Suppr超能文献

帚尾袋貂(有袋目)卵巢的发育

Development of the ovary in the brushtail possum Trichosurus vulpecula (Marsupialia).

作者信息

Ullmann S L

机构信息

Institute of Biomedical and Life Sciences, University of Glasgow, Scotland, UK.

出版信息

J Anat. 1996 Dec;189 ( Pt 3)(Pt 3):651-65.

Abstract

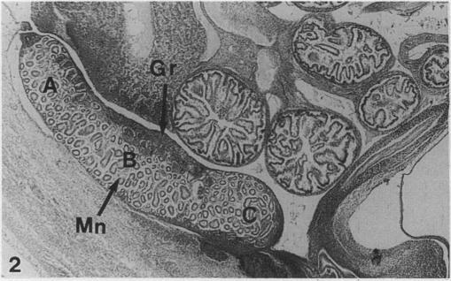
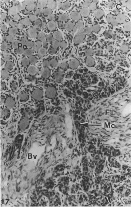
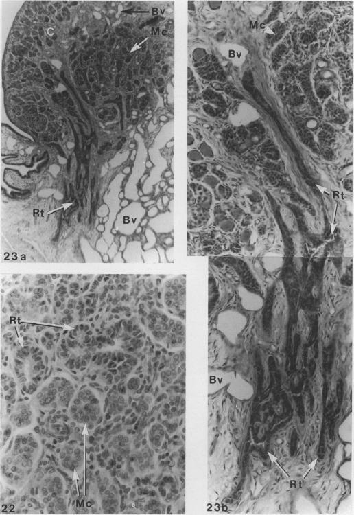
The urogenital region of 25 fetuses and 75 pouch young, ranging in age from newborn to 103 days (d) in development, was examined in serial histological sections. The rete ridges formed the anterior extensions of the gonadal ridges and gave rise to the rete system and gonads respectively. Sexual differentiation of the ovary commenced 2.5 d after birth, when 2 cell types appeared: the larger of these then clumped together to form the medullary cords, while the smaller cells gave rise to the stroma. Primordial germ cells were still migrating, dividing and populating the peripheral gonadal regions on d 8. Cortex and medulla were distinguishable by d 12, when a thick fibrous zone separated them. The cortex was augmented by cells from the mesothelium. The rete ovarii developed from cell condensations within the rete ridges, made secondary contact with the mesonephroi and penetrated the ovaries but did not contribute to the granulosa cells. It is concluded that, contrary to the situation in most eutherians, in Trichosurus, as in other marsupials examined, the mesonephros does not contribute to rete formation, or to the granulosa cells, which appear to arise from the medullary cords.

摘要

对25例胎儿和75只育儿袋幼崽的泌尿生殖区域进行了检查,这些幼崽年龄从新生儿到发育103天不等,均制成了连续组织切片。索嵴形成性腺嵴的前部延伸,并分别产生索系统和性腺。卵巢的性别分化在出生后2.5天开始,此时出现两种细胞类型:其中较大的细胞聚集在一起形成髓索,而较小的细胞产生基质。原始生殖细胞在第8天仍在迁移、分裂并填充性腺周边区域。到第12天,皮质和髓质可区分开来,此时有一个厚纤维带将它们分隔。皮质由间皮细胞增多。卵巢网由索嵴内的细胞凝聚形成,与中肾进行二次接触并穿透卵巢,但不形成颗粒细胞。得出的结论是,与大多数真兽类的情况相反,在袋貂属中,与其他已检查的有袋类动物一样,中肾不参与索的形成,也不参与颗粒细胞的形成,颗粒细胞似乎由髓索产生。

https://cdn.ncbi.nlm.nih.gov/pmc/blobs/23cb/1167708/0303b5cc8d77/janat00125-0172-a.jpg

相似文献

4
Morphological development and characterization of aromatase and estrogen receptors alpha and beta in fetal ovaries of cattle from days 110 to 250.
Anim Reprod Sci. 2010 Jan;117(1-2):43-54. doi: 10.1016/j.anireprosci.2009.02.010. Epub 2009 Feb 21.
5
A morphometric study of early ovarian development in pouch young of the brushtail possum (Trichosurus vulpecula).
Anat Rec. 1996 Oct;246(2):224-30. doi: 10.1002/(SICI)1097-0185(199610)246:2<224::AID-AR9>3.0.CO;2-0.
7
[Reconsidering the roles of female germ cells in ovarian development and folliculogenesis].
Biol Aujourdhui. 2011;205(4):223-33. doi: 10.1051/jbio/2011022. Epub 2012 Jan 19.

引用本文的文献

1
The zona pellucida of the koala (Phascolarctos cinereus): its morphogenesis and thickness.
J Anat. 2006 Sep;209(3):393-400. doi: 10.1111/j.1469-7580.2006.00613.x.

文献AI研究员

20分钟写一篇综述,助力文献阅读效率提升50倍。

立即体验

用中文搜PubMed

大模型驱动的PubMed中文搜索引擎

马上搜索

文档翻译

学术文献翻译模型,支持多种主流文档格式。

立即体验