Suppr超能文献

用强毒力的牛病毒性腹泻病毒II型对血清阴性的幼龄犊牛进行实验性感染后病毒抗原的损伤及分布情况

Lesions and distribution of viral antigen following an experimental infection of young seronegative calves with virulent bovine virus diarrhea virus-type II.

作者信息

Ellis J A, West K H, Cortese V S, Myers S L, Carman S, Martin K M, Haines D M

机构信息

Department of Veterinary Microbiology, Western College of Veterinary Medicine, University of Saskatchewan, Saskatoon.

出版信息

Can J Vet Res. 1998 Jul;62(3):161-9.

Abstract

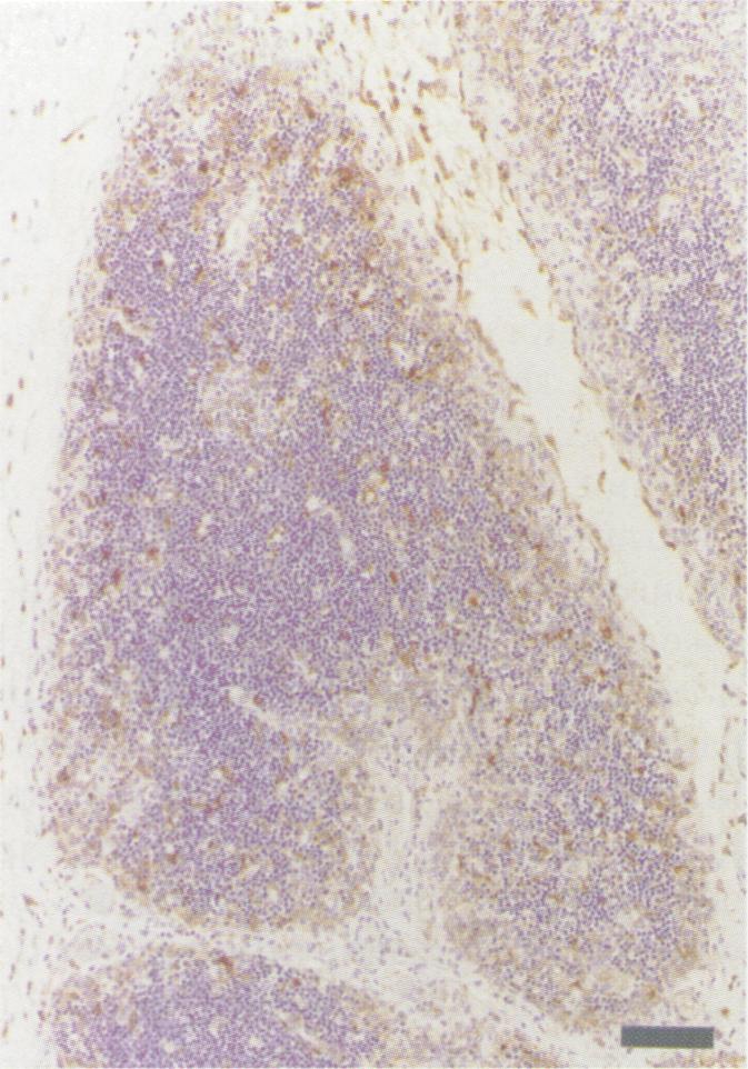
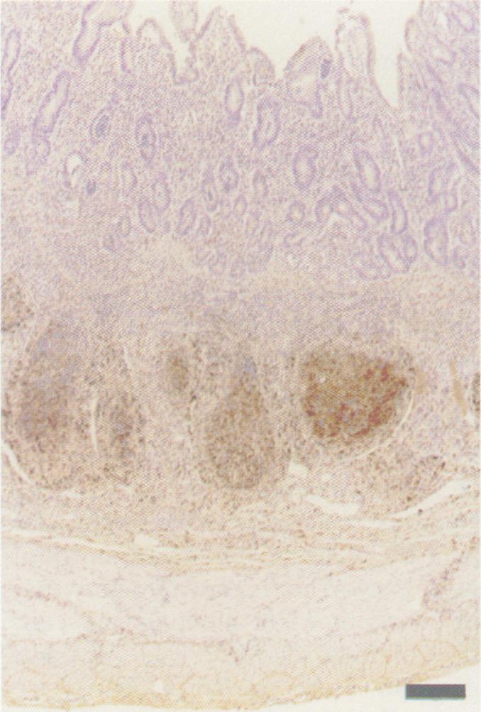
During the past several years, acute infections with bovine viral diarrhea virus (BVDV) have been causally linked to hemorrhagic and acute mucosal disease-like syndromes with high mortality. The majority of BVDVs isolated in such cases have been classified as type II on the basis of genetic and antigenic characteristics. It was our objective to examine clinical disease, lesions and potential sites of viral replication, following experimental BVDV type II infection in young calves. On approximately day 35 after birth, calves that had received BVDV-antibody-negative colostrum were infected by intranasal inoculation of 5 x 10(5) TCID50 of BVDV type II isolate 24,515 in 5 mL of tissue culture fluid (2.5 mL/nostril). Calves were monitored twice daily for signs of clinical disease. Approximately 48-72 h after infection, all calves developed transient pyrexia (39.4-40.5 degrees C) and leukopenia. Beginning on approximately day 7 after infection, all calves developed watery diarrhea, pyrexia (40.5-41.6 degrees C), marked leukopenia (> or = 75% drop from preinoculation values), variable thrombocytopenia, and moderate to severe depression. Calves were euthanized on days 10, 11, or 12 after infection due to severe disease. Gross and histological lesions consisted of multifocal bronchointerstitial pneumonia (involving 10%-25% of affected lungs), bone marrow hypoplasia and necrosis, and minimal erosive lesions in the alimentary tract. Immunohistochemical staining for BVDV revealed widespread viral antigen usually within epithelial cells, smooth muscle cells and mononuclear phagocytes in multiple organs, including lung, Peyer's patches, gastric mucosa, thymus, adrenal gland, spleen, lymph nodes, bone marrow, and skin. This BVDV type II isolate caused rapidly progressive, severe multisystemic disease in seronegative calves that was associated with widespread distribution of viral antigen and few gross or histological inflammatory lesions.

