• 文献检索
  • 文档翻译
  • 深度研究
  • 学术资讯
  • Suppr Zotero 插件Zotero 插件
  • 邀请有礼
  • 套餐&价格
  • 历史记录
应用&插件
Suppr Zotero 插件Zotero 插件浏览器插件Mac 客户端Windows 客户端微信小程序
定价
高级版会员购买积分包购买API积分包
服务
文献检索文档翻译深度研究API 文档MCP 服务
关于我们
关于 Suppr公司介绍联系我们用户协议隐私条款
关注我们

Suppr 超能文献

核心技术专利:CN118964589B侵权必究
粤ICP备2023148730 号-1Suppr @ 2026

文献检索

告别复杂PubMed语法,用中文像聊天一样搜索,搜遍4000万医学文献。AI智能推荐,让科研检索更轻松。

立即免费搜索

文件翻译

保留排版,准确专业,支持PDF/Word/PPT等文件格式,支持 12+语言互译。

免费翻译文档

深度研究

AI帮你快速写综述,25分钟生成高质量综述,智能提取关键信息,辅助科研写作。

立即免费体验

一名绝经后女性的精原细胞瘤,其外周血淋巴细胞存在Y;15易位,皮肤成纤维细胞存在t(Y;15)/45,X特纳嵌合型。

Seminoma in a postmenopausal woman with a Y;15 translocation in peripheral blood lymphocytes and a t(Y;15)/45,X Turner mosaic pattern in skin fibroblasts.

作者信息

Hoshi N, Fujita M, Mikuni M, Fujino T, Okuyama K, Handa Y, Yamada H, Sagawa T, Hareyama H, Nakahori Y, Fujieda K, Kant J A, Nagashima K, Fujimoto S

机构信息

Department of Obstetrics and Gynaecology, Hokkaido University School of Medicine, Sapporo, Japan.

出版信息

J Med Genet. 1998 Oct;35(10):852-6. doi: 10.1136/jmg.35.10.852.

DOI:10.1136/jmg.35.10.852
PMID:9783712
原文链接:https://pmc.ncbi.nlm.nih.gov/articles/PMC1051464/
Abstract

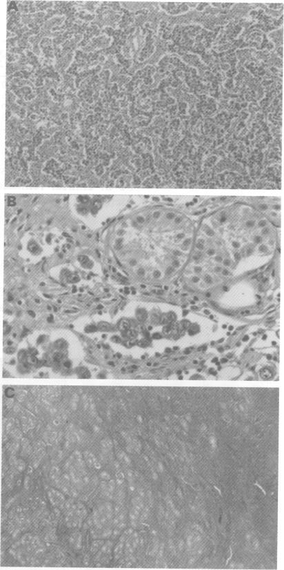
We report an unusual case of a 55 year old Japanese woman with a seminoma but relatively normal menses. The patient was a phenotypic female with late onset menarche (18 years of age), who was amenorrhoeic for the first year, followed by menses of one to three days' slight flow with dysmenorrhoea, but an otherwise normal menstrual history. A typical seminoma was removed from the left adnexal region and an immature testis was identified separately as an associated right adnexal mass. Repeated karyotypic studies on peripheral blood lymphocyte cultures showed only 46,X,-Y,t(Y;15)(q12;p13). Cytogenetic examination of the patient's younger brother, who had fathered three healthy children, showed an identical karyotype. Mosaicism of 46,X,-Y,t(Y;15)(q12;p13)/45,X cell lines was found in skin samples from the patient's elbow and genital regions, although there were no clinical stigmata of Turner syndrome. An androgen receptor binding assay of cultured genital skin fibroblasts was negative. Molecular analysis using Southern blot hybridisation, PCR, and direct DNA sequencing showed that neither the patient nor her brother had a detectable deletion or other abnormalities of Y chromosome sequences, including the SRY (sex determining region of the Y chromosome) gene sequence. These findings suggest that Turner mosaicism of the 45,X cell line may have contributed to this atypical presentation in an XY female, although we cannot exclude abnormalities of other genes related to sex differentiation.

