• 文献检索
  • 文档翻译
  • 深度研究
  • 学术资讯
  • Suppr Zotero 插件Zotero 插件
  • 邀请有礼
  • 套餐&价格
  • 历史记录
应用&插件
Suppr Zotero 插件Zotero 插件浏览器插件Mac 客户端Windows 客户端微信小程序
定价
高级版会员购买积分包购买API积分包
服务
文献检索文档翻译深度研究API 文档MCP 服务
关于我们
关于 Suppr公司介绍联系我们用户协议隐私条款
关注我们

Suppr 超能文献

核心技术专利:CN118964589B侵权必究
粤ICP备2023148730 号-1Suppr @ 2026

文献检索

告别复杂PubMed语法,用中文像聊天一样搜索,搜遍4000万医学文献。AI智能推荐,让科研检索更轻松。

立即免费搜索

文件翻译

保留排版,准确专业,支持PDF/Word/PPT等文件格式,支持 12+语言互译。

免费翻译文档

深度研究

AI帮你快速写综述,25分钟生成高质量综述,智能提取关键信息,辅助科研写作。

立即免费体验

高功能脆性X男性中的异常突变:未甲基化的CGG重复序列扩增的明显不稳定性。

Unusual mutations in high functioning fragile X males: apparent instability of expanded unmethylated CGG repeats.

作者信息

Wöhrle D, Salat U, Gläser D, Mücke J, Meisel-Stosiek M, Schindler D, Vogel W, Steinbach P

机构信息

Abteilung Medizinische Genetik, Universität Ulm, Germany.

出版信息

J Med Genet. 1998 Feb;35(2):103-11. doi: 10.1136/jmg.35.2.103.

DOI:10.1136/jmg.35.2.103
PMID:9507388
原文链接:https://pmc.ncbi.nlm.nih.gov/articles/PMC1051212/
Abstract

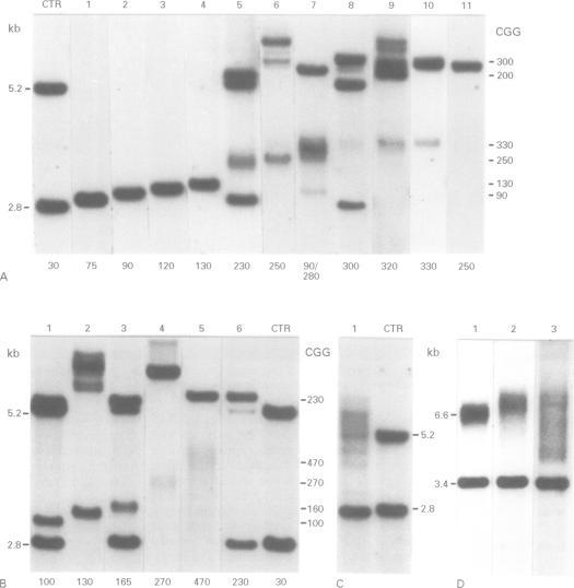
We report on further cases of high functioning fragile X males showing decreased expression of FMR1 protein, absence of detectable methylation at the EagI site in the FMR1 gene promoter, and highly unusual patterns of fragile X mutations defined as smear of expansions extending from premutation to full mutation range. Very diffuse and therefore not easily detectable patterns of full mutations were also observed on prenatal testing using DNA from chorionic villi sampled at a time of development when full mutations were still unmethylated in this particular tissue. In the search for possible determinants of such unusual patterns, repeat expansions in the premutation and in the lower full mutation range were identified on genomic PstI blots previously prepared for fragile X DNA testing. Cases with 130 or more triplets, and a number of shorter repeats, were reinvestigated on EcoRI plus EagI digests. Among the 119 expansions, there were 22 in our sample showing either blurred bands or smears on PstI blots. This particular characteristic was strongly associated with the coincidence of a repeat size of more than 130 triplets and absence of EagI site methylation. Our data set also includes cases of mosaic patterns consisting of smears of unmethylated expansions to more than 130 CGGs and of clear bands of methylated expansions. We therefore suggest that in fragile X syndrome unusual smeared patterns of mutations result from somatic instability of larger repeats under circumstantial absence of repeat methylation.

