023.1330983. eCollection 2023.
3
Gene replacement therapy in two Golgi-retained CMT1X mutants before and after the onset of demyelinating neuropathy.

本文引用的文献

1
Endogenous and exogenous modulation of gap junctional intercellular communication: toxicological and pharmacological implications.间隙连接细胞间通讯的内源性和外源性调节:毒理学和药理学意义
Life Sci. 1993;53(1):1-19. doi: 10.1016/0024-3205(93)90606-4.
2
Extensive dye coupling between rat neocortical neurons during the period of circuit formation.在神经回路形成期间大鼠新皮层神经元之间广泛的染料偶联。
Neuron. 1993 Jan;10(1):103-14. doi: 10.1016/0896-6273(93)90246-n.
3
Assembly of hepatic gap junctions. Topography and distribution of connexin 32 in intracellular and plasma membranes determined using sequence-specific antibodies.
脱髓鞘性神经病变发作前后两个高尔基体保留型CMT1X突变体的基因替代疗法。
Mol Ther Methods Clin Dev. 2023 Aug 2;30:377-393. doi: 10.1016/j.omtm.2023.07.011. eCollection 2023 Sep 14.
4
Genetic analysis and natural history of Charcot-Marie-Tooth disease CMTX1 due to GJB1 variants.GJB1 变异所致 X 连锁遗传性运动感觉神经病 CMTX1 的遗传学分析与自然病史
Brain. 2023 Oct 3;146(10):4336-4349. doi: 10.1093/brain/awad187.
5
Pelizaeus-Merzbacher-Like Disease 1 Caused by a Novel Mutation in GJC2 Gene: A Case Report.佩利兹-梅茨巴赫样病 1 型:由 GJC2 基因突变引起的病例报告。
Iran J Med Sci. 2021 Nov;46(6):493-497. doi: 10.30476/IJMS.2021.87126.1736.
6
Gene Analysis in Two Extended Families with X-Linked Charcot-Marie-Tooth Disease.两个患有X连锁型夏科-马里-图思病的大家庭的基因分析
Case Rep Neurol. 2021 Jun 23;13(2):422-428. doi: 10.1159/000515170. eCollection 2021 May-Aug.
7
Emerging Therapies for Charcot-Marie-Tooth Inherited Neuropathies.Charcot-Marie-Tooth 遗传性神经病的新兴治疗方法。
Int J Mol Sci. 2021 Jun 3;22(11):6048. doi: 10.3390/ijms22116048.
8
AAV9-mediated Schwann cell-targeted gene therapy rescues a model of demyelinating neuropathy.腺相关病毒9介导的靶向施万细胞的基因治疗挽救了一种脱髓鞘性神经病模型。
Gene Ther. 2021 Nov;28(10-11):659-675. doi: 10.1038/s41434-021-00250-0. Epub 2021 Mar 10.
9
Aberrant Splicing in and the Relevance of 5' UTR in CMTX1 Pathogenesis.CMTX1发病机制中的异常剪接及5'非翻译区的相关性
Brain Sci. 2020 Dec 27;11(1):24. doi: 10.3390/brainsci11010024.
10
What's the Function of Connexin 32 in the Peripheral Nervous System?连接蛋白32在周围神经系统中的功能是什么?
Front Mol Neurosci. 2018 Jul 10;11:227. doi: 10.3389/fnmol.2018.00227. eCollection 2018.
肝间隙连接的组装。使用序列特异性抗体确定细胞内和质膜中连接蛋白32的拓扑结构和分布。
J Biol Chem. 1993 Jan 15;268(2):1260-5.
4
Connexin mutations in X-linked Charcot-Marie-Tooth disease.X连锁型夏科-马里-图斯病中的连接蛋白突变
Science. 1993 Dec 24;262(5142):2039-42. doi: 10.1126/science.8266101.
5
Altered homologous and heterologous gap-junctional intercellular communication in primary human liver tumors associated with aberrant protein localization but not gene mutation of connexin 32.原发性人类肝脏肿瘤中同源和异源间隙连接细胞间通讯改变,与连接蛋白32的异常蛋白定位而非基因突变有关。
Int J Cancer. 1994 Jan 2;56(1):87-94. doi: 10.1002/ijc.2910560116.
6
Alterations of (CA)n DNA repeats and tumor suppressor genes in human gastric cancer.人类胃癌中(CA)n DNA重复序列和肿瘤抑制基因的改变。
Cancer Res. 1994 Jan 1;54(1):41-4.
7
CTL induction by a tumour-associated antigen octapeptide derived from a murine lung carcinoma.源自小鼠肺癌的肿瘤相关抗原八肽诱导细胞毒性T淋巴细胞
Nature. 1994 May 5;369(6475):67-71. doi: 10.1038/369067a0.
8
Mutations in the connexin 32 gene in X-linked dominant Charcot-Marie-Tooth disease (CMTX1).X连锁显性遗传性腓骨肌萎缩症1型(CMTX1)中连接蛋白32基因的突变
Hum Mol Genet. 1994 Jan;3(1):29-34. doi: 10.1093/hmg/3.1.29.
9
Connexin43 and connexin45 form gap junctions with different molecular permeabilities in osteoblastic cells.连接蛋白43和连接蛋白45在成骨细胞中形成具有不同分子通透性的缝隙连接。
EMBO J. 1994 Feb 15;13(4):744-50. doi: 10.1002/j.1460-2075.1994.tb06316.x.
10
X-chromosome inactivation: molecular mechanisms and genetic consequences.X染色体失活:分子机制与遗传后果
Trends Genet. 1994 Jul;10(7):230-5. doi: 10.1016/0168-9525(94)90169-4.