Suppr超能文献

纤连蛋白基质调节RHO和CDC42 GTP酶的激活以及细胞周期进程。

Fibronectin matrix regulates activation of RHO and CDC42 GTPases and cell cycle progression.

作者信息

Bourdoulous S, Orend G, MacKenna D A, Pasqualini R, Ruoslahti E

机构信息

Cancer Research Center, The Burnham Institute, La Jolla, California 92037, USA.

出版信息

J Cell Biol. 1998 Oct 5;143(1):267-76. doi: 10.1083/jcb.143.1.267.

Abstract

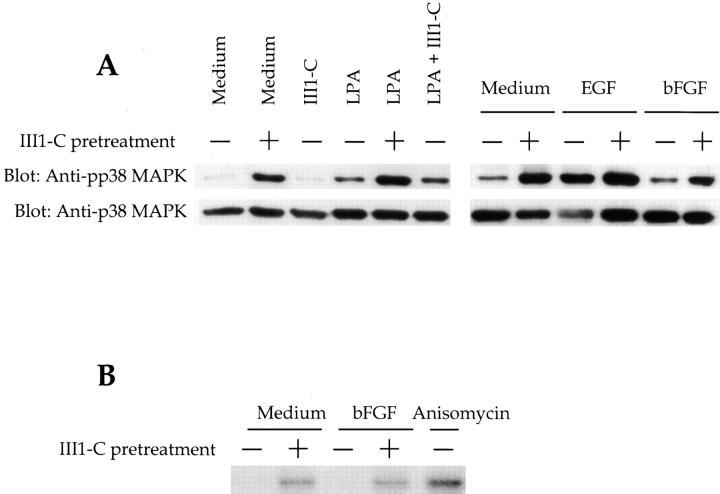
Adherent cells assemble fibronectin into a fibrillar matrix on their apical surface. The fibril formation is initiated by fibronectin binding to the integrins alpha5 beta1 and alphav beta3, and is completed by a process that includes fibronectin self-assembly. We found that a 76- amino acid fragment of fibronectin (III1-C) that forms one of the self-assembly sites caused disassembly of preformed fibronectin matrix without affecting cell adhesion. Treating attached fibroblasts or endothelial cells with III1-C inhibited cell migration and proliferation. Rho-dependent stress fiber formation and Rho-dependent focal contact protein phosphorylation were also inhibited, whereas Cdc42 was activated, leading to actin polymerization into filopodia. ACK (activated Cdc42-binding kinase) and p38 MAPK (mitogen-activated protein kinase), two downstream effectors of Cdc42, were activated, whereas PAK (p21-activated kinase) and JNK/SAPK (c-Jun NH2-terminal kinase/ stress-activated protein kinase) were inhibited. III1-C treatment also modulated activation of JNK and ERK (extracellular signal-regulated kinases) in response to growth factors, and reduced the activity of the cyclin E-cdk2 complex. These results indicate that the absence of fibronectin matrix causes activation of Cdc42, and that fibronectin matrix is required for Rho activation and cell cycle progression.

摘要

贴壁细胞在其顶端表面将纤连蛋白组装成纤维状基质。纤维形成由纤连蛋白与整合素α5β1和αvβ3结合启动,并通过包括纤连蛋白自组装的过程完成。我们发现,形成自组装位点之一的纤连蛋白76个氨基酸片段(III1-C)可导致预先形成的纤连蛋白基质解体,而不影响细胞黏附。用III1-C处理贴壁的成纤维细胞或内皮细胞可抑制细胞迁移和增殖。Rho依赖性应力纤维形成和Rho依赖性粘着斑蛋白磷酸化也受到抑制,而Cdc42被激活,导致肌动蛋白聚合成丝状伪足。ACK(活化的Cdc42结合激酶)和p38 MAPK(丝裂原活化蛋白激酶)这两个Cdc42的下游效应器被激活,而PAK(p21活化激酶)和JNK/SAPK(c-Jun NH2末端激酶/应激激活蛋白激酶)被抑制。III1-C处理还调节了JNK和ERK(细胞外信号调节激酶)对生长因子的反应激活,并降低了细胞周期蛋白E-cdk2复合物的活性。这些结果表明,纤连蛋白基质的缺失会导致Cdc42激活,并且纤连蛋白基质是Rho激活和细胞周期进展所必需的。

https://cdn.ncbi.nlm.nih.gov/pmc/blobs/21a9/2132814/d783cc5ea436/JCB9805050.f1a.jpg

文献检索

告别复杂PubMed语法,用中文像聊天一样搜索,搜遍4000万医学文献。AI智能推荐,让科研检索更轻松。

立即免费搜索

文件翻译

保留排版,准确专业,支持PDF/Word/PPT等文件格式,支持 12+语言互译。

免费翻译文档

深度研究

AI帮你快速写综述,25分钟生成高质量综述,智能提取关键信息,辅助科研写作。

立即免费体验