摘要

我们报告了更多高功能脆性X男性病例,这些病例显示FMR1蛋白表达降低,FMR1基因启动子的EagI位点未检测到甲基化,以及脆性X突变的高度异常模式,定义为从前突变到全突变范围的扩展条带模糊。在产前检测中,当使用绒毛膜绒毛DNA时,在特定组织中全突变仍未甲基化的发育阶段,也观察到了非常弥散因而不易检测到的全突变模式。在寻找这种异常模式的可能决定因素时,在先前为脆性X DNA检测制备的基因组PstI印迹上,在前突变和较低全突变范围内鉴定出重复序列扩展。对130个或更多三联体以及一些较短重复序列的病例,用EcoRI加EagI消化进行了重新研究。在119个扩展序列中,我们的样本中有22个在PstI印迹上显示出模糊条带或条带模糊。这种特殊特征与超过130个三联体的重复序列大小以及EagI位点甲基化缺失的巧合密切相关。我们的数据集还包括由未甲基化扩展到超过130个CGG的条带模糊和甲基化扩展的清晰条带组成的嵌合模式病例。因此,我们认为在脆性X综合征中,异常的条带模糊突变模式是由于在重复序列甲基化缺失的情况下,较大重复序列的体细胞不稳定性所致。

https://cdn.ncbi.nlm.nih.gov/pmc/blobs/0d87/1051212/d797cb9ba123/jmedgene00231-0020-a.jpg
https://cdn.ncbi.nlm.nih.gov/pmc/blobs/0d87/1051212/0f9ab7acc566/jmedgene00231-0016-a.jpg
https://cdn.ncbi.nlm.nih.gov/pmc/blobs/0d87/1051212/95d70e04aae7/jmedgene00231-0017-a.jpg
https://cdn.ncbi.nlm.nih.gov/pmc/blobs/0d87/1051212/4f14c642cdd5/jmedgene00231-0018-a.jpg
https://cdn.ncbi.nlm.nih.gov/pmc/blobs/0d87/1051212/2f0692b8b4aa/jmedgene00231-0019-a.jpg
https://cdn.ncbi.nlm.nih.gov/pmc/blobs/0d87/1051212/d797cb9ba123/jmedgene00231-0020-a.jpg
https://cdn.ncbi.nlm.nih.gov/pmc/blobs/0d87/1051212/0f9ab7acc566/jmedgene00231-0016-a.jpg
https://cdn.ncbi.nlm.nih.gov/pmc/blobs/0d87/1051212/95d70e04aae7/jmedgene00231-0017-a.jpg
https://cdn.ncbi.nlm.nih.gov/pmc/blobs/0d87/1051212/4f14c642cdd5/jmedgene00231-0018-a.jpg
https://cdn.ncbi.nlm.nih.gov/pmc/blobs/0d87/1051212/2f0692b8b4aa/jmedgene00231-0019-a.jpg
https://cdn.ncbi.nlm.nih.gov/pmc/blobs/0d87/1051212/d797cb9ba123/jmedgene00231-0020-a.jpg

