Suppr超能文献

一种与人类CO17-1A/GA733结肠癌抗原同源的抗原在动物组织中的表达。

Expression of an antigen homologous to the human CO17-1A/GA733 colon cancer antigen in animal tissues.

作者信息

Zaloudik J, Basak S, Nesbit M, Speicher D W, Wunner W H, Miller E, Ernst-Grotkowski C, Kennedy R, Bergsagel L P, Koido T, Herlyn D

机构信息

The Wistar Institute, Philadelphia, PA 19104, USA.

出版信息

Br J Cancer. 1997;76(7):909-16. doi: 10.1038/bjc.1997.483.

Abstract

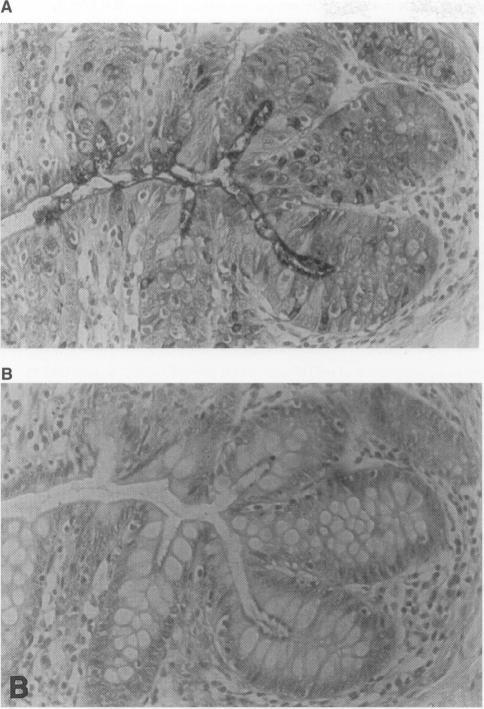
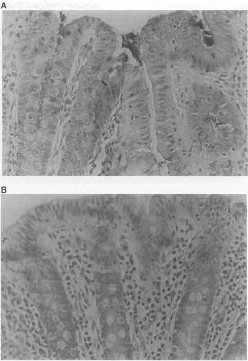
The CO17-1A/GA733 antigen is associated with human carcinomas and some normal epithelial tissues. This antigen has shown promise as a target in approaches to passive and active immunotherapy of colorectal cancer. The relevance of animal models for studies of immunotherapy targeting this antigen in patients is dependent on the expression of the antigen on normal animal tissues. Immunohistoperoxidase staining with polyclonal rabbit antibodies to the human antigen revealed the human homologue on normal small intestine, colon and liver of mice, rats and non-human primates, whereas mouse monoclonal antibodies to the CO17-1A or GA733 epitopes on the human antigen did not detect the antigen. Polyclonal rabbit antibodies, elicited by the murine antigen homologue derived from recombinant baculovirus-infected insect cells, immunoprecipitated the antigen from mouse small intestine, colon, stomach, kidney and lung. The isolated recombinant murine protein bound polyclonal, but not monoclonal, antibodies to the human CO17-1A/GA733 antigen, and recombinant human antigen bound polyclonal antibodies elicited by the murine antigen homologue. Thus, the antigen homologue expressed by animal tissues is similar, but not identical, to the human antigen. These results have important implications for experimental active and passive immunotherapy targeting the CO17-1A/GA733 antigen.

摘要

CO17-1A/GA733抗原与人类癌症及一些正常上皮组织相关。该抗原已显示出有望成为结直肠癌被动和主动免疫治疗方法的靶点。动物模型对于研究针对该抗原的患者免疫治疗的相关性取决于该抗原在正常动物组织上的表达。用针对人类抗原的兔多克隆抗体进行免疫组化过氧化物酶染色,在小鼠、大鼠和非人灵长类动物的正常小肠、结肠和肝脏中发现了人类同源物,而针对人类抗原上CO17-1A或GA733表位的小鼠单克隆抗体未检测到该抗原。由重组杆状病毒感染昆虫细胞产生的鼠抗原同源物引发的兔多克隆抗体,从小鼠小肠、结肠、胃、肾脏和肺中免疫沉淀出该抗原。分离出的重组鼠蛋白与针对人类CO17-1A/GA733抗原的多克隆抗体结合,但不与单克隆抗体结合,而重组人类抗原与由鼠抗原同源物引发的多克隆抗体结合。因此,动物组织表达的抗原同源物与人类抗原相似,但并不完全相同。这些结果对于针对CO17-1A/GA733抗原的实验性主动和被动免疫治疗具有重要意义。

https://cdn.ncbi.nlm.nih.gov/pmc/blobs/f685/2228063/1c856e2fe1b2/brjcancer00171-0090-a.jpg

文献检索

告别复杂PubMed语法,用中文像聊天一样搜索,搜遍4000万医学文献。AI智能推荐,让科研检索更轻松。

立即免费搜索

文件翻译

保留排版,准确专业,支持PDF/Word/PPT等文件格式,支持 12+语言互译。

免费翻译文档

深度研究

AI帮你快速写综述,25分钟生成高质量综述,智能提取关键信息,辅助科研写作。

立即免费体验