• 文献检索
  • 文档翻译
  • 深度研究
  • 学术资讯
  • Suppr Zotero 插件Zotero 插件
  • 邀请有礼
  • 套餐&价格
  • 历史记录
应用&插件
Suppr Zotero 插件Zotero 插件浏览器插件Mac 客户端Windows 客户端微信小程序
定价
高级版会员购买积分包购买API积分包
服务
文献检索文档翻译深度研究API 文档MCP 服务
关于我们
关于 Suppr公司介绍联系我们用户协议隐私条款
关注我们

Suppr 超能文献

核心技术专利:CN118964589B侵权必究
粤ICP备2023148730 号-1Suppr @ 2026

文献检索

告别复杂PubMed语法,用中文像聊天一样搜索,搜遍4000万医学文献。AI智能推荐,让科研检索更轻松。

立即免费搜索

文件翻译

保留排版,准确专业,支持PDF/Word/PPT等文件格式,支持 12+语言互译。

免费翻译文档

深度研究

AI帮你快速写综述,25分钟生成高质量综述,智能提取关键信息,辅助科研写作。

立即免费体验

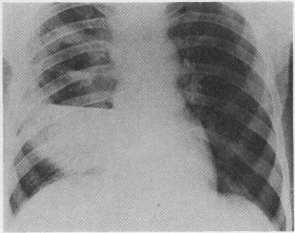
食管念珠菌病导致瘘管形成和肺脓肿。

Oesophageal moniliasis causing fistula formation and lung abscess.

作者信息

Sehhat S, Hazeghi K, Bajoghli M, Touri S

出版信息

Thorax. 1976 Jun;31(3):361-4. doi: 10.1136/thx.31.3.361.

DOI:10.1136/thx.31.3.361
PMID:941124
原文链接:https://pmc.ncbi.nlm.nih.gov/articles/PMC470441/
Abstract

Oesophageal moniliasis is reviewed and the incidence of fistula formation discussed. A case of oesophageal moniliasis without any predisposing factors, with fistula formation and lung abscess, is presented.

摘要

对食管念珠菌病进行了综述,并讨论了瘘管形成的发生率。本文报告了一例无任何诱发因素的食管念珠菌病病例,该病例伴有瘘管形成和肺脓肿。

https://cdn.ncbi.nlm.nih.gov/pmc/blobs/6933/470441/e6661446c4a0/thorax00147-0119-a.jpg
https://cdn.ncbi.nlm.nih.gov/pmc/blobs/6933/470441/77f89b72e836/thorax00147-0117-a.jpg
https://cdn.ncbi.nlm.nih.gov/pmc/blobs/6933/470441/d36436cfa3e1/thorax00147-0118-a.jpg
https://cdn.ncbi.nlm.nih.gov/pmc/blobs/6933/470441/4cd10931a202/thorax00147-0118-b.jpg
https://cdn.ncbi.nlm.nih.gov/pmc/blobs/6933/470441/e6661446c4a0/thorax00147-0119-a.jpg
https://cdn.ncbi.nlm.nih.gov/pmc/blobs/6933/470441/77f89b72e836/thorax00147-0117-a.jpg
https://cdn.ncbi.nlm.nih.gov/pmc/blobs/6933/470441/d36436cfa3e1/thorax00147-0118-a.jpg
https://cdn.ncbi.nlm.nih.gov/pmc/blobs/6933/470441/4cd10931a202/thorax00147-0118-b.jpg
https://cdn.ncbi.nlm.nih.gov/pmc/blobs/6933/470441/e6661446c4a0/thorax00147-0119-a.jpg

相似文献

1
Oesophageal moniliasis causing fistula formation and lung abscess.食管念珠菌病导致瘘管形成和肺脓肿。
Thorax. 1976 Jun;31(3):361-4. doi: 10.1136/thx.31.3.361.
2
[Epiphrenic oesophageal diverticulum with an oesophagobronchial fistula resulting in a lung abscess].[膈上食管憩室伴食管支气管瘘致肺脓肿]
Ugeskr Laeger. 2016 Nov 21;178(47).
3
Esophageal candidiasis as a cause of esophagobronchial fistulas.食管念珠菌病作为食管支气管瘘的一个病因。
N Y State J Med. 1991 Sep;91(9):406-7.
4
The Zenker's (hypopharyngeal) diverticulum.岑克尔(下咽)憩室。
Ann Otol Rhinol Laryngol. 1969 Aug;78(4):679-88. doi: 10.1177/000348946907800401.
5
Broncho-oesophageal fistula due to idiopathic oesophageal ulceration in a patient with AIDS.一名艾滋病患者因特发性食管溃疡导致支气管食管瘘。
S Afr Med J. 2001 Feb;91(2):116-7.
6
[Local treatment of infections in the thoracic area].
Aktuelle Probl Chir Orthop. 1979(12):49-53.
7
[Esophagobronchial fistula and abscessing pneumonia as complications of cancer of the main bronchus].[食管支气管瘘及肺脓肿作为主支气管癌的并发症]
Vrach Delo. 1982 Aug(8):76-7.
8
Esophageal moniliasis: a new radiographic presentation.
Am J Gastroenterol. 1985 Sep;80(9):734-7.
9
Esophagopulmonary fistula and left lung abscess after transoral incisionless fundoplication.经口无切口抗反流手术(TIF)后发生食管-肺瘘和左肺脓肿。
Ann Thorac Surg. 2013 Aug;96(2):689-91. doi: 10.1016/j.athoracsur.2012.12.001.
10
Spontaneous circumferential intramural esophageal dissection complicated with esophageal perforation and esophageal-pleural fistula: a case report and literature review.自发性环周性食管壁内解剖并伴有食管穿孔和食管胸膜瘘:一例病例报告及文献综述
Dis Esophagus. 2016 Oct;29(7):872-879. doi: 10.1111/dote.12200. Epub 2014 Mar 6.

