• 文献检索
  • 文档翻译
  • 深度研究
  • 学术资讯
  • Suppr Zotero 插件Zotero 插件
  • 邀请有礼
  • 套餐&价格
  • 历史记录
应用&插件
Suppr Zotero 插件Zotero 插件浏览器插件Mac 客户端Windows 客户端微信小程序
定价
高级版会员购买积分包购买API积分包
服务
文献检索文档翻译深度研究API 文档MCP 服务
关于我们
关于 Suppr公司介绍联系我们用户协议隐私条款
关注我们

Suppr 超能文献

核心技术专利:CN118964589B侵权必究
粤ICP备2023148730 号-1Suppr @ 2026

文献检索

告别复杂PubMed语法,用中文像聊天一样搜索,搜遍4000万医学文献。AI智能推荐,让科研检索更轻松。

立即免费搜索

文件翻译

保留排版,准确专业,支持PDF/Word/PPT等文件格式,支持 12+语言互译。

免费翻译文档

深度研究

AI帮你快速写综述,25分钟生成高质量综述,智能提取关键信息,辅助科研写作。

立即免费体验

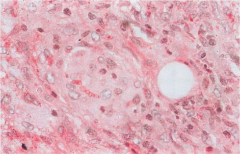
一名免疫功能低下患者的皮肤尖端赛多孢菌感染。

Cutaneous Scedosporium apiospermum infection in an immunocompromised patient.

作者信息

Bower C P, Oxley J D, Campbell C K, Archer C B

机构信息

Department of Dermatology, Bristol Royal Infirmary, UK.

出版信息

J Clin Pathol. 1999 Nov;52(11):846-8. doi: 10.1136/jcp.52.11.846.

DOI:10.1136/jcp.52.11.846
PMID:10690177
原文链接:https://pmc.ncbi.nlm.nih.gov/articles/PMC501599/
Abstract

Scedosporium apiospermum infection occurred in the left forearm of a patient who was taking oral prednisolone for pulmonary fibrosis. The infection appeared to follow a scratch from a blackcurrant bush. This is the first reported case in the United Kingdom of a cutaneous infection from Scedosporium apiospermum in an immunocompromised patient.

摘要

一名因肺纤维化正在口服泼尼松龙的患者,其左前臂发生了尖端赛多孢菌感染。感染似乎源于被黑醋栗灌木丛划伤。这是英国首次报告的免疫功能低下患者发生的尖端赛多孢菌皮肤感染病例。

https://cdn.ncbi.nlm.nih.gov/pmc/blobs/9c55/501599/2ad1c755b637/jclinpath00284-0055-b.jpg
https://cdn.ncbi.nlm.nih.gov/pmc/blobs/9c55/501599/2aa4f8c62922/jclinpath00284-0054-a.jpg
https://cdn.ncbi.nlm.nih.gov/pmc/blobs/9c55/501599/fce5b82c0594/jclinpath00284-0055-a.jpg
https://cdn.ncbi.nlm.nih.gov/pmc/blobs/9c55/501599/2ad1c755b637/jclinpath00284-0055-b.jpg
https://cdn.ncbi.nlm.nih.gov/pmc/blobs/9c55/501599/2aa4f8c62922/jclinpath00284-0054-a.jpg
https://cdn.ncbi.nlm.nih.gov/pmc/blobs/9c55/501599/fce5b82c0594/jclinpath00284-0055-a.jpg
https://cdn.ncbi.nlm.nih.gov/pmc/blobs/9c55/501599/2ad1c755b637/jclinpath00284-0055-b.jpg

相似文献

1
Cutaneous Scedosporium apiospermum infection in an immunocompromised patient.一名免疫功能低下患者的皮肤尖端赛多孢菌感染。
J Clin Pathol. 1999 Nov;52(11):846-8. doi: 10.1136/jcp.52.11.846.
2
Cutaneous infection with Scedosporium apiospermum in a patient treated with corticosteroids.
Acta Derm Venereol. 1999 Sep;79(5):402-3. doi: 10.1080/000155599750010481.
3
Cutaneous infection due to Scedosporium apiospermum in an immunosuppressed patient.一名免疫抑制患者发生由尖端赛多孢菌引起的皮肤感染。
J Eur Acad Dermatol Venereol. 2003 Jan;17(1):47-9. doi: 10.1046/j.1468-3083.2003.00640.x.
4
[Cutaneous and osteoarticular Scedosporium apiospermum infection].[皮肤和骨关节尖端赛多孢菌感染]
Ann Med Interne (Paris). 2002 Dec;153(8):537-9.
5
Case of cutaneous Scedosporium apiospermum infection successfully treated with voriconazole.伏立康唑成功治疗皮肤尖端赛多孢子菌感染病例
J Dermatol. 2009 Feb;36(2):98-102. doi: 10.1111/j.1346-8138.2009.00597.x.
6
Successful treatment of pneumonia due to Scedosporium apiospermum with itraconazole: case report.伊曲康唑成功治疗尖端赛多孢菌所致肺炎:病例报告
Clin Infect Dis. 1993 May;16(5):731-3. doi: 10.1093/clind/16.5.731.
7
Scedosporium apiospermum pneumonia after autologous bone marrow transplantation.
Eur J Clin Microbiol Infect Dis. 1996 Jul;15(7):600-3. doi: 10.1007/BF01709371.
8
Localized skin infection due to Scedosporium apiospermum: report of two cases.由尖端赛多孢子菌引起的局限性皮肤感染:两例报告
Br J Dermatol. 1999 Sep;141(3):605-6. doi: 10.1046/j.1365-2133.1999.03091.x.
9
[Scedosporium apiospermum disseminated infection in a single lung transplant recipient].[1例肺移植受者播散性阿皮瘤状瓶霉感染]
Rev Iberoam Micol. 2011 Jul-Sep;28(3):139-42. doi: 10.1016/j.riam.2011.06.007.
10
Cutaneous Scedosporium apiospermum infection in an immunocompromised patient and a review of the literature.一名免疫功能低下患者的皮肤尖端赛多孢子菌感染及文献综述
Acta Derm Venereol. 2005;85(2):156-9. doi: 10.1080/00015550410024553.