摘要

我们报告了一例不同寻常的病例,一名55岁的日本女性患有精原细胞瘤,但月经相对正常。患者为表型女性,初潮较晚(18岁),第一年闭经,随后月经持续一至三天,经量少且伴有痛经,但月经史其他方面正常。从左侧附件区切除了一个典型的精原细胞瘤,同时在右侧附件区发现一个单独的未成熟睾丸作为相关肿块。对患者外周血淋巴细胞培养进行的反复核型研究仅显示46,X,-Y,t(Y;15)(q12;p13)。对患者已育有三个健康孩子的弟弟进行的细胞遗传学检查显示了相同的核型。在患者肘部和生殖器区域的皮肤样本中发现了46,X,-Y,t(Y;15)(q12;p13)/45,X细胞系的嵌合体,尽管没有特纳综合征的临床体征。对培养的生殖器皮肤成纤维细胞进行的雄激素受体结合试验为阴性。使用Southern印迹杂交、PCR和直接DNA测序进行的分子分析表明,患者及其弟弟均未检测到Y染色体序列的缺失或其他异常,包括SRY(Y染色体性别决定区)基因序列。这些发现表明,45,X细胞系的特纳嵌合体可能导致了这名XY女性的这种非典型表现,尽管我们不能排除与性别分化相关的其他基因异常。

https://cdn.ncbi.nlm.nih.gov/pmc/blobs/9756/1051464/b902262a1103/jmedgene00239-0062-a.jpg
https://cdn.ncbi.nlm.nih.gov/pmc/blobs/9756/1051464/c90378485de1/jmedgene00239-0061-a.jpg
https://cdn.ncbi.nlm.nih.gov/pmc/blobs/9756/1051464/1046f3365528/jmedgene00239-0061-b.jpg
https://cdn.ncbi.nlm.nih.gov/pmc/blobs/9756/1051464/b902262a1103/jmedgene00239-0062-a.jpg
https://cdn.ncbi.nlm.nih.gov/pmc/blobs/9756/1051464/c90378485de1/jmedgene00239-0061-a.jpg
https://cdn.ncbi.nlm.nih.gov/pmc/blobs/9756/1051464/1046f3365528/jmedgene00239-0061-b.jpg
https://cdn.ncbi.nlm.nih.gov/pmc/blobs/9756/1051464/b902262a1103/jmedgene00239-0062-a.jpg

相似文献

1
Seminoma in a postmenopausal woman with a Y;15 translocation in peripheral blood lymphocytes and a t(Y;15)/45,X Turner mosaic pattern in skin fibroblasts.一名绝经后女性的精原细胞瘤,其外周血淋巴细胞存在Y;15易位,皮肤成纤维细胞存在t(Y;15)/45,X特纳嵌合型。
J Med Genet. 1998 Oct;35(10):852-6. doi: 10.1136/jmg.35.10.852.
2
[45,X/46, XYnf/47, XYnfYnf/46, X, dic (Ynf) (q12) mosaicism in a female patient with gonadal dysgenesis and the stigmata of Turner's syndrome].[一名患有性腺发育不全及特纳综合征体征的女性患者存在[45,X/46, XYnf/47, XYnfYnf/46, X, dic (Ynf) (q12)]嵌合体]
Rev Clin Esp. 1991 Jun;189(1):23-5.
3
A Turner-like phenotype in a girl with an isodicentric fluorescent Y chromosome mosaicism.一名患有等臂荧光Y染色体嵌合体的女孩出现特纳样表型。
Klin Padiatr. 1997 May-Jun;209(3):133-6. doi: 10.1055/s-2008-1043943.
4
Discordant phenotypes and 45,X/46,X,idic(Y).不一致的表型和45,X/46,X,idic(Y)。
J Med Genet. 1998 Oct;35(10):862-4. doi: 10.1136/jmg.35.10.862.
5
Detection of Y chromosome sequences in Turner's syndrome by Southern blot analysis of amplified DNA.通过对扩增DNA进行Southern印迹分析检测特纳综合征中的Y染色体序列。
Lancet. 1993 Jul 17;342(8864):140-3. doi: 10.1016/0140-6736(93)91345-m.
6
Detection of Y chromosome sequences in a 45,X/46,XXq--patient by Southern blot analysis of PCR-amplified DNA and fluorescent in situ hybridization (FISH).通过对聚合酶链反应(PCR)扩增的DNA进行Southern印迹分析以及荧光原位杂交(FISH),在一名45,X/46,XXq-患者中检测Y染色体序列 。
Am J Med Genet. 1995 Feb 13;55(4):483-8. doi: 10.1002/ajmg.1320550418.
7
Analysis of sex chromosome aneuploidy in 41 patients with Turner syndrome: a study of 'hidden' mosaicism.41例特纳综合征患者性染色体非整倍体分析:“隐匿”嵌合体研究
Clin Genet. 2000 Sep;58(3):201-8. doi: 10.1034/j.1399-0004.2000.580307.x.
8
Familial Turner syndrome with an X;Y translocation mosaicism: implications for genetic counseling.伴有X;Y易位嵌合体的家族性特纳综合征:对遗传咨询的意义
Eur J Med Genet. 2012 Nov;55(11):635-40. doi: 10.1016/j.ejmg.2012.07.001. Epub 2012 Jul 15.
9
PCR detection of Y-specific sequences in patients with Ullrich-Turner syndrome: clinical implications and limitations.乌尔里希-特纳综合征患者Y特异性序列的PCR检测:临床意义及局限性
Am J Med Genet. 1998 Apr 1;76(4):283-7.
10
Paternal somatic and germ-line mosaicism for a sex-determining region on Y (SRY) missense mutation leading to recurrent 46,XY sex reversal.Y染色体性别决定区(SRY)错义突变导致反复出现的46,XY性反转的父系体细胞和生殖系嵌合现象。
Fertil Steril. 1997 Apr;67(4):675-9. doi: 10.1016/s0015-0282(97)81365-9.