引用本文的文献

1
[œsotracheal fistula complicating primary mediastinal large B cell non-Hodgkin's lymphoma: a case study].[食管气管瘘并发原发性纵隔大B细胞非霍奇金淋巴瘤:病例研究]
Pan Afr Med J. 2019 Jan 17;32:30. doi: 10.11604/pamj.2019.32.30.17143. eCollection 2019.
2
Candida esophagitis complicated by an esophago-airway fistula: report of a case.念珠菌性食管炎并发食管气管瘘:病例报告。
Surg Today. 2009;39(11):972-8. doi: 10.1007/s00595-009-3958-0. Epub 2009 Nov 1.
3
Invasive oesophageal candidiasis: current and developing treatment options.

本文引用的文献

1
ESOPHAGEAL PERFORATION: DIAGNOSIS AND TREATMENT.食管穿孔:诊断与治疗
Ann Surg. 1965 May;161(5):701-9. doi: 10.1097/00000658-196505000-00008.
2
OESOPHAGEAL MONILIASIS IN MALIGNANT NEOPLASTIC DISEASE.恶性肿瘤中的食管念珠菌病
Acta Med Scand. 1964 Apr;175:455-9. doi: 10.1111/j.0954-6820.1964.tb00593.x.
3
Monilial esophagitis in a patient with hemoglobin SC disease: demonstration of esophageal motor abnormality by cine-radio fluorography.血红蛋白SC病患者的念珠菌性食管炎:通过电影放射荧光摄影术显示食管运动异常。
侵袭性食管念珠菌病:当前及正在发展的治疗选择
Drugs. 2003;63(10):971-89. doi: 10.2165/00003495-200363100-00004.
4
Candidiasis-induced esophageal strictures.
Gastrointest Radiol. 1984;9(4):283-6. doi: 10.1007/BF01887852.
5
Candida esophagitis after antibiotic use.抗生素使用后发生的念珠菌性食管炎。
Indian J Pediatr. 1989 Mar-Apr;56(2):296-9. doi: 10.1007/BF02726633.
6
Esophageal stricture secondary to candidiasis.
Gastrointest Radiol. 1978 Feb 23;2(4):323-5. doi: 10.1007/BF02256514.
Ann Intern Med. 1962 Oct;57:650-4. doi: 10.7326/0003-4819-57-4-650.
4
Instrumental perforation of the esophagus.器械性食管穿孔
J Thorac Cardiovasc Surg. 1961 Jan;41:75-104.
5
Roentgenographic appearances of esophageal moniliasis.
Acta Radiol (Stockh). 1956 Oct;46(4):571-4. doi: 10.3109/00016925609171449.
6
Instrumental perforation of the esophagus. What is conservative management?器械性食管穿孔。保守治疗是什么?
J Thorac Cardiovasc Surg. 1966 Jul;52(1):1-10.
7
Candida infection of the oesophagus.食管念珠菌感染
Gut. 1968 Apr;9(2):227-31. doi: 10.1136/gut.9.2.227.
8
Esophageal perforation.食管穿孔
Arch Surg. 1968 Mar;96(3):414-9. doi: 10.1001/archsurg.1968.01330210092018.
9
Perforation of the esophagus.食管穿孔
Am J Surg. 1970 May;119(5):534-6. doi: 10.1016/0002-9610(70)90170-4.
10
[A case of Plummer-Vinson (Paterson-Brown Kelly) syndrome complicated by esophgeal candidiasis].一例并发食管念珠菌病的普卢默-文森(帕特森-布朗·凯利)综合征
Nihon Jibiinkoka Gakkai Kaiho. 1967 Apr;70(4):857-61. doi: 10.3950/jibiinkoka.70.857.