引用本文的文献

1
Recurrent Scedosporium apiospermum mycetoma successfully treated by surgical excision and terbinafine treatment: a case report and review of the literature.复发性阿皮尤斯德氏霉足菌肿经手术切除和特比萘芬治疗成功治愈:一例报告并文献复习
Ann Clin Microbiol Antimicrob. 2017 Apr 14;16(1):31. doi: 10.1186/s12941-017-0195-z.
2
Autochthonous cases of mycetoma in Europe: report of two cases and review of literature.欧洲土源性真菌病病例:两例报告及文献复习。
PLoS One. 2014 Jun 25;9(6):e100590. doi: 10.1371/journal.pone.0100590. eCollection 2014.
3
Authors' reply.

本文引用的文献

1
Scedosporium apiospermum skin infection: a case report and review of the literature.皮氏支孢霉皮肤感染:一例病例报告及文献复习
J Am Acad Dermatol. 1998 Sep;39(3):498-500. doi: 10.1016/s0190-9622(98)70335-4.
2
Subcutaneous scedosporiosis. Report of two cases and review of the literature.皮下赛多孢子菌病。两例报告并文献复习。
Rev Inst Med Trop Sao Paulo. 1997 Jul-Aug;39(4):227-30. doi: 10.1590/s0036-46651997000400009.
3
Use of voriconazole in treatment of Scedosporium apiospermum infection: case report.伏立康唑用于治疗裴氏瓶霉感染:病例报告。
作者回复。
Indian J Dermatol. 2013 Jan;58(1):81.
4
Infections caused by Scedosporium spp.由瓶霉属真菌引起的感染
Clin Microbiol Rev. 2008 Jan;21(1):157-97. doi: 10.1128/CMR.00039-07.
5
Scedosporium apiospermum soft tissue infection successfully treated with voriconazole: potential pitfalls in the transition from intravenous to oral therapy.伏立康唑成功治疗尖端赛多孢菌软组织感染:从静脉治疗转换为口服治疗的潜在陷阱
J Clin Microbiol. 2005 Feb;43(2):973-7. doi: 10.1128/JCM.43.2.973-977.2005.
J Clin Microbiol. 1998 May;36(5):1436-8. doi: 10.1128/JCM.36.5.1436-1438.1998.
4
Cutaneous infection by Scedosporium apiospermum and its successful treatment with itraconazole.尖端赛多孢菌引起的皮肤感染及其用伊曲康唑的成功治疗。
Clin Exp Dermatol. 1997 Jul;22(4):198-200.
5
Lymphocutaneous infection due to Scedosporium apiospermum.
Int J Dermatol. 1997 Sep;36(9):684-8. doi: 10.1046/j.1365-4362.1997.00287.x.
6
Scedosporium apiospermum skin infection in a patient with nephrotic syndrome.一名肾病综合征患者发生的尖端赛多孢菌皮肤感染。
Acta Derm Venereol. 1997 Mar;77(2):172-3. doi: 10.2340/0001555577172173.
7
Amphotericin B responsive Scedosporium apiospermum infection in a patient with acute myeloid leukaemia.1例急性髓系白血病患者对两性霉素B敏感的阿皮瘤状瓶霉感染
J Clin Pathol. 1996 Jan;49(1):93-4. doi: 10.1136/jcp.49.1.93.
8
Pseudallescheria boydii in an immunocompromised host. Successful treatment with debridement and itraconazole.免疫功能低下宿主中的波氏假阿利什菌。清创术联合伊曲康唑治疗成功。
Arch Dermatol. 1996 Apr;132(4):382-4.
9
Scedosporium apiospermum infection imitating lymphocutaneous sporotrichosis in a patient with myeloblastic-monocytic leukaemia.一名患有髓母细胞单核细胞白血病的患者出现拟淋巴皮肤型孢子丝菌病的阿皮尤斯德氏霉感染。
Br J Dermatol. 1995 Nov;133(5):805-9. doi: 10.1111/j.1365-2133.1995.tb02763.x.
10
Subcutaneous pseudallescheriasis in a renal transplant recipient.肾移植受者的皮下假性阿利什利菌病
Mycopathologia. 1994 Mar;125(3):153-6. doi: 10.1007/BF01146520.