Suppr超能文献

肾活检在急性肾实质衰竭中的价值。

Value of renal biopsy in acute intrinsic renal failure.

作者信息

Wilson D M, Turner D R, Cameron J S, Ogg C S, Brown C B, Chantler C

出版信息

Br Med J. 1976 Aug 21;2(6033):459-61. doi: 10.1136/bmj.2.6033.459.

Abstract

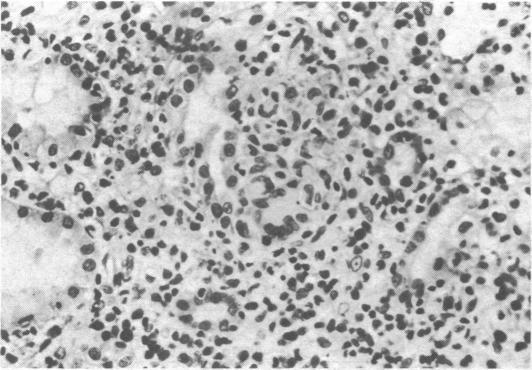
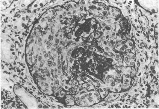
Eighty-four patients presented with acute renal failure and features suggesting a diagnosis of intrinsic renal disease other than "acute reversible renal failure." Renal biopsy proved valuable in establishing the diagnosis, in indicating the reversibility of the lesion, and in helping to decide on treatment.

摘要

84例患者表现为急性肾衰竭,且具有提示“急性可逆性肾衰竭”以外的原发性肾脏疾病诊断的特征。肾活检在确立诊断、提示病变的可逆性以及帮助决定治疗方案方面被证明是有价值的。

https://cdn.ncbi.nlm.nih.gov/pmc/blobs/9479/1687565/9d3466f4333b/brmedj00531-0028-a.jpg

文献检索

告别复杂PubMed语法,用中文像聊天一样搜索,搜遍4000万医学文献。AI智能推荐,让科研检索更轻松。

立即免费搜索

文件翻译

保留排版,准确专业,支持PDF/Word/PPT等文件格式,支持 12+语言互译。

免费翻译文档

深度研究

AI帮你快速写综述,25分钟生成高质量综述,智能提取关键信息,辅助科研写作。

立即免费体验