Tbakhi A, Totos G, Hauser-Kronberger C, Pettay J, Baunoch D, Hacker G W, Tubbs R R
Department of Clinical Pathology, The Cleveland Clinic Foundation, Ohio 44195-5131, USA.
Am J Pathol. 1998 Jan;152(1):35-41.
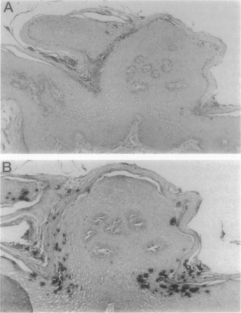
Neutral buffered formalin (NBF) (4% neutral buffered formaldehyde) has been advocated by most investigators as the primary fixative of choice for in situ hybridization (ISH), and specific anecdotal cautions interdicting the use of precipitating fixatives, which otherwise may offer certain advantages such as superior nuclear detail, are common. Few systematic studies addressing ISH fixation conditions have been published. We reasoned that heavy metals present in some precipitating fixatives may compromise duplex formation during ISH. Cell lines containing known viral gene content (CaSki, 200 to 600 human papilloma virus 16 copies/cell, and SiHa, 1 to 2 human papilloma virus 16 copies/cell) and two negative cell lines (K562 and MOLT 4) were expanded to >10(10) and pellets fixed in NBF, zinc formalin, B5, and Bouin's and Hollande's solutions, and subjected to DNA ISH using biotinylated genomic probes. Ten tissue biopsies fixed in both Hollande's and NBF solutions were also evaluated for human papilloma virus content using DNA ISH. Additionally, 17 cases of Hodgkin's disease fixed in B5 and formalin were compared for Epstein-Barr encoded RNA detection using RNA ISH with fluorescein isothiocyanate-labeled oligonucleotides. Catalyzed reporter deposition combined with Streptavidin-Nanogold staining and silver acetate autometallography (Catalyzed reporter deposition-Ng-autometallography ISH) and a conventional indirect alkaline phosphatase method were used for detection for both DNA and RNA. Contaminating heavy metals entrapped in fixed tissues were removed by two exposures to Lugol's iodine. Results for both DNA and RNA ISH comparing B5 and NBF fixatives were virtually identical. Hollande's, Bouin's, B5, and zinc formalin fixed tissue showed results indistinguishable from NBF fixed tissue in DNA ISH. Precipitating fixatives such as B5 and Hollande's solution may be used for DNA and RNA ISH under appropriate conditions.
大多数研究人员主张使用中性缓冲福尔马林(NBF)(4%中性缓冲甲醛)作为原位杂交(ISH)的首选主要固定剂,并且常见一些具体的经验性告诫,禁止使用可能会沉淀的固定剂,否则这些固定剂可能具有某些优势,比如能提供更清晰的细胞核细节。很少有关于ISH固定条件的系统性研究发表。我们推测一些沉淀固定剂中含有的重金属可能会在ISH过程中损害双链体的形成。将含有已知病毒基因含量的细胞系(CaSki,每细胞200至600个16型人乳头瘤病毒拷贝;SiHa,每细胞1至2个16型人乳头瘤病毒拷贝)以及两个阴性细胞系(K562和MOLT 4)扩增至>10(10),制成细胞沉淀,分别用NBF、锌福尔马林、B5、Bouin氏液和Hollande氏液固定,然后使用生物素化基因组探针进行DNA原位杂交。还使用DNA原位杂交对10例同时用Hollande氏液和NBF液固定的组织活检标本进行了人乳头瘤病毒含量评估。此外,对17例分别用B5液和福尔马林固定的霍奇金病病例,使用异硫氰酸荧光素标记的寡核苷酸通过RNA原位杂交比较了爱泼斯坦 - 巴尔编码RNA的检测情况。采用催化报告沉积结合链霉亲和素 - 纳米金染色和醋酸银自动显影术(催化报告沉积 - Ng - 自动显影原位杂交)以及传统的间接碱性磷酸酶方法对DNA和RNA进行检测。通过两次用卢戈氏碘处理去除固定组织中截留的污染重金属。比较B5液和NBF液固定剂的DNA和RNA原位杂交结果几乎相同。在DNA原位杂交中,Hollande氏液、Bouin氏液、B5液和锌福尔马林固定的组织显示出与NBF固定组织难以区分的结果。在适当条件下,像B5液和Hollande氏液这样的沉淀固定剂可用于DNA和RNA原位杂交。