• 文献检索
  • 文档翻译
  • 深度研究
  • 学术资讯
  • Suppr Zotero 插件Zotero 插件
  • 邀请有礼
  • 套餐&价格
  • 历史记录
应用&插件
Suppr Zotero 插件Zotero 插件浏览器插件Mac 客户端Windows 客户端微信小程序
定价
高级版会员购买积分包购买API积分包
服务
文献检索文档翻译深度研究API 文档MCP 服务
关于我们
关于 Suppr公司介绍联系我们用户协议隐私条款
关注我们

Suppr 超能文献

核心技术专利:CN118964589B侵权必究
粤ICP备2023148730 号-1Suppr @ 2026

文献检索

告别复杂PubMed语法,用中文像聊天一样搜索,搜遍4000万医学文献。AI智能推荐,让科研检索更轻松。

立即免费搜索

文件翻译

保留排版,准确专业,支持PDF/Word/PPT等文件格式,支持 12+语言互译。

免费翻译文档

深度研究

AI帮你快速写综述,25分钟生成高质量综述,智能提取关键信息,辅助科研写作。

立即免费体验

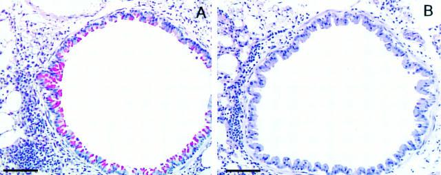
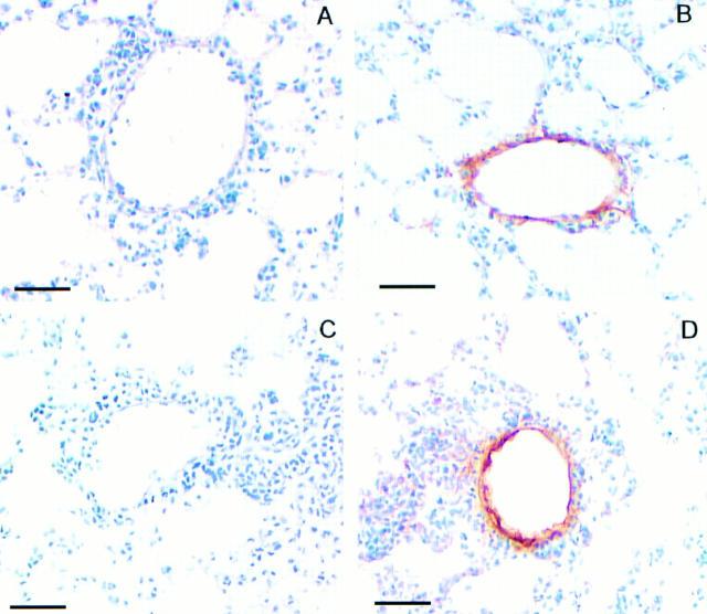
信号转导及转录激活因子6(Stat6)缺陷小鼠可免受抗原诱导的气道高反应性和黏液分泌影响。

Signal transducer and activator of transcription factor 6 (Stat6)-deficient mice are protected from antigen-induced airway hyperresponsiveness and mucus production.

作者信息

Kuperman D, Schofield B, Wills-Karp M, Grusby M J

机构信息

Department of Environmental Health Sciences, Johns Hopkins School of Public Health, Baltimore, Maryland 21205, USA.

出版信息

J Exp Med. 1998 Mar 16;187(6):939-48. doi: 10.1084/jem.187.6.939.

