Suppr超能文献

酿酒酵母细胞周期中纺锤体和纺锤体斑块的行为及接合过程

Behavior of spindles and spindle plaques in the cell cycle and conjugation of Saccharomyces cerevisiae.

作者信息

Byers B, Goetsch L

出版信息

J Bacteriol. 1975 Oct;124(1):511-23. doi: 10.1128/jb.124.1.511-523.1975.

Abstract

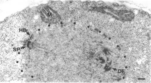
The interdependence of spindle plaque with other aspects of cell division and conjugation in Saccharomyces cerevisiae has been investigated. Three forms of the spindle plaque appear sequentially before the formation of the complete, intranuclear spindle. The single plaque is present initially in the mitotic cycle; it becomes transformed into a satellite-bearing single plaque during the latter part of G1. Subsequently, plaque duplication yields the double plaque characteristic of the early phase of budding, which coincides with the period of chromosome replication (S). The eventual separation of these plaques to form a complete spindle, with a single plaque at each pole, is nearly coincident with the completion of S. The form of the plaque differs in two independent cases of G1 arrest: the single plaque is found in a cell in stationary arrest of growth, whereas a cell arrested by mating factors in preparation for conjugation contains a satellite-bearing single plaque. The latter form is retained during zygote formation, where it serves as the initial site of fusion of each prezygotic nuceus with the other. This fusion results in the formation of a single zygotic nucleus with a satellite-bearing single plaque, which is subsequently transformed into a double plaque as the zygote buds. The double plaque is situated adjacent to the site of bud emergence in both vegetative cells and zygotes.

摘要

人们已经研究了酿酒酵母中纺锤体斑块与细胞分裂和接合的其他方面之间的相互依存关系。在完整的核内纺锤体形成之前,纺锤体斑块会依次出现三种形式。单个斑块最初出现在有丝分裂周期中;在G1期后期,它会转变为带有卫星的单个斑块。随后,斑块复制产生出芽早期特有的双斑块,这与染色体复制期(S期)相吻合。这些斑块最终分离形成完整的纺锤体,每个极有一个单个斑块,这几乎与S期的完成同时发生。在两种独立的G1期停滞情况下,斑块的形式有所不同:在生长静止停滞的细胞中发现单个斑块,而被交配因子阻滞以准备接合的细胞则含有一个带有卫星的单个斑块。后一种形式在合子形成过程中得以保留,它是每个合子前核相互融合的初始位点。这种融合导致形成一个带有卫星的单个斑块的合子核,随后随着合子出芽,它会转变为双斑块。在营养细胞和合子中,双斑块都位于芽出现的位点附近。

https://cdn.ncbi.nlm.nih.gov/pmc/blobs/e550/235921/cfc54b8d69a7/jbacter00323-0524-a.jpg

文献检索

告别复杂PubMed语法,用中文像聊天一样搜索,搜遍4000万医学文献。AI智能推荐,让科研检索更轻松。

立即免费搜索

文件翻译

保留排版,准确专业,支持PDF/Word/PPT等文件格式,支持 12+语言互译。

免费翻译文档

深度研究

AI帮你快速写综述,25分钟生成高质量综述,智能提取关键信息,辅助科研写作。

立即免费体验