• 文献检索
  • 文档翻译
  • 深度研究
  • 学术资讯
  • Suppr Zotero 插件Zotero 插件
  • 邀请有礼
  • 套餐&价格
  • 历史记录
应用&插件
Suppr Zotero 插件Zotero 插件浏览器插件Mac 客户端Windows 客户端微信小程序
定价
高级版会员购买积分包购买API积分包
服务
文献检索文档翻译深度研究API 文档MCP 服务
关于我们
关于 Suppr公司介绍联系我们用户协议隐私条款
关注我们

Suppr 超能文献

核心技术专利:CN118964589B侵权必究
粤ICP备2023148730 号-1Suppr @ 2026

文献检索

告别复杂PubMed语法,用中文像聊天一样搜索,搜遍4000万医学文献。AI智能推荐,让科研检索更轻松。

立即免费搜索

文件翻译

保留排版,准确专业,支持PDF/Word/PPT等文件格式,支持 12+语言互译。

免费翻译文档

深度研究

AI帮你快速写综述,25分钟生成高质量综述,智能提取关键信息,辅助科研写作。

立即免费体验

关于草原毛丝鼠(Lagostomus maximus)腺垂体超微结构的一些观察。

Some observations on the ultrastructure of the adenohypophysis of the Plains viscacha (Lagostomus maximus).

作者信息

Young B A

出版信息

J Anat. 1976 Dec;122(Pt 3):641-51.

PMID:1010793
原文链接:https://pmc.ncbi.nlm.nih.gov/articles/PMC1231859/
Abstract

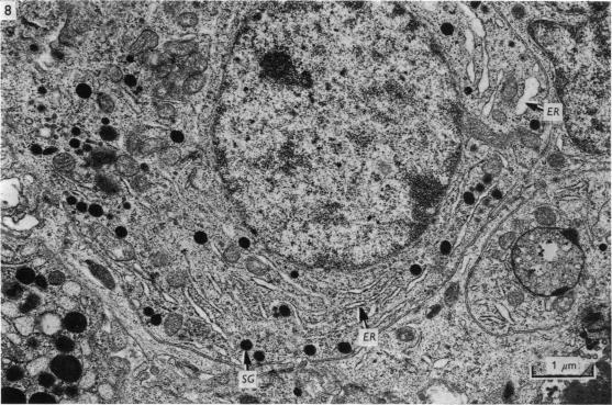
The ultrastructural appearance of the pars distalis of the Plains viscacha is described. Of particular interest are the prolactin cells and stellate cells and the intercellular cysts or channels which may be part of a transport system for hormones.

摘要

描述了平原毛丝鼠远侧部的超微结构。特别值得关注的是催乳素细胞、星状细胞以及细胞间囊肿或通道,它们可能是激素运输系统的一部分。

https://cdn.ncbi.nlm.nih.gov/pmc/blobs/31bd/1231859/d6c616825eab/janat00370-0161-a.jpg
https://cdn.ncbi.nlm.nih.gov/pmc/blobs/31bd/1231859/b3026d96313c/janat00370-0156-a.jpg
https://cdn.ncbi.nlm.nih.gov/pmc/blobs/31bd/1231859/bf5bf388aea0/janat00370-0156-b.jpg
https://cdn.ncbi.nlm.nih.gov/pmc/blobs/31bd/1231859/a7a948ebc764/janat00370-0157-a.jpg
https://cdn.ncbi.nlm.nih.gov/pmc/blobs/31bd/1231859/c67ec9ebc2d6/janat00370-0157-b.jpg
https://cdn.ncbi.nlm.nih.gov/pmc/blobs/31bd/1231859/97dfa50c19f1/janat00370-0158-a.jpg
https://cdn.ncbi.nlm.nih.gov/pmc/blobs/31bd/1231859/7cf44de63470/janat00370-0158-b.jpg
https://cdn.ncbi.nlm.nih.gov/pmc/blobs/31bd/1231859/d673719da6c1/janat00370-0159-a.jpg
https://cdn.ncbi.nlm.nih.gov/pmc/blobs/31bd/1231859/1ccffb32b028/janat00370-0159-b.jpg
https://cdn.ncbi.nlm.nih.gov/pmc/blobs/31bd/1231859/c2b5a5918ac6/janat00370-0160-a.jpg
https://cdn.ncbi.nlm.nih.gov/pmc/blobs/31bd/1231859/b1e3f282ad5d/janat00370-0160-b.jpg
https://cdn.ncbi.nlm.nih.gov/pmc/blobs/31bd/1231859/d6c616825eab/janat00370-0161-a.jpg
https://cdn.ncbi.nlm.nih.gov/pmc/blobs/31bd/1231859/b3026d96313c/janat00370-0156-a.jpg
https://cdn.ncbi.nlm.nih.gov/pmc/blobs/31bd/1231859/bf5bf388aea0/janat00370-0156-b.jpg
https://cdn.ncbi.nlm.nih.gov/pmc/blobs/31bd/1231859/a7a948ebc764/janat00370-0157-a.jpg
https://cdn.ncbi.nlm.nih.gov/pmc/blobs/31bd/1231859/c67ec9ebc2d6/janat00370-0157-b.jpg
https://cdn.ncbi.nlm.nih.gov/pmc/blobs/31bd/1231859/97dfa50c19f1/janat00370-0158-a.jpg
https://cdn.ncbi.nlm.nih.gov/pmc/blobs/31bd/1231859/7cf44de63470/janat00370-0158-b.jpg
https://cdn.ncbi.nlm.nih.gov/pmc/blobs/31bd/1231859/d673719da6c1/janat00370-0159-a.jpg
https://cdn.ncbi.nlm.nih.gov/pmc/blobs/31bd/1231859/1ccffb32b028/janat00370-0159-b.jpg
https://cdn.ncbi.nlm.nih.gov/pmc/blobs/31bd/1231859/c2b5a5918ac6/janat00370-0160-a.jpg
https://cdn.ncbi.nlm.nih.gov/pmc/blobs/31bd/1231859/b1e3f282ad5d/janat00370-0160-b.jpg
https://cdn.ncbi.nlm.nih.gov/pmc/blobs/31bd/1231859/d6c616825eab/janat00370-0161-a.jpg