DOI:10.1084/jem.187.6.939
PMID:9500796
原文链接:https://pmc.ncbi.nlm.nih.gov/articles/PMC2212182/
Abstract

The pleiotropic cytokine interleukin 4 (IL-4) has been shown to regulate many processes thought to be important in the allergic diathesis. To determine the mechanism(s) by which IL-4 mediates allergic airway responses to inhaled allergens, we compared the effects of antigen sensitization and challenge on the development of allergic airway responses in mice in which the gene for the signal transducer and activator of transcription factor 6 (Stat6) was disrupted to those of their wild-type littermates. Strikingly, Stat6-deficient mice failed to develop airway hyperresponsiveness (AHR), which was observed in their wild-type littermates after allergen provocation. Moreover, antigen-induced increases in mucus-containing cells were found to be completely Stat6 dependent. Consistent with the lack of Th2 cytokine responses in Stat6-deficient mice, no ovalbumin-specific immunoglobulin (Ig)E was detected in their serum. In contrast, Stat6 signaling only partially mediated antigen-induced eosinophilia with no role in vascular adhesion molecule 1 expression. These results indicate that Stat6 signal transduction is critical in the development of allergen-induced AHR and that agents that specifically inhibit this pathway may provide a novel strategy for the treatment of allergic disorders.

摘要

多效性细胞因子白细胞介素4(IL-4)已被证明可调节许多在过敏性素质中被认为很重要的过程。为了确定IL-4介导对吸入变应原的过敏性气道反应的机制,我们比较了抗原致敏和激发对信号转导及转录激活因子6(Stat6)基因被破坏的小鼠与它们野生型同窝小鼠过敏性气道反应发展的影响。令人惊讶的是,Stat6缺陷小鼠未能出现气道高反应性(AHR),而其野生型同窝小鼠在变应原激发后出现了这种情况。此外,发现抗原诱导的含黏液细胞增加完全依赖于Stat6。与Stat6缺陷小鼠缺乏Th2细胞因子反应一致,在它们的血清中未检测到卵清蛋白特异性免疫球蛋白(Ig)E。相反,Stat6信号传导仅部分介导抗原诱导的嗜酸性粒细胞增多,对血管黏附分子1的表达没有作用。这些结果表明,Stat6信号转导在变应原诱导的AHR发展中至关重要,特异性抑制该途径的药物可能为治疗过敏性疾病提供一种新策略。

https://cdn.ncbi.nlm.nih.gov/pmc/blobs/f570/2212182/1e7b01d29700/JEM972108.f7.jpg
https://cdn.ncbi.nlm.nih.gov/pmc/blobs/f570/2212182/d53deaee1e8e/JEM972108.f1.jpg
https://cdn.ncbi.nlm.nih.gov/pmc/blobs/f570/2212182/53c780914d1d/JEM972108.f2.jpg
https://cdn.ncbi.nlm.nih.gov/pmc/blobs/f570/2212182/29a03c9d7eba/JEM972108.f3.jpg
https://cdn.ncbi.nlm.nih.gov/pmc/blobs/f570/2212182/acc75c191a3c/JEM972108.f4.jpg
https://cdn.ncbi.nlm.nih.gov/pmc/blobs/f570/2212182/b85e05f7633a/JEM972108.f5.jpg
https://cdn.ncbi.nlm.nih.gov/pmc/blobs/f570/2212182/be10f11eabdb/JEM972108.f6.jpg
https://cdn.ncbi.nlm.nih.gov/pmc/blobs/f570/2212182/1e7b01d29700/JEM972108.f7.jpg
https://cdn.ncbi.nlm.nih.gov/pmc/blobs/f570/2212182/d53deaee1e8e/JEM972108.f1.jpg
https://cdn.ncbi.nlm.nih.gov/pmc/blobs/f570/2212182/53c780914d1d/JEM972108.f2.jpg
https://cdn.ncbi.nlm.nih.gov/pmc/blobs/f570/2212182/29a03c9d7eba/JEM972108.f3.jpg
https://cdn.ncbi.nlm.nih.gov/pmc/blobs/f570/2212182/acc75c191a3c/JEM972108.f4.jpg
https://cdn.ncbi.nlm.nih.gov/pmc/blobs/f570/2212182/b85e05f7633a/JEM972108.f5.jpg
https://cdn.ncbi.nlm.nih.gov/pmc/blobs/f570/2212182/be10f11eabdb/JEM972108.f6.jpg
https://cdn.ncbi.nlm.nih.gov/pmc/blobs/f570/2212182/1e7b01d29700/JEM972108.f7.jpg