相似文献

1
Unusual mutations in high functioning fragile X males: apparent instability of expanded unmethylated CGG repeats.高功能脆性X男性中的异常突变:未甲基化的CGG重复序列扩增的明显不稳定性。
J Med Genet. 1998 Feb;35(2):103-11. doi: 10.1136/jmg.35.2.103.
2
Methylation mosaicism of 5'-(CGG)(n)-3' repeats in fragile X, premutation and normal individuals.脆性X综合征患者、前突变携带者及正常人中5'-(CGG)(n)-3'重复序列的甲基化镶嵌现象
Nucleic Acids Res. 2000 May 15;28(10):2141-52. doi: 10.1093/nar/28.10.2141.
3
Increase of FMRP expression, raised levels of FMR1 mRNA, and clonal selection in proliferating cells with unmethylated fragile X repeat expansions: a clue to the sex bias in the transmission of full mutations?脆性X智力低下蛋白(FMRP)表达增加、FMR1 mRNA水平升高以及具有未甲基化脆性X重复序列扩增的增殖细胞中的克隆选择:完全突变传递中性别偏差的线索?
J Med Genet. 2000 Nov;37(11):842-50. doi: 10.1136/jmg.37.11.842.
4
Molecular diagnosis of fragile X syndrome using methylation sensitive techniques in a cohort of patients with intellectual disability.在一组智力残疾患者中使用甲基化敏感技术对脆性X综合征进行分子诊断。
Pediatr Neurol. 2014 Apr;50(4):368-76. doi: 10.1016/j.pediatrneurol.2013.11.020. Epub 2013 Dec 4.
5
Segregation of the fragile X mutation from a male with a full mutation: unusual somatic instability in the FMR-1 locus.脆性X突变从一名具有完全突变的男性中的分离:FMR-1基因座中异常的体细胞不稳定性。
Am J Med Genet. 1996 Aug 9;64(2):404-7. doi: 10.1002/(SICI)1096-8628(19960809)64:2<404::AID-AJMG34>3.0.CO;2-H.
6
Mosaicism for an FMR1 gene deletion in a fragile X female.一名脆性X综合征女性中FMR1基因缺失的嵌合体现象。
Am J Med Genet A. 2005 Jul 15;136(2):214-7. doi: 10.1002/ajmg.a.30807.
7
A deletion of 1.6 kb proximal to the CGG repeat of the FMR1 gene causes the clinical phenotype of the fragile X syndrome.FMR1基因CGG重复序列近端1.6 kb的缺失导致脆性X综合征的临床表型。
Hum Mol Genet. 1994 Apr;3(4):615-20. doi: 10.1093/hmg/3.4.615.
8
Clinical and Molecular Differences between 4-Year-Old Monozygous Male Twins Mosaic for Normal, Premutation and Fragile X Full Mutation Alleles.4 岁同卵男性双胞胎的临床和分子差异,他们分别携带正常、前突变和脆性 X 完全突变等位基因。
Genes (Basel). 2019 Apr 5;10(4):279. doi: 10.3390/genes10040279.
9
Molecular predictors of cognitive involvement in female carriers of fragile X syndrome.脆性X综合征女性携带者认知受累的分子预测指标
JAMA. 1994 Feb 16;271(7):507-14.
10
Fragile X males with unmethylated, full mutation trinucleotide repeat expansions have elevated levels of FMR1 messenger RNA.具有未甲基化、完全突变三核苷酸重复扩增的脆性X男性患者,其FMR1信使核糖核酸水平升高。
Am J Med Genet. 2000 Sep 18;94(3):232-6. doi: 10.1002/1096-8628(20000918)94:3<232::aid-ajmg9>3.0.co;2-h.

引用本文的文献

1
The association between mosaicism type and cognitive and behavioral functioning among males with fragile X syndrome.脆性 X 综合征男性患者镶嵌类型与认知和行为功能的相关性。
Am J Med Genet A. 2022 Mar;188(3):858-866. doi: 10.1002/ajmg.a.62594. Epub 2021 Dec 8.
2
Accuracy and Performance Evaluation of Triplet Repeat Primed PCR as an Alternative to Conventional Diagnostic Methods for Fragile X Syndrome.三链重复引物 PCR 作为脆性 X 综合征传统诊断方法的替代方法的准确性和性能评估。
Ann Lab Med. 2021 Jul 1;41(4):394-400. doi: 10.3343/alm.2021.41.4.394.
3
Association between IQ and FMR1 protein (FMRP) across the spectrum of CGG repeat expansions.

