Suppr超能文献

豚鼠远侧部星状细胞超微结构的一些观察

Some observations on the ultrastructure of the stellate cells of the pars distalis of the guinea-pig.

作者信息

Young B A

出版信息

J Anat. 1977 Sep;124(Pt 1):153-6.

Abstract

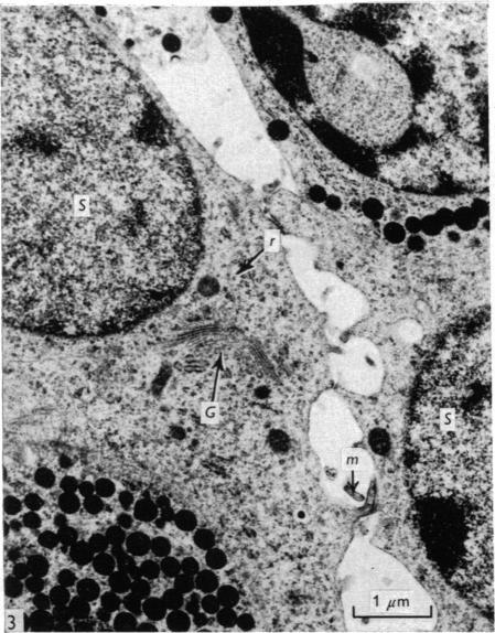
The ultrastructural appearance of the stellate cells of the guinea-pig adenohypophysis is described, and their functional significance discussed.

摘要

描述了豚鼠腺垂体星状细胞的超微结构,并讨论了它们的功能意义。

https://cdn.ncbi.nlm.nih.gov/pmc/blobs/70b0/1235519/3eb8db4c833e/janat00362-0165-a.jpg

文献AI研究员

20分钟写一篇综述,助力文献阅读效率提升50倍。

立即体验

用中文搜PubMed

大模型驱动的PubMed中文搜索引擎

马上搜索

文档翻译

学术文献翻译模型,支持多种主流文档格式。

立即体验