相似文献

1
Signal transducer and activator of transcription factor 6 (Stat6)-deficient mice are protected from antigen-induced airway hyperresponsiveness and mucus production.信号转导及转录激活因子6(Stat6)缺陷小鼠可免受抗原诱导的气道高反应性和黏液分泌影响。
J Exp Med. 1998 Mar 16;187(6):939-48. doi: 10.1084/jem.187.6.939.
2
The failure of STAT6-deficient mice to develop airway eosinophilia and airway hyperresponsiveness is overcome by interleukin-5.白细胞介素-5克服了STAT6缺陷小鼠气道嗜酸性粒细胞增多和气道高反应性的发育障碍。
Am J Respir Crit Care Med. 1999 Oct;160(4):1283-91. doi: 10.1164/ajrccm.160.4.9809065.
3
STAT6-mediated signaling in Th2-dependent allergic asthma: critical role for the development of eosinophilia, airway hyper-responsiveness and mucus hypersecretion, distinct from its role in Th2 differentiation.STAT6介导的Th2依赖性过敏性哮喘信号传导:对嗜酸性粒细胞增多、气道高反应性和黏液分泌亢进的发展起关键作用,与其在Th2分化中的作用不同。
Int Immunol. 2004 Oct;16(10):1497-505. doi: 10.1093/intimm/dxh151. Epub 2004 Sep 6.
4
Adoptive transfer of T cells induces airway hyperresponsiveness independently of airway eosinophilia but in a signal transducer and activator of transcription 6-dependent manner.T细胞的过继转移可独立于气道嗜酸性粒细胞增多而诱导气道高反应性,但以信号转导及转录激活因子6依赖的方式进行。
J Allergy Clin Immunol. 2002 May;109(5):810-6. doi: 10.1067/mai.2002.123531.
5
A murine IL-4 receptor antagonist that inhibits IL-4- and IL-13-induced responses prevents antigen-induced airway eosinophilia and airway hyperresponsiveness.一种抑制白细胞介素-4和白细胞介素-13诱导反应的小鼠白细胞介素-4受体拮抗剂可预防抗原诱导的气道嗜酸性粒细胞增多和气道高反应性。
J Immunol. 2001 May 1;166(9):5792-800. doi: 10.4049/jimmunol.166.9.5792.
6
STAT6 deficiency in a mouse model of allergen-induced airways inflammation abolishes eosinophilia but induces infiltration of CD8+ T cells.在变应原诱导的气道炎症小鼠模型中,STAT6缺陷消除了嗜酸性粒细胞增多,但诱导了CD8 + T细胞浸润。
Clin Exp Allergy. 1999 Jan;29(1):114-23. doi: 10.1046/j.1365-2222.1999.00405.x.
7
Signal transducer and activator of transcription 6 controls chemokine production and T helper cell type 2 cell trafficking in allergic pulmonary inflammation.信号转导及转录激活因子6调控变应性肺炎症中趋化因子的产生及2型辅助性T细胞的迁移。
J Exp Med. 2001 May 7;193(9):1087-96. doi: 10.1084/jem.193.9.1087.
8
Dissociation of T helper type 2 cytokine-dependent airway lesions from signal transducer and activator of transcription 6 signalling in experimental chronic asthma.实验性慢性哮喘中辅助性T细胞2型细胞因子依赖性气道病变与信号转导及转录激活因子6信号传导的解离
Clin Exp Allergy. 2003 May;33(5):688-95. doi: 10.1046/j.1365-2222.2003.01647.x.
9
Interleukin 12 inhibits antigen-induced airway hyperresponsiveness, inflammation, and Th2 cytokine expression in mice.白细胞介素12可抑制小鼠抗原诱导的气道高反应性、炎症及Th2细胞因子表达。
J Exp Med. 1995 Nov 1;182(5):1527-36. doi: 10.1084/jem.182.5.1527.
10
Stat6-deficient mice develop airway hyperresponsiveness and peribronchial fibrosis during chronic fungal asthma.Stat6基因缺陷型小鼠在慢性真菌性哮喘期间会出现气道高反应性和支气管周围纤维化。
Am J Pathol. 2002 Feb;160(2):481-90. doi: 10.1016/S0002-9440(10)64867-5.