相似文献

1
Some observations on the ultrastructure of the adenohypophysis of the Plains viscacha (Lagostomus maximus).关于草原毛丝鼠(Lagostomus maximus)腺垂体超微结构的一些观察。
J Anat. 1976 Dec;122(Pt 3):641-51.
2
Immunohistochemical study of somatotrophs in pituitary pars distalis of male viscacha (Lagostomus maximus maximus) in relation to the gonadal activity.雄性草原豚鼠(Lagostomus maximus maximus)远侧部垂体生长激素细胞与性腺活动关系的免疫组织化学研究
Cells Tissues Organs. 2006;184(3-4):188-97. doi: 10.1159/000099626.
3
Ultrastructural and immunocytochemical studies of the viscacha (Lagostomus maximus maximus) pituitary pars tuberalis.
Anat Rec A Discov Mol Cell Evol Biol. 2005 May;284(1):431-8. doi: 10.1002/ar.a.20163.
4
ACTH cells of pituitary pars distalis of viscacha (Lagostomus maximus maximus): immunohistochemical study in relation to season, sex, and growth.毛丝鼠(Lagostomus maximus maximus)远侧部垂体促肾上腺皮质激素细胞:与季节、性别和生长相关的免疫组织化学研究
Gen Comp Endocrinol. 2006 May 1;146(3):217-25. doi: 10.1016/j.ygcen.2005.11.012. Epub 2006 Feb 8.
5
Effect of the photoperiod and administration of melatonin on folliculostellate cells of the pituitary pars distalis of adult male viscacha (Lagostomus maximus maximus).光照周期和褪黑素给药对成年雄性滑毛兔(Lagostomus maximus maximus)脑下垂体远侧部滤泡星状细胞的影响。
Acta Histochem. 2011 Oct;113(6):640-6. doi: 10.1016/j.acthis.2010.08.003. Epub 2010 Sep 15.
6
Cell types of the pars distalis of the hedgehog (Erinaceus europaeus L.) adenohypophysis: cytological, immunocytochemical and ultrastructural studies. 2. Prolactin cells.刺猬( Erinaceus europaeus L.)腺垂体远侧部的细胞类型:细胞学、免疫细胞化学和超微结构研究。2. 催乳素细胞。
Acta Anat (Basel). 1983;117(2):102-11.
7
Light and electron microscopic investigations on stellate cells in pars distalis of the adenohypophysis of ducks and geese.鸭和鹅腺垂体远侧部星状细胞的光镜和电镜研究
Z Mikrosk Anat Forsch. 1981;95(5):855-64.
8
Immunohistochemical and morphometric study of pituitary pars distalis thyrotrophs of male viscacha (Lagostomus maximus maximus): seasonal variations and effect of melatonin and castration.雄性草原豚鼠(Lagostomus maximus maximus)垂体远侧部促甲状腺激素细胞的免疫组织化学和形态计量学研究:季节性变化以及褪黑素和去势的影响
Anat Rec (Hoboken). 2008 Apr;291(4):400-9. doi: 10.1002/ar.20671.
9
Some observations on the ultrastructure of the stellate cells of the pars distalis of the guinea-pig.豚鼠远侧部星状细胞超微结构的一些观察
J Anat. 1977 Sep;124(Pt 1):153-6.
10
Chromophobic cells and their role in extracellular transport of hormones in the bovine adenohypophysis (pars distalis).嫌色细胞及其在牛腺垂体(远侧部)激素细胞外转运中的作用。
Gegenbaurs Morphol Jahrb. 1990;136(5):603-9.

