Suppr超能文献

外阴部乳房外佩吉特病累及宫颈。

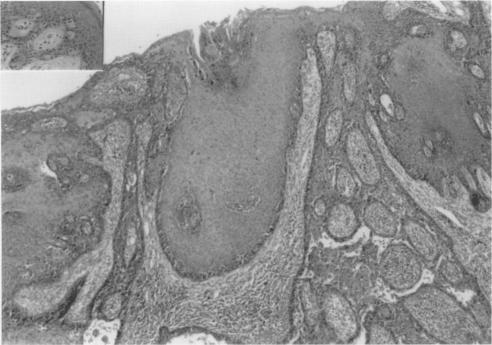
Extension of extramammary Paget disease of the vulva to the cervix.

作者信息

Lloyd J, Evans D J, Flanagan A M

机构信息

Department of Histopathology, St Mary's Hospital NHS Trust, London, UK.

出版信息

J Clin Pathol. 1999 Jul;52(7):538-40. doi: 10.1136/jcp.52.7.538.

Abstract

Extramammary Paget disease of the vulva was found in association with vulval adenocarcinoma in an elderly woman who also had a uterine prolapse. The characteristic histological appearances of extramammary Paget disease were masked by striking reactive changes in the squamous epithelium. Primary excision of both the intraepithelial and invasive disease appeared complete. However, a subsequent hysterectomy with repair of the prolapse revealed extramammary Paget disease in the upper vaginal mucosa and cervix, a finding which is very rarely described. Pathogenesis and diagnosis of extramammary Paget disease is discussed, with differential diagnosis and reference to immunohistochemical methods.

摘要

在外阴脱垂的老年女性中,发现外阴部乳房外佩吉特病与外阴腺癌相关。乳房外佩吉特病的典型组织学表现被鳞状上皮显著的反应性改变所掩盖。上皮内病变和浸润性病变的初次切除似乎是彻底的。然而,随后的子宫切除术及脱垂修复术显示,阴道上段黏膜和宫颈存在乳房外佩吉特病,这一发现很少被描述。本文讨论了乳房外佩吉特病的发病机制和诊断,并提及鉴别诊断及免疫组化方法。

https://cdn.ncbi.nlm.nih.gov/pmc/blobs/b77a/501500/372a7e19f321/jclinpath00280-0058-a.jpg

相似文献

1
Extension of extramammary Paget disease of the vulva to the cervix.
J Clin Pathol. 1999 Jul;52(7):538-40. doi: 10.1136/jcp.52.7.538.
2
Invasive cervical adenocarcinoma arising from extension of recurrent vulval Paget's disease.
BMJ Case Rep. 2020 Jun 11;13(6):e232424. doi: 10.1136/bcr-2019-232424.
4
Invasive adenocarcinoma arising in extramammary Paget's disease of the vulva.
Histopathology. 1991 Apr;18(4):355-60. doi: 10.1111/j.1365-2559.1991.tb00857.x.
5
Paget disease of the vulva.
JAAPA. 2019 Mar;32(3):33-34. doi: 10.1097/01.JAA.0000550285.65463.a9.
6
Vulvar Paget's disease with underlying adenocarcinoma simulating breast carcinoma: case report and review of the literature.
Int J Gynecol Cancer. 2004 Sep-Oct;14(5):1012-7. doi: 10.1111/j.1048-891X.2004.14544.x.
7
[Concurrence of primary extramammary Paget's disease of the vulva and vulval intra-epithelial neoplasia: A case report].
Rev Esp Patol. 2023 Jul-Sep;56(3):196-200. doi: 10.1016/j.patol.2021.12.002. Epub 2022 Feb 15.
8
Paget's disease of the vulva.
Gynecol Oncol. 1975 Jun;3(2):133-48. doi: 10.1016/0090-8258(75)90074-8.
9
Co-existence of extramammary Paget's disease and Bowen's disease of vulva.
Indian J Dermatol Venereol Leprol. 2014 Nov-Dec;80(6):530-3. doi: 10.4103/0378-6323.144170.
10
Cervical adenocarcinoma secondary to primary vulval Paget's disease: an unusual form of retrograde spread.
Histopathology. 2015 Jun;66(7):1031-4. doi: 10.1111/his.12634. Epub 2015 Feb 8.

引用本文的文献

2
Invasive cervical adenocarcinoma arising from extension of recurrent vulval Paget's disease.
BMJ Case Rep. 2020 Jun 11;13(6):e232424. doi: 10.1136/bcr-2019-232424.
4
5
Mammary and extramammary Paget's disease.
J Clin Pathol. 2000 Oct;53(10):742-9. doi: 10.1136/jcp.53.10.742.

本文引用的文献

1
Extramammary Paget's disease with diffuse involvement of the lower female genito-urinary system.
Int J Gynecol Cancer. 1997 Jan;7(1):84-7. doi: 10.1046/j.1525-1438.1997.00405.x.
2
Vulvar Paget's disease: a clinicopathologic and immunohistochemical study of 19 cases.
Am J Surg Pathol. 1997 Oct;21(10):1178-87. doi: 10.1097/00000478-199710000-00008.
3
[Paget disease of the vulva. 36 cases].
Ann Dermatol Venereol. 1993;120(8):522-7.
5
[Extramammary Paget's disease with internal malignancies].
Gan To Kagaku Ryoho. 1988 Apr;15(4 Pt 2-3):1569-75.
6
Paget's disease of the vulva.
Gynecol Oncol. 1990 Dec;39(3):374-7. doi: 10.1016/0090-8258(90)90269-q.
7
Invasive adenocarcinoma arising in extramammary Paget's disease of the vulva.
Histopathology. 1991 Apr;18(4):355-60. doi: 10.1111/j.1365-2559.1991.tb00857.x.
9
Extramammary Paget's disease. A critical reexamination.
Am J Dermatopathol. 1979 Summer;1(2):101-32. doi: 10.1097/00000372-197900120-00002.

文献AI研究员

20分钟写一篇综述,助力文献阅读效率提升50倍。

立即体验

用中文搜PubMed

大模型驱动的PubMed中文搜索引擎

马上搜索

文档翻译

学术文献翻译模型,支持多种主流文档格式。

立即体验