Suppr超能文献

成熟鸡粒性白细胞颗粒的电子显微镜及酶细胞化学研究

Electron microscopic and enzyme cytochemical studies on granules of mature chicken granular leucocytes.

作者信息

Daimon T, Caxton-Martins A

出版信息

J Anat. 1977 Jul;123(Pt 3):553-62.

Abstract

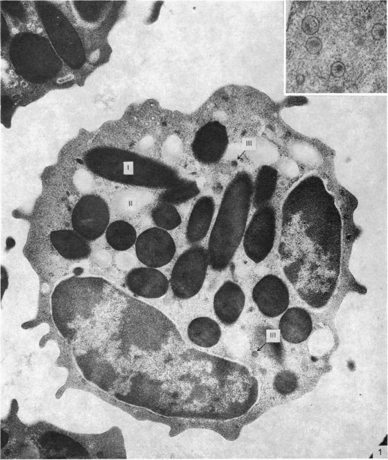
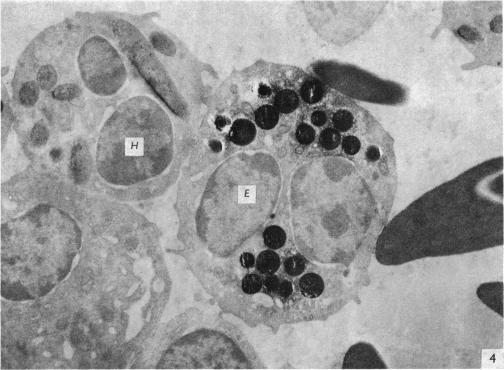
Detailed morphologic and enzyme cytochemical analysis was carried out by electron microscopy on granules of mature granulocytes obtained from the circulating chicken blood. Heterophils possessed three types of granules: large, rod-shaped, dense (Type I); medium sized, oval, light (Type II); and small-core (Type III). Acid phosphatase activity was present in Type I granules, but peroxidase and alkaline phosphatase were not demonstrable. The cytochemical nature of Types II and III granules remains unknown. Eosinophils contained only one type of granule, which was circular and had electron-opague contents. Both peroxidase and acid phosphatase, but not alkaline phosphatase, were present, indicating that the granules are lysosomes like the granules of mammalian eosinophils. Basophils possessed two types of granules, the characteristic large basophilic granules (Type I) and small dense granules (Type II). Acid phosphatase activity was found in only a small proportion of Type I granules: peroxidase and alkaline phosphatase were not demonstrable.

摘要

运用电子显微镜对取自鸡循环血液中的成熟粒细胞的颗粒进行了详细的形态学和酶细胞化学分析。嗜异性粒细胞有三种类型的颗粒:大的、杆状的、致密的(I型);中等大小的、椭圆形的、浅色的(II型);以及小核心的(III型)。I型颗粒存在酸性磷酸酶活性,但过氧化物酶和碱性磷酸酶未得到证实。II型和III型颗粒的细胞化学性质仍然未知。嗜酸性粒细胞仅含有一种类型的颗粒,呈圆形且内容物电子密度高。过氧化物酶和酸性磷酸酶都存在,但碱性磷酸酶不存在,这表明这些颗粒是溶酶体,类似于哺乳动物嗜酸性粒细胞的颗粒。嗜碱性粒细胞有两种类型的颗粒,即特征性的大嗜碱性颗粒(I型)和小致密颗粒(II型)。仅在一小部分I型颗粒中发现酸性磷酸酶活性:过氧化物酶和碱性磷酸酶未得到证实。

https://cdn.ncbi.nlm.nih.gov/pmc/blobs/325c/1234717/e33296f917d8/janat00367-0003-a.jpg

文献检索

告别复杂PubMed语法,用中文像聊天一样搜索,搜遍4000万医学文献。AI智能推荐,让科研检索更轻松。

立即免费搜索

文件翻译

保留排版,准确专业,支持PDF/Word/PPT等文件格式,支持 12+语言互译。

免费翻译文档

深度研究

AI帮你快速写综述,25分钟生成高质量综述,智能提取关键信息,辅助科研写作。

立即免费体验