摘要

在过去几年中,牛病毒性腹泻病毒(BVDV)急性感染与高死亡率的出血性及急性黏膜病样综合征存在因果关联。在此类病例中分离出的大多数BVDV,根据遗传和抗原特性被归类为II型。我们的目的是在幼龄犊牛经实验性感染II型BVDV后,检查其临床疾病、病变以及病毒复制的潜在部位。出生后约35天,接受了BVDV抗体阴性初乳的犊牛通过鼻内接种5 mL组织培养液(每侧鼻孔2.5 mL)中的5×10⁵ TCID₅₀ II型BVDV分离株24,515进行感染。每天对犊牛监测两次临床疾病体征。感染后约48 - 72小时,所有犊牛出现短暂发热(39.4 - 40.5摄氏度)和白细胞减少。从感染后约第7天开始,所有犊牛出现水样腹泻、发热(40.5 - 41.6摄氏度)、显著白细胞减少(较接种前值下降≥75%)、可变的血小板减少以及中度至重度抑郁。由于严重疾病,犊牛在感染后第10、11或12天实施安乐死。大体和组织学病变包括多灶性支气管间质性肺炎(累及10% - 25%的患肺)、骨髓发育不全和坏死,以及消化道的轻微糜烂性病变。对BVDV进行免疫组织化学染色显示,病毒抗原广泛存在于多个器官的上皮细胞、平滑肌细胞和单核吞噬细胞内,包括肺、派伊尔氏淋巴集结、胃黏膜、胸腺、肾上腺、脾脏、淋巴结、骨髓和皮肤。这种II型BVDV分离株在血清阴性犊牛中引起迅速进展的严重多系统疾病,这与病毒抗原的广泛分布以及极少的大体或组织学炎症病变相关。

https://cdn.ncbi.nlm.nih.gov/pmc/blobs/4f95/1189471/451d374b7168/cjvetres00015-0006-a.jpg

相似文献

引用本文的文献

8
Virulent Properties of Russian Bovine Viral Diarrhea Virus Strains in Experimentally Infected Calves.
Scientifica (Cairo). 2016;2016:7034509. doi: 10.1155/2016/7034509. Epub 2016 Apr 14.
10
Immunofluorescence analysis of duck plague virus gE protein on DPV-infected ducks.
Virol J. 2011 Jan 15;8:19. doi: 10.1186/1743-422X-8-19.

本文引用的文献

3
Two distinct pathways of B-cell development in Peyer's patches.
Dev Immunol. 1996;4(4):263-77. doi: 10.1155/1995/46974.
6
The pathologies of bovine viral diarrhea virus infection. A window on the pathogenesis.
Vet Clin North Am Food Anim Pract. 1995 Nov;11(3):447-76. doi: 10.1016/s0749-0720(15)30461-8.
7
The clinical manifestations of bovine viral diarrhea infection.
Vet Clin North Am Food Anim Pract. 1995 Nov;11(3):425-45. doi: 10.1016/s0749-0720(15)30460-6.
8
Comparison of detection methods for bovine viral diarrhea virus in bovine abortions and neonatal death.
J Vet Diagn Invest. 1995 Oct;7(4):433-6. doi: 10.1177/104063879500700402.

文献AI研究员

20分钟写一篇综述,助力文献阅读效率提升50倍。

立即体验

用中文搜PubMed

大模型驱动的PubMed中文搜索引擎

马上搜索

文档翻译

学术文献翻译模型,支持多种主流文档格式。

立即体验