Suppr超能文献

马蹄肾合并腹主动脉瘤的外科治疗。三例病例报告及技术综述。

Surgical treatment of abdominal aortic aneurysm in association with horseshoe kidney. Three case reports and a review of technique.

作者信息

Canova G, Masini R, Santoro E, Bartolomeo S, Martini C, Becchi G

机构信息

Divisione di Chirurgia Generale, Azienda Ospedaliera Villa Scassi, Ospedale Civile di Genova, Sampierdarena, Genoa, Italy.

出版信息

Tex Heart Inst J. 1998;25(3):206-10.

Abstract

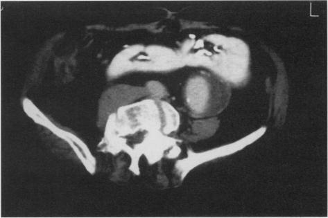
Horseshoe kidney is a rare congenital anomaly that can create various technical problems during surgery for repair of abdominal aortic aneurysm. The diagnosis of this anomaly should be confirmed preoperatively in order to plan surgical strategy. Nowadays, in more than 90% of all cases, ultrasonography, contrast computerized tomography, urography, and angiography are the best instrumental methods of detecting this anomaly in association with abdominal aortic aneurysm. The transperitoneal approach assures the best exposure of the kidney, the ureters, the aneurysm, and both iliac vessels, but the renal isthmus can pose a problem in reimplanting aberrant renal arteries. When it is known preoperatively that renal revascularization should be performed, the left extraperitoneal approach is a better choice. In any event, the coexistence of horseshoe kidney and abdominal aortic aneurysm does not preclude the treatment of the latter. In elective surgery of abdominal aortic aneurysm, the morbidity and mortality rates in the presence of horseshoe kidney are much the same as those in the presence of normal kidneys. The best results in this kind of surgery are obtained by adapting one's surgical technique to each anatomical variant that is encountered.

摘要

马蹄肾是一种罕见的先天性异常,在腹主动脉瘤修复手术过程中可能会引发各种技术问题。术前应确诊这种异常情况,以便制定手术策略。如今,在所有病例中,超过90%的情况下,超声检查、计算机断层扫描造影、尿路造影和血管造影是检测这种与腹主动脉瘤相关异常的最佳影像学方法。经腹途径能确保对肾脏、输尿管、动脉瘤以及双侧髂血管的最佳暴露,但肾峡部在重新植入异常肾动脉时可能会带来问题。如果术前已知需要进行肾血管重建,左腹膜外途径是更好的选择。无论如何,马蹄肾与腹主动脉瘤并存并不妨碍对后者的治疗。在腹主动脉瘤择期手术中,存在马蹄肾时的发病率和死亡率与存在正常肾脏时大致相同。这类手术的最佳效果是通过根据所遇到的每种解剖变异调整手术技术来实现的。

https://cdn.ncbi.nlm.nih.gov/pmc/blobs/804a/325551/2c83c0c6bb62/thij00022-0059-a.jpg

文献AI研究员

20分钟写一篇综述,助力文献阅读效率提升50倍。

立即体验

用中文搜PubMed

大模型驱动的PubMed中文搜索引擎

马上搜索

文档翻译

学术文献翻译模型,支持多种主流文档格式。

立即体验