引用本文的文献

1
Prenatal diagnosis of the maternal derivative chromosome der(15)t(Y;15)(q12;p13) in a dizygotic twin pregnancy.双胎妊娠中母体衍生染色体der(15)t(Y;15)(q12;p13)的产前诊断
Tzu Chi Med J. 2016 Oct-Dec;28(4):176-179. doi: 10.1016/j.tcmj.2016.06.002. Epub 2016 Jul 2.

本文引用的文献

1
A case of human intersexuality having a possible XXY sex-determining mechanism.一例可能具有XXY性别决定机制的人类两性畸形病例。
Nature. 1959 Jan 31;183(4657):302-3. doi: 10.1038/183302a0.
2
Intra-articular prednisolone 21: phosphate; a clinical trial.关节腔内注射磷酸泼尼松龙21:一项临床试验
Lancet. 1959 Jan 10;1(7063):71-2. doi: 10.1016/s0140-6736(59)91138-9.
3
Meiotic origin of trisomy in confined placental mosaicism is correlated with presence of fetal uniparental disomy, high levels of trisomy in trophoblast, and increased risk of fetal intrauterine growth restriction.
局限性胎盘嵌合体中三体的减数分裂起源与胎儿单亲二体的存在、滋养层中高水平的三体以及胎儿宫内生长受限风险增加相关。
Am J Hum Genet. 1997 Apr;60(4):917-27.
4
Analysis of the SRY gene in 22 sex-reversed XY females identifies four new point mutations in the conserved DNA binding domain.对22名性反转XY女性的SRY基因分析发现,在保守的DNA结合域中有四个新的点突变。
Hum Mol Genet. 1993 Jun;2(6):785-9. doi: 10.1093/hmg/2.6.785.
5
Mullerian inhibiting substance: a gonadal hormone with multiple functions.苗勒管抑制物质:一种具有多种功能的性腺激素。
Endocr Rev. 1993 Apr;14(2):152-64. doi: 10.1210/edrv-14-2-152.
6
Genetics of XY sex reversal.
J Endocrinol. 1995 Nov;147(2):183-7. doi: 10.1677/joe.0.1470183.
7
The distribution of chromosomal genotypes associated with Turner's syndrome: livebirth prevalence rates and evidence for diminished fetal mortality and severity in genotypes associated with structural X abnormalities or mosaicism.与特纳综合征相关的染色体基因型分布:活产患病率以及与结构性X异常或嵌合体相关的基因型中胎儿死亡率降低和严重程度减轻的证据。
Hum Genet. 1983;64(1):24-7. doi: 10.1007/BF00289473.
8
Presence of brightly fluorescent material in testes of XX males.XX男性睾丸中存在明亮荧光物质。
J Med Genet. 1973 Jun;10(2):170-4. doi: 10.1136/jmg.10.2.170.
9
The sex-determining region of the human Y chromosome encodes a finger protein.人类Y染色体的性别决定区域编码一种指蛋白。
Cell. 1987 Dec 24;51(6):1091-104. doi: 10.1016/0092-8674(87)90595-2.
10
A deletion map of the human Y chromosome based on DNA hybridization.基于DNA杂交的人类Y染色体缺失图谱。
Am J Hum Genet. 1986 Feb;38(2):109-24.