引用本文的文献

1
The differentiation of follicular-like cells from the epithelium of Rathke's pouch grown in vitro.体外培养的拉特克囊上皮细胞向滤泡样细胞的分化。
Anat Embryol (Berl). 1980;160(3):275-84. doi: 10.1007/BF00305108.
2
Ultrastructure of the nongranulated cells and morphology of the extracellular spaces in the pars distalis of adult and pouch-young tammar wallabies (Macropus eugenii).成年和育儿袋幼龄短尾矮袋鼠(赤褐袋鼠)远侧部非颗粒细胞的超微结构及细胞外间隙形态
Cell Tissue Res. 1982;227(2):439-50. doi: 10.1007/BF00210898.
3
Granulated folliculo-stellate cells and growth hormone cells immunostained with anti-S 100 protein serum in the pituitary glands of the goat.

本文引用的文献

1
SOME OBSERVATIONS ON THE ULTRASTRUCTURE OF THE ADENOHYPOPHYSIS OF THE RABBIT.关于兔腺垂体超微结构的一些观察
J Endocrinol. 1965 Feb;31:279-87. doi: 10.1677/joe.0.0310279.
2
ELABORATION OF THYROGLOBULIN IN THE THYROID FOLLICLE.甲状腺滤泡中甲状腺球蛋白的合成
Endocrinology. 1964 Mar;74:333-54. doi: 10.1210/endo-74-3-333.
3
[MORPHOLOGICAL AND EXPERIMENTAL RESEARCH ON PROLACTIN SECRETION].[催乳素分泌的形态学与实验研究]
用抗S-100蛋白血清对山羊垂体中的颗粒状滤泡星状细胞和生长激素细胞进行免疫染色。
Cell Tissue Res. 1984;237(1):7-14. doi: 10.1007/BF00229194.
4
Some observations on the ultrastructure of the stellate cells of the pars distalis of the guinea-pig.豚鼠远侧部星状细胞超微结构的一些观察
J Anat. 1977 Sep;124(Pt 1):153-6.
5
Structure of the Adenohypophysis in parturient female and neonate harp seals, Pagophilus groenlandicus.产仔雌海豹和新生格陵兰海豹(Pagophilus groenlandicus)腺垂体的结构
Cell Tissue Res. 1978 Sep 5;192(2):341-57. doi: 10.1007/BF00220751.
Arch Biol (Liege). 1963;74:439-553.
4
Electron microscope studies on the secretory cytology of the mouse anterior pituitary.小鼠垂体前叶分泌细胞学的电子显微镜研究
Endocrinology. 1962 Oct;71:618-28. doi: 10.1210/endo-71-4-618.
5
Origin and fate of secretory granules in cells of the anterior pituitary gland.垂体前叶细胞中分泌颗粒的起源与命运
Trans N Y Acad Sci. 1961 Feb;23:346-51. doi: 10.1111/j.2164-0947.1961.tb01361.x.
6
Electron microscopic studies of the anterior pituitary gland of castrate rats.去势大鼠垂体前叶的电子显微镜研究。
Endocrinology. 1954 May;54(5):516-41. doi: 10.1210/endo-54-5-516.
7
Ultrastructural changes in the adenohypophysis of pregnant and lactating rabbits.
J Endocrinol. 1967 Nov;39(3):437-43. doi: 10.1677/joe.0.0390437.
8
Electron microscopic study of somatotropic and lactotropic pituitary cells of the Syrian hamster.
Anat Rec. 1968 Oct;162(2):123-36. doi: 10.1002/ar.1091620201.
9
The reproductive organs of the female plains viscacha, Lagostomus maximus.雌性草原毛丝鼠(Lagostomus maximus)的生殖器官。
J Reprod Fertil. 1971 Jun;25(3):365-73. doi: 10.1530/jrf.0.0250365.
10
The reproductive physiology of the plains viscacha, Lagostomus maximus.草原毛丝鼠(Lagostomus maximus)的生殖生理学
J Reprod Fertil. 1971 Jun;25(3):355-63. doi: 10.1530/jrf.0.0250355.