Suppr超能文献

仓鼠委内瑞拉马脑炎的淋巴网状细胞和髓细胞发病机制

Lymphoreticular and myeloid pathogenesis of Venezuelan equine encephalitis in hamsters.

作者信息

Walker D H, Harrison A, Murphy K, Flemister M, Murphy F A

出版信息

Am J Pathol. 1976 Aug;84(2):351-70.

Abstract

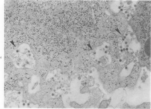
Ultrastructural, histopathologic, and virologic studies of adult hamsters infected with virulent Venezuelan equine encelphalomyelitis (VEE) virus (Subtype I-B) demonstrated precise chronologic and topographic progression of lesions and viral replication in extraneural sites. Thymus contained the earliest lesions and the highest initial and subsequent viral titers. No particular cytotropism was observed as highly efficient viral replication and severe cytonecrosis proceded. Early cortical necrosis of splenic periarteriolar lymphocytic sheath was followed by lymphoblastoid repopulation of the peripheral zone. Massive bone marrow necrosis was accompained by ultrastructural evidence of VEE viral particle production in reticulum cells, rubricytes, myeloid cells, lymphoblastoid cells, and megakaryocytes. Speed, efficiency, destructiveness, and relative sensitivity of virtually all lymphoreticular and hematopoetic cells were hallmarks of virulent VEE infection in the hamster.

摘要

对感染强毒委内瑞拉马脑炎(VEE)病毒(I - B亚型)的成年仓鼠进行的超微结构、组织病理学和病毒学研究表明,病变和病毒在外神经部位的复制呈现出精确的时间顺序和拓扑进展。胸腺出现最早的病变,且初始和后续病毒滴度最高。在高效病毒复制和严重细胞坏死过程中,未观察到特定的细胞嗜性。脾脏动脉周围淋巴细胞鞘的早期皮质坏死之后,外周区出现淋巴母细胞样细胞重新填充。大量骨髓坏死伴随着网状细胞、红细胞、髓细胞、淋巴母细胞样细胞和巨核细胞中VEE病毒颗粒产生的超微结构证据。几乎所有淋巴网状和造血细胞的快速性、高效性、破坏性和相对敏感性是仓鼠感染强毒VEE的特征。

https://cdn.ncbi.nlm.nih.gov/pmc/blobs/7164/2032456/294592f307ae/amjpathol00447-0172-a.jpg

文献AI研究员

20分钟写一篇综述,助力文献阅读效率提升50倍。

立即体验

用中文搜PubMed

大模型驱动的PubMed中文搜索引擎

马上搜索

文档翻译

学术文献翻译模型,支持多种主流文档格式。

立即体验