Lieberman M W, Lykissa E D, Barrios R, Ou C N, Kala G, Kala S V
Department of Pathology, Baylor College of Medicine, Houston, TX 77030 USA.
Environ Health Perspect. 1999 Feb;107(2):161-5. doi: 10.1289/ehp.99107161.
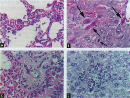
To examine the toxicity of cyclosiloxanes (CSs), the predominant low molecular weight cyclic silicones found in breast implants, we injected female CD-1 mice intraperitoneally with different doses of distillate (3.5-35 g/kg body weight) containing cyclosiloxane D3 (hexamethylcyclotrisiloxane; CS-D3), cyclosiloxane D4 (octamethylcyclotetrasiloxane; CS-D4), cyclosiloxane D5 (decamethylcyclopentasiloxane; CS-D5), and cyclosiloxane D6 (dodecamethylcyclohexasiloxane; CS-D6). The distillate was found to be lethal and all the mice injected with 35 g/kg died within 5-8 days. The median lethal dose (LD50) for distillate was estimated to be approximately 28 g/kg. These mice developed inflammatory lesions of the lung and liver as well as liver cell necrosis with elevated serum levels of alanine aminotransferase, aspartate aminotransferase, and lactic acid dehydrogenase. Administration of CS-D4 alone also produced lethality in these mice with an LD50 of 6-7 g/kg. CS-D4-treated mice also exhibited pulmonary and hepatic lesions and elevated serum enzymes. Analysis of LD50 data indicates that CS-D4 is about as toxic as carbon tetrachloride or trichloroethylene. We measured hydroxyl radical formation in CS-D4-treated mice and found increases of approximately 20-fold in liver and approximately 7-fold in lung on day 4 following injection. Our findings are significant because in vitro experiments have demonstrated that CSs can migrate out of breast implants, and in mouse experiments CSs have been shown to be widely distributed in many organs after a single subcutaneous injection and to persist for at least a year.
为检测环硅氧烷(CSs)的毒性,环硅氧烷是在隆胸植入物中发现的主要低分子量环状硅氧烷,我们给雌性CD-1小鼠腹腔注射不同剂量的含有环硅氧烷D3(六甲基环三硅氧烷;CS-D3)、环硅氧烷D4(八甲基环四硅氧烷;CS-D4)、环硅氧烷D5(十甲基环五硅氧烷;CS-D5)和环硅氧烷D6(十二甲基环六硅氧烷;CS-D6)的馏出物(3.5 - 35克/千克体重)。结果发现该馏出物具有致死性,所有注射35克/千克的小鼠在5 - 8天内死亡。馏出物的半数致死剂量(LD50)估计约为28克/千克。这些小鼠出现了肺部和肝脏的炎性病变以及肝细胞坏死,同时血清丙氨酸转氨酶、天冬氨酸转氨酶和乳酸脱氢酶水平升高。单独给予CS-D4也导致这些小鼠死亡,LD50为6 - 7克/千克。接受CS-D4治疗的小鼠也表现出肺部和肝脏病变以及血清酶升高。对LD50数据的分析表明,CS-D4的毒性与四氯化碳或三氯乙烯相当。我们检测了接受CS-D4治疗的小鼠体内羟基自由基的形成情况,发现在注射后第4天,肝脏中的羟基自由基形成增加了约20倍,肺部增加了约7倍。我们的研究结果具有重要意义,因为体外实验已证明CSs可从隆胸植入物中迁移出来,并且在小鼠实验中,单次皮下注射后CSs已被证明可广泛分布于许多器官并持续至少一年。