Suppr超能文献

载脂蛋白E缺陷小鼠中诱导的淀粉样A蛋白淀粉样变性

Amyloid A protein amyloidosis induced in apolipoprotein-E-deficient mice.

作者信息

Hoshii Y, Kawano H, Cui D, Takeda T, Gondo T, Takahashi M, Kogishi K, Higuchi K, Ishihara T

机构信息

First Department of Pathology, Yamaguchi University School of Medicine, Japan.

出版信息

Am J Pathol. 1997 Oct;151(4):911-7.

Abstract

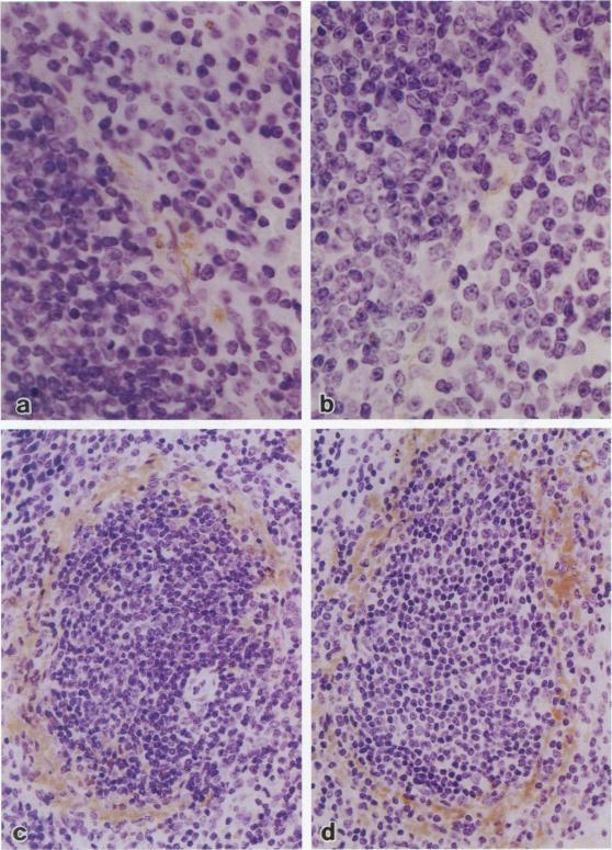
Apolipoprotein E (apoE) is a constituent of lipoproteins other than low-density lipoprotein, and it principally acts in the transport and metabolism of plasma cholesterol and triglyceride. ApoE is a minor constituent of various kinds of amyloidoses and may play a role as a pathological chaperone for fibrillogenesis of amyloid fibril protein with the amyloid P component and proteoglycans. In this study, we examined the role of apoE in amyloidogenesis in vivo in apoE-deficient mutant mice with amyloid A protein (AA) amyloidosis induced by inflammatory stimulation. Amyloid deposition was seen in six of nine C57BL/6J control mice and in six of eight apoE-deficient mutant mice after the intraperitoneal and subcutaneous injections of the mixture of complete Freund's adjuvant and Mycobacterium butyricum. Moreover, amyloid deposition in apoE-deficient mice as well as C57BL/6J control mice started 48 or 72 hours after injection of amyloid-enhancing factor and silver nitrate, although the amount of amyloid deposit in C57BL/6J control mice was slightly larger than that in apoE-deficient mice. These amyloid deposits reacted with anti-mouse AA antibody were seen in the perifollicular area of the spleen. Immunoreactivity of apoE was seen irregularly in the amyloid deposits of C57BL/6J control mice but not in the amyloid deposit of apoE-deficient mice. From these results, we concluded that apoE is not always necessary for amyloid deposition and that the existence of apoE might slightly accelerate AA amyloid deposition in the earliest phase of AA amyloid deposition.

摘要

载脂蛋白E(apoE)是低密度脂蛋白以外的脂蛋白成分,主要作用于血浆胆固醇和甘油三酯的运输与代谢。ApoE是各类淀粉样变性的次要成分,可能作为一种病理伴侣蛋白,与淀粉样P成分和蛋白聚糖一起参与淀粉样纤维蛋白的纤维形成过程。在本研究中,我们在apoE基因缺陷突变小鼠体内,研究了apoE在由炎症刺激诱导的淀粉样A蛋白(AA)淀粉样变性中的作用。在腹腔和皮下注射完全弗氏佐剂和丁酸分枝杆菌混合物后,9只C57BL/6J对照小鼠中有6只出现淀粉样沉积,8只apoE基因缺陷突变小鼠中有6只出现淀粉样沉积。此外,在apoE基因缺陷小鼠和C57BL/6J对照小鼠中,淀粉样沉积在注射淀粉样增强因子和硝酸银后48或72小时开始,尽管C57BL/6J对照小鼠中的淀粉样沉积物量略大于apoE基因缺陷小鼠中的。这些与抗小鼠AA抗体反应的淀粉样沉积物见于脾脏的滤泡周围区域。在C57BL/6J对照小鼠的淀粉样沉积物中不规则地可见apoE的免疫反应性,但在apoE基因缺陷小鼠的淀粉样沉积物中未见。从这些结果中,我们得出结论,apoE并非淀粉样沉积所必需,且在AA淀粉样沉积的最早阶段,apoE的存在可能会略微加速AA淀粉样沉积。

https://cdn.ncbi.nlm.nih.gov/pmc/blobs/9029/1858060/7febee8c447c/amjpathol00022-0032-a.jpg

文献AI研究员

20分钟写一篇综述,助力文献阅读效率提升50倍。

立即体验

用中文搜PubMed

大模型驱动的PubMed中文搜索引擎

马上搜索

文档翻译

学术文献翻译模型,支持多种主流文档格式。

立即体验