引用本文的文献

1
The Ubiquitin-Proteasome System in Asthma: Mechanisms and Therapeutic Possibilities.哮喘中的泛素-蛋白酶体系统:机制与治疗潜力
Clin Rev Allergy Immunol. 2025 Sep 11;68(1):86. doi: 10.1007/s12016-025-09081-y.
2
Therapeutic effects of a combination of and extract on allergic airway inflammation in an ovalbumin-induced asthma mouse model.[具体物质1]和[具体物质2]提取物联合应用对卵清蛋白诱导的哮喘小鼠模型过敏性气道炎症的治疗作用
Front Nutr. 2025 Jul 10;12:1613413. doi: 10.3389/fnut.2025.1613413. eCollection 2025.
3
Modulation of pulmonary immune functions by the secondary metabolite pyocyanin.

本文引用的文献

1
Role for neurokinin-2 receptor in interleukin-5-induced airway hyperresponsiveness but not eosinophilia in guinea pigs.神经激肽-2受体在豚鼠白细胞介素-5诱导的气道高反应性而非嗜酸性粒细胞增多中所起的作用。
Am J Respir Crit Care Med. 1997 Aug;156(2 Pt 1):367-74. doi: 10.1164/ajrccm.156.2.9608101.
2
Interleukin-4 receptor blockade prevents airway responses induced by antigen challenge in mice.白细胞介素-4受体阻断可预防小鼠抗原激发诱导的气道反应。
Am J Physiol. 1997 Feb;272(2 Pt 1):L253-61. doi: 10.1152/ajplung.1997.272.2.L253.
3
Allergic eosinophil-rich inflammation develops in lungs and airways of B cell-deficient mice.
次生代谢产物绿脓菌素对肺部免疫功能的调节作用。
Front Immunol. 2025 Mar 24;16:1550724. doi: 10.3389/fimmu.2025.1550724. eCollection 2025.
4
Immunologic aspects of asthma: from molecular mechanisms to disease pathophysiology and clinical translation.哮喘的免疫学方面:从分子机制到疾病病理生理学和临床转化。
Front Immunol. 2024 Oct 8;15:1478624. doi: 10.3389/fimmu.2024.1478624. eCollection 2024.
5
Development of Adaptive Immunity and Its Role in Lung Remodeling.适应性免疫的发展及其在肺重塑中的作用。
Adv Exp Med Biol. 2023;1426:287-351. doi: 10.1007/978-3-031-32259-4_14.
6
Evidence that oncostatin M synergizes with IL-4 signaling to induce TSLP expression in chronic rhinosinusitis with nasal polyps.证据表明,在伴有鼻息肉的慢性鼻-鼻窦炎中,抑瘤素 M 与 IL-4 信号协同作用诱导 TSLP 的表达。
J Allergy Clin Immunol. 2023 May;151(5):1379-1390.e11. doi: 10.1016/j.jaci.2022.11.029. Epub 2023 Jan 6.
7
Suppression of Allergic Asthma by Loss of Function of Miz1-mediated Th1 Skewing.通过 Miz1 介导的 Th1 偏向功能丧失抑制变应性哮喘。
Am J Respir Cell Mol Biol. 2022 Sep;67(3):346-359. doi: 10.1165/rcmb.2022-0135OC.
8
STAT6 Blockade Abrogates -Induced Eosinophilic Chronic Rhinosinusitis and Asthma, A Model of Unified Airway Disease.STAT6 阻断消除了 - 诱导的嗜酸性慢性鼻鼻窦炎和哮喘,一种统一的气道疾病模型。
Front Immunol. 2022 Feb 23;13:818017. doi: 10.3389/fimmu.2022.818017. eCollection 2022.
