Suppr超能文献

对曼氏血吸虫免疫的小鼠皮肤中,嗜酸性粒细胞富集的炎性反应针对血吸虫童虫。

Eosinophil-enriched inflammatory response to schistosomula in the skin of mice immune to Schistosoma mansoni.

作者信息

Lichtenberg F, Sher A, Gibbons N, Doughty B L

出版信息

Am J Pathol. 1976 Sep;84(3):479-500.

Abstract

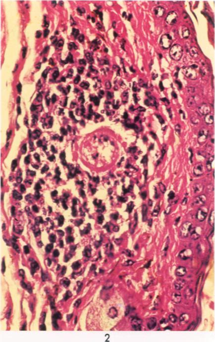
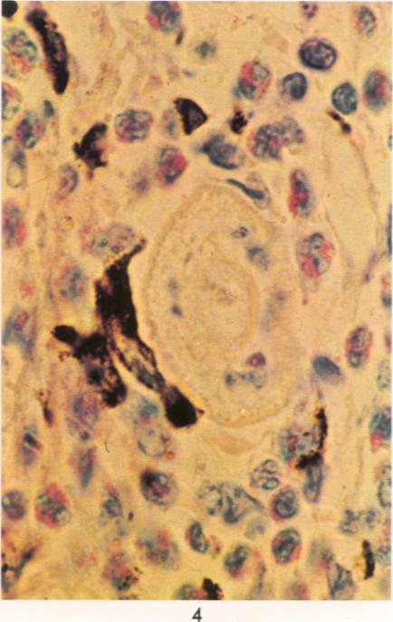
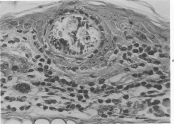
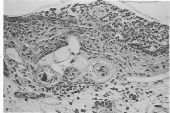
Exposure of the mouse skin to Schistosoma mansoni cercariae gives rise to acute, exudative inflammation in both normal and immune mice, but the immune response is anamnestically accelerated and is oesinophil-enriched, thereby enhancing opportunities for tegumental contact of schistosomula with host leukocytes, particularly with eosinophils. Many of the inflammatory changes occurring within the first 48 hours after exposure are due to cercarial products, e.g., "penetration tracts," but some remain demonstrable when schistosomula metamorphosed in vitro are injected intradermally and are therefore directed against the schistosomula themselves, such as the leukocyte "streaming patterns" seen in their pathways. In contrast to earlier observations in primates, cellular responses to schistosomula in the mouse lung 4 days after penetration are minimal in either normal or immune mice. Thus, immune cellular responses to schistosomula in mice are limited to an early time period after cercarial penetration and are morphologically suggestive of an antibody-mediated response rather than of delayed hypersensitivity. Our observations complement earlier evidence suggesting that antibody-mediated host leukocyte contact with schistosomula initiates the killing of challenge parasites in immune mice, with the eosinophil probably playing a crucial role.

摘要

将曼氏血吸虫尾蚴暴露于小鼠皮肤会在正常小鼠和免疫小鼠中引发急性渗出性炎症,但免疫反应会呈回忆性加速且富含嗜酸性粒细胞,从而增加了童虫与宿主白细胞(特别是嗜酸性粒细胞)体表接触的机会。暴露后最初48小时内发生的许多炎症变化是由尾蚴产物引起的,例如“侵入道”,但当在体外变态的童虫皮内注射时,一些变化仍然明显,因此是针对童虫本身的,比如在其路径中看到的白细胞“流动模式”。与早期在灵长类动物中的观察结果相反,在正常或免疫小鼠中,穿透后4天小鼠肺内对童虫的细胞反应都很轻微。因此,小鼠对童虫的免疫细胞反应仅限于尾蚴穿透后的早期阶段,并且在形态学上提示是一种抗体介导的反应而非迟发型超敏反应。我们的观察结果补充了早期证据,表明抗体介导的宿主白细胞与童虫的接触启动了免疫小鼠中对攻击寄生虫的杀伤,嗜酸性粒细胞可能起着关键作用。

https://cdn.ncbi.nlm.nih.gov/pmc/blobs/be75/2032531/8184c6de1213/amjpathol00448-0069-a.jpg

文献检索

告别复杂PubMed语法,用中文像聊天一样搜索,搜遍4000万医学文献。AI智能推荐,让科研检索更轻松。

立即免费搜索

文件翻译

保留排版,准确专业,支持PDF/Word/PPT等文件格式,支持 12+语言互译。

免费翻译文档

深度研究

AI帮你快速写综述,25分钟生成高质量综述,智能提取关键信息,辅助科研写作。

立即免费体验