Suppr超能文献

火鸡(吐绶鸡)附睾区域和输精管的形态学

Morphology of the epididymal region and ductus deferens of the turkey (Meleagris gallopavo).

作者信息

Hess R A, Thurston R J, Biellier H V

出版信息

J Anat. 1976 Nov;122(Pt 2):241-52.

Abstract

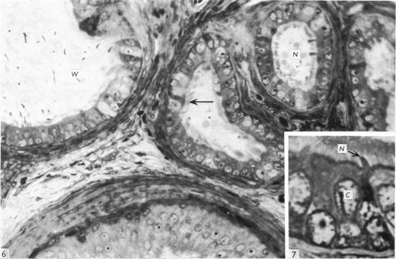
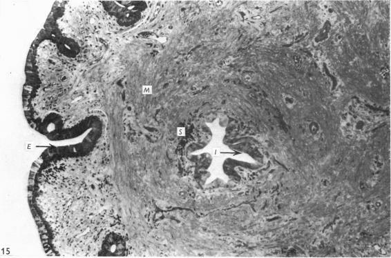
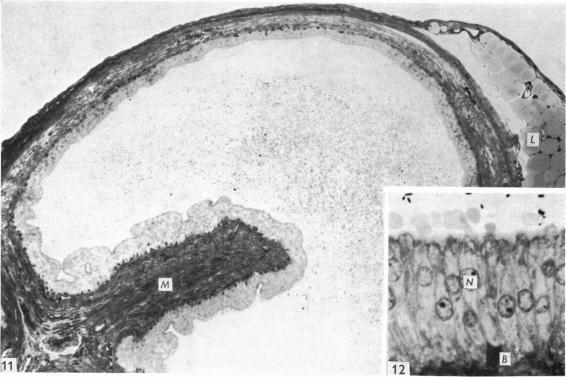
The ductal system of the reproductive tract of the male domestic turkey was studied by gross dissection and light microscopy of paraffin and Epon embedded tissues. The succession of ductules as one passes caudally from the testis was as follows: seminiferous tubules; rete testis; ductuli efferentes; connecting ductules; ductus epididymidis; ductus deferens; receptaculum ductus deferentis; papilla ductus deferentis. Non-ciliated cells of the male tract consisted of squamous and low cuboidal cells of the rete testis, granulated columnar cells lining the ductuli efferentes and connective ductules; agranulated columnar cells which formed the epithelium of the ductus epididymidis, ductus deferens, receptaculum and papilla ductus deferentis; and basal cells which were found in increasing number from the ductuli efferentes to the papilla. The basal cells had a reduced amount of cytoplasm and stained more intensely than the other cell types. Ciliated cells were apparent in the ductuli efferentes and connecting ductules, and these consistently stained lighter than the non-ciliated cells. Non-ciliated columnar cells of the ductuli efferentes and connecting ductules contained chromatophilic granules. Cytoplasmic blebbing into the ductal lumina was found associated with these non-ciliated cells as well as the agranular cells of the ductus epididymidis and deferens. Evidence obtained from this study suggests that the non-ciliated cells of the ductuli efferentes, ductus epididymidis and ductus deferens have a contribution to make to the seminal plasma by apocrine secretion.

摘要

通过大体解剖以及对石蜡包埋和环氧树脂包埋组织的光学显微镜观察,对雄性家火鸡生殖道的导管系统进行了研究。从睾丸向尾侧依次经过的小导管顺序如下:生精小管;睾丸网;输出小管;连接小管;附睾管;输精管;输精管壶腹;输精管乳头。雄性生殖道的非纤毛细胞包括睾丸网的鳞状和低立方体细胞、输出小管和连接小管内衬的颗粒状柱状细胞;形成附睾管、输精管、输精管壶腹和输精管乳头上皮的无颗粒柱状细胞;以及从输出小管到输精管乳头数量逐渐增多的基底细胞。基底细胞的细胞质含量减少,染色比其他细胞类型更深。纤毛细胞在输出小管和连接小管中可见,其染色始终比非纤毛细胞浅。输出小管和连接小管的非纤毛柱状细胞含有嗜色颗粒。在这些非纤毛细胞以及附睾管和输精管的无颗粒细胞中发现有细胞质泡突入管腔。本研究获得的证据表明,输出小管、附睾管和输精管的非纤毛细胞通过顶浆分泌对精浆有贡献。

https://cdn.ncbi.nlm.nih.gov/pmc/blobs/6321/1231898/3fe43fcfaa56/janat00369-0033-a.jpg

相似文献

10
Proximal testicular ducts of the Mediterranean gecko (Hemidactylus turcicus).
Anat Rec (Hoboken). 2010 Dec;293(12):2176-92. doi: 10.1002/ar.21282.

引用本文的文献

1
Does the Type of Semen Affect the Phosphoproteome of Turkey () Spermatozoa?
Int J Mol Sci. 2025 Apr 8;26(8):3467. doi: 10.3390/ijms26083467.
7
Localization of S-100 proteins in the testis and epididymis of poultry and rabbits.
Anat Cell Biol. 2014 Sep;47(3):180-7. doi: 10.5115/acb.2014.47.3.180. Epub 2014 Sep 23.
8
Ductuli efferentes of the male Golden Syrian hamster reproductive tract.
Andrology. 2014 Jul;2(4):510-20. doi: 10.1111/j.2047-2927.2014.00194.x. Epub 2014 Mar 28.
10
The epididymis and its development in ratite birds (ostrich, emu, rhea).
Anat Embryol (Berl). 1981;162(3):281-99. doi: 10.1007/BF00299973.

文献AI研究员

20分钟写一篇综述,助力文献阅读效率提升50倍。

立即体验

用中文搜PubMed

大模型驱动的PubMed中文搜索引擎

马上搜索

文档翻译

学术文献翻译模型,支持多种主流文档格式。

立即体验