9
STAT6-Dependent Exacerbation of House Dust Mite-Induced Allergic Airway Disease in Mice by Multi-Walled Carbon Nanotubes.多壁碳纳米管通过 STAT6 依赖性途径加剧小鼠尘螨诱导的过敏性气道疾病。
NanoImpact. 2021 Apr;22. doi: 10.1016/j.impact.2021.100309. Epub 2021 Mar 13.
10
Requirement of Gαi1 and Gαi3 in interleukin-4-induced signaling, macrophage M2 polarization and allergic asthma response.Gαi1 和 Gαi3 在白细胞介素-4 诱导的信号转导、巨噬细胞 M2 极化和过敏性哮喘反应中的作用。
Theranostics. 2021 Mar 4;11(10):4894-4909. doi: 10.7150/thno.56383. eCollection 2021.
在B细胞缺陷小鼠的肺部和气道中会发生富含嗜酸性粒细胞的过敏性炎症。
J Exp Med. 1997 Mar 3;185(5):885-92. doi: 10.1084/jem.185.5.885.
4
A novel role for murine IL-4 in vivo: induction of MUC5AC gene expression and mucin hypersecretion.小鼠白细胞介素-4在体内的新作用:诱导MUC5AC基因表达和粘蛋白分泌过多。
Am J Respir Cell Mol Biol. 1997 Apr;16(4):471-8. doi: 10.1165/ajrcmb.16.4.9115759.
5
Allergen-induced bronchial hyperreactivity and eosinophilic inflammation occur in the absence of IgE in a mouse model of asthma.在一种哮喘小鼠模型中,变应原诱导的支气管高反应性和嗜酸性粒细胞炎症在无IgE的情况下发生。
Proc Natl Acad Sci U S A. 1997 Feb 18;94(4):1344-9. doi: 10.1073/pnas.94.4.1344.
6
Phenotypic and physiologic characterization of transgenic mice expressing interleukin 4 in the lung: lymphocytic and eosinophilic inflammation without airway hyperreactivity.肺中表达白细胞介素4的转基因小鼠的表型和生理学特征:无气道高反应性的淋巴细胞性和嗜酸性粒细胞性炎症。
Proc Natl Acad Sci U S A. 1996 Jul 23;93(15):7821-5. doi: 10.1073/pnas.93.15.7821.
7
Platelet-derived growth factor in asthma.哮喘中的血小板衍生生长因子。
Allergy. 1995 Nov;50(11):878-83. doi: 10.1111/j.1398-9995.1995.tb02493.x.
8
Stat6 and Jak1 are common elements in platelet-derived growth factor and interleukin-4 signal transduction pathways in NIH 3T3 fibroblasts.Stat6和Jak1是NIH 3T3成纤维细胞中血小板衍生生长因子和白细胞介素-4信号转导途径的共同元件。
J Biol Chem. 1996 Sep 6;271(36):22175-82. doi: 10.1074/jbc.271.36.22175.
9
IL-4 and IL-13 activate the JAK2 tyrosine kinase and Stat6 in cultured human vascular endothelial cells through a common pathway that does not involve the gamma c chain.白细胞介素-4和白细胞介素-13通过一条不涉及γc链的共同途径激活培养的人血管内皮细胞中的JAK2酪氨酸激酶和信号转导子与转录激活子6。
J Clin Invest. 1996 Aug 1;98(3):604-9. doi: 10.1172/JCI118829.
10
Stat6 is required for mediating responses to IL-4 and for development of Th2 cells.Stat6是介导对IL-4的反应以及Th2细胞发育所必需的。
Immunity. 1996 Mar;4(3):313-9. doi: 10.1016/s1074-7613(00)80439-2.