本文引用的文献

1
Characterization of the full fragile X syndrome mutation in fetal gametes.胎儿配子中完全脆性X综合征突变的特征分析。
Nat Genet. 1997 Feb;15(2):165-9. doi: 10.1038/ng0297-165.
2
Variable FMR1 gene methylation of large expansions leads to variable phenotype in three males from one fragile X family.一个脆性X家族中三名男性的FMR1基因大片段扩增的可变甲基化导致了可变表型。
J Med Genet. 1996 Dec;33(12):1007-10. doi: 10.1136/jmg.33.12.1007.
3
A fragile X male with a broad smear on Southern blot analysis representing 100-500 CGG repeats and no methylation at the EagI site of the FMR-1 gene.
在 CGG 重复扩展的整个范围内,智商与 FMR1 蛋白(FMRP)之间的关联。
PLoS One. 2019 Dec 31;14(12):e0226811. doi: 10.1371/journal.pone.0226811. eCollection 2019.
4
Inheritable epigenetic response towards foreign DNA entry by mammalian host cells: a guardian of genomic stability.哺乳动物宿主细胞对外源 DNA 进入的可遗传表观遗传反应:基因组稳定性的守护者。
Epigenetics. 2018;13(12):1141-1153. doi: 10.1080/15592294.2018.1549463. Epub 2018 Dec 12.
5
FXS-Like Phenotype in Two Unrelated Patients Carrying a Methylated Premutation of the Gene.两名携带该基因甲基化前突变的非亲缘患者出现类脆性X综合征表型。
Front Genet. 2018 Nov 2;9:442. doi: 10.3389/fgene.2018.00442. eCollection 2018.
6
Disease-Associated Short Tandem Repeats Co-localize with Chromatin Domain Boundaries.疾病相关的短串联重复序列与染色质结构域边界共定位。
Cell. 2018 Sep 20;175(1):224-238.e15. doi: 10.1016/j.cell.2018.08.005. Epub 2018 Aug 30.
7
Size and methylation mosaicism in males with Fragile X syndrome.脆性 X 综合征男性中的大小和甲基化嵌合体。
Expert Rev Mol Diagn. 2017 Nov;17(11):1023-1032. doi: 10.1080/14737159.2017.1377612.
8
Recent advances in assays for the fragile X-related disorders.脆性X相关疾病检测方法的最新进展。
Hum Genet. 2017 Oct;136(10):1313-1327. doi: 10.1007/s00439-017-1840-5. Epub 2017 Sep 2.
9
FORWARD: A Registry and Longitudinal Clinical Database to Study Fragile X Syndrome.前言:一个用于研究脆性X综合征的注册库和纵向临床数据库。
Pediatrics. 2017 Jun;139(Suppl 3):S183-S193. doi: 10.1542/peds.2016-1159E.
10
CGG Repeat-Induced FMR1 Silencing Depends on the Expansion Size in Human iPSCs and Neurons Carrying Unmethylated Full Mutations.CGG 重复诱导的 FMR1 沉默依赖于携带未甲基化全突变的人 iPSCs 和神经元中的扩增大小。
Stem Cell Reports. 2016 Dec 13;7(6):1059-1071. doi: 10.1016/j.stemcr.2016.10.004. Epub 2016 Nov 10.
一名脆性X男性患者,Southern印迹分析显示有一条宽条带,代表100 - 500个CGG重复序列,且FMR-1基因的EagI位点无甲基化。
Am J Med Genet. 1996 Aug 9;64(2):278-82. doi: 10.1002/(SICI)1096-8628(19960809)64:2<278::AID-AJMG9>3.0.CO;2-Q.
4
FMR1 fully expanded mutation with minimal methylation in a high functioning fragile X male.一名高功能脆性X男性患者中具有最小甲基化的FMR1完全扩展突变。
J Med Genet. 1996 May;33(5):376-8. doi: 10.1136/jmg.33.5.376.
5
Normal phenotype in two brothers with a full FMR1 mutation.两名患有完全FMR1突变的兄弟表现出正常表型。
Hum Mol Genet. 1995 Nov;4(11):2103-8. doi: 10.1093/hmg/4.11.2103.
6
DNA methylation in early development.早期发育中的DNA甲基化。
Hum Mol Genet. 1995;4 Spec No:1751-5. doi: 10.1093/hmg/4.suppl_1.1751.
7
Heterogeneity of DM kinase repeat expansion in different fetal tissues and further expansion during cell proliferation in vitro: evidence for a casual involvement of methyl-directed DNA mismatch repair in triplet repeat stability.不同胎儿组织中糖尿病激酶重复序列扩增的异质性以及体外细胞增殖过程中的进一步扩增:甲基化导向的DNA错配修复偶然参与三联体重复序列稳定性的证据。
Hum Mol Genet. 1995 Jul;4(7):1147-53. doi: 10.1093/hmg/4.7.1147.
8
The FMR-1 protein is cytoplasmic, most abundant in neurons and appears normal in carriers of a fragile X premutation.脆性X智力低下蛋白1(FMR-1)位于细胞质中,在神经元中含量最为丰富,且在脆性X前突变携带者中表现正常。
Nat Genet. 1993 Aug;4(4):335-40. doi: 10.1038/ng0893-335.
9
The full mutation in the FMR-1 gene of male fragile X patients is absent in their sperm.男性脆性X综合征患者FMR - 1基因的完全突变在其精子中不存在。
Nat Genet. 1993 Jun;4(2):143-6. doi: 10.1038/ng0693-143.
10
Mitotic stability of fragile X mutations in differentiated cells indicates early post-conceptional trinucleotide repeat expansion.分化细胞中脆性X突变的有丝分裂稳定性表明受孕后早期三核苷酸重复序列扩增。
Nat Genet. 1993 Jun;4(2):140-2. doi: 10.1038/ng0693-140.