• 文献检索
  • 文档翻译
  • 深度研究
  • 学术资讯
  • Suppr Zotero 插件Zotero 插件
  • 邀请有礼
  • 套餐&价格
  • 历史记录
应用&插件
Suppr Zotero 插件Zotero 插件浏览器插件Mac 客户端Windows 客户端微信小程序
定价
高级版会员购买积分包购买API积分包
服务
文献检索文档翻译深度研究API 文档MCP 服务
关于我们
关于 Suppr公司介绍联系我们用户协议隐私条款
关注我们

Suppr 超能文献

核心技术专利:CN118964589B侵权必究
粤ICP备2023148730 号-1Suppr @ 2026

文献检索

告别复杂PubMed语法,用中文像聊天一样搜索,搜遍4000万医学文献。AI智能推荐,让科研检索更轻松。

立即免费搜索

文件翻译

保留排版,准确专业,支持PDF/Word/PPT等文件格式,支持 12+语言互译。

免费翻译文档

深度研究

AI帮你快速写综述,25分钟生成高质量综述,智能提取关键信息,辅助科研写作。

立即免费体验

介导氨苄青霉素抗性的质粒DNA序列的易位:插入的分子性质和特异性。

Translocation of a plasmid DNA sequence which mediates ampicillin resistance: molecular nature and specificity of insertion.

作者信息

Heffron F, Rubens C, Falkow S

出版信息

Proc Natl Acad Sci U S A. 1975 Sep;72(9):3623-7. doi: 10.1073/pnas.72.9.3623.

DOI:10.1073/pnas.72.9.3623
PMID:1103150
原文链接:https://pmc.ncbi.nlm.nih.gov/articles/PMC433048/
Abstract

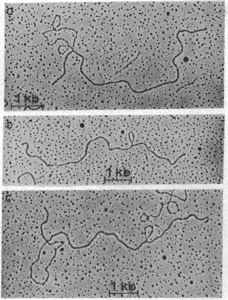
A series of recombinant plasmids was generated in Escherichia coli in which the TEM beta-lactamase translocon (TnA) was inserted into the small plasmid RSF1010. RSF1010 is a 5.5 X 10(6) dalton nonconjugative plasmid which confers resistance to streptomycin and sulfonamide. The recombinant plasmids can be classified into three clearly defined phenotypic groups. Group I is ampicillin-, streptomycin- and sulfonamide-resistant. Group II is ampicillin- and sulfonamide-resistant but has lost streptomycin resistance. Group III is ampicillin-resistant but is sensitive to sulfonamide and shows a simultaneous 30-fold reduction in the minimal inhibitory concentration of streptomycin. It was possible to map the site of insertion of TnA within RSF1010 by electron microscope studies of DNA heteroduplexes formed between RSF1010 and recombinant plasmids. Insertions of TnA occur at, at least, 12 distinct sites in a region corresponding to one-third of the RSF1010 DNA molecule. Those insertions giving rise to particular phenotypes are clustered. Insertions of TnA-like insertion sequences (IS) appear to give rise to strongly polar mutations.

摘要

在