Suppr超能文献

内皮细胞可改变迁移白细胞的共刺激能力,并促进CD28介导的CD4(+) T细胞同种异体激活。

Endothelial cells modify the costimulatory capacity of transmigrating leukocytes and promote CD28-mediated CD4(+) T cell alloactivation.

作者信息

Denton M D, Geehan C S, Alexander S I, Sayegh M H, Briscoe D M

机构信息

Division of Nephrology, Department of Medicine, Children's Hospital, Boston, MA 02115, USA.

出版信息

J Exp Med. 1999 Aug 16;190(4):555-66. doi: 10.1084/jem.190.4.555.

Abstract

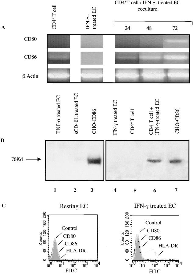
Activated vascular endothelial cells (ECs) express major histocompatibility complex (MHC) class II molecules in vitro and in vivo in acute and chronic allograft rejection. However, human ECs may be limited in their ability to effectively activate CD4(+) T cells, because they do not express members of the B7 family (CD80 and CD86) of costimulatory molecules. In this study, we show that ECs promote the full activation of CD4(+) T cells via trans-costimulatory interactions. By reverse transcriptase polymerase chain reaction, Western blot, and FACS((R)) analysis, we could not detect the expression of CD80 and CD86 on activated ECs and found minimal expression on purified CD4(+) T cells. In contrast, both CD80 and CD86 were expressed in allogeneic CD4(+) T cell-EC cocultures. Expression of CD86 peaked at early times between 12 and 24 h after coculture, whereas CD80 was not expressed until 72 h. Addition of anti-CD86 but not anti-CD80 monoclonal antibodies to cocultures inhibited IL-2 production and the proliferation of CD4(+) T cells to allogeneic donor human umbilical vein ECs (HUVECs), as well as to skin and lung microvascular ECs. Furthermore, we found that interferon gamma-activated ECs but not untreated ECs induced mRNA and cell surface expression of CD80 and CD86 on CD4(+) T cells, and these T cells were functional to provide a trans-costimulatory signal to autologous CD4(+) T cells. Blockade of MHC class II and lymphocyte function-associated antigen 3 but not other EC cell surface molecules on IFN-gamma-activated ECs inhibited the induction of CD86 on CD4(+) T cells. Transmigration of purified populations of monocytes across EC monolayers similarly resulted in the induction of functional CD86, but also induced the de novo expression of the cytokines interleukin (IL)-1alpha and IL-12. In addition, EC-modified monocytes supported enhanced proliferation of allogeneic and autologous CD4(+) T cells. Taken together, these data define the ability of the endothelium to modify CD4(+) T cells and monocytes for trans-costimulatory events. This unique function of the endothelium in alloimmune T cell activation has functional consequences for the direct and the indirect pathways of allorecognition.

摘要

在急性和慢性同种异体移植排斥反应中,活化的血管内皮细胞(ECs)在体内外均表达主要组织相容性复合体(MHC)II类分子。然而,人类ECs有效激活CD4(+) T细胞的能力可能有限,因为它们不表达共刺激分子B7家族(CD80和CD86)的成员。在本研究中,我们表明ECs通过反式共刺激相互作用促进CD4(+) T细胞的完全激活。通过逆转录聚合酶链反应、蛋白质印迹和流式细胞术分析,我们在活化的ECs上未检测到CD80和CD86的表达,在纯化的CD4(+) T细胞上发现其表达极少。相反,在同种异体CD4(+) T细胞-EC共培养物中,CD80和CD86均有表达。共培养后12至24小时之间,CD86的表达在早期达到峰值,而CD80直到72小时才表达。向共培养物中添加抗CD86单克隆抗体而非抗CD80单克隆抗体,可抑制IL-2的产生以及CD4(+) T细胞对同种异体供体人脐静脉内皮细胞(HUVECs)、皮肤和肺微血管内皮细胞的增殖。此外,我们发现干扰素γ活化的ECs而非未处理的ECs可诱导CD4(+) T细胞上CD80和CD86的mRNA和细胞表面表达,并且这些T细胞能够为自体CD4(+) T细胞提供反式共刺激信号。阻断MHC II类分子和淋巴细胞功能相关抗原3,但不阻断干扰素γ活化的ECs上的其他EC细胞表面分子,可抑制CD4(+) T细胞上CD86的诱导。纯化的单核细胞群体穿过EC单层的迁移同样导致功能性CD86的诱导,同时还诱导细胞因子白细胞介素(IL)-1α和IL-12的从头表达。此外,经EC修饰的单核细胞支持同种异体和自体CD4(+) T细胞的增强增殖。综上所述,这些数据确定了内皮细胞修饰CD4(+) T细胞和单核细胞以进行反式共刺激事件的能力。内皮细胞在同种异体免疫T细胞激活中的这种独特功能对同种异体识别的直接和间接途径具有功能影响。

https://cdn.ncbi.nlm.nih.gov/pmc/blobs/2be2/2195607/06f148fe0039/JEM981967.f1.jpg

文献检索

告别复杂PubMed语法,用中文像聊天一样搜索,搜遍4000万医学文献。AI智能推荐,让科研检索更轻松。

立即免费搜索

文件翻译

保留排版,准确专业,支持PDF/Word/PPT等文件格式,支持 12+语言互译。

免费翻译文档

深度研究

AI帮你快速写综述,25分钟生成高质量综述,智能提取关键信息,辅助科研写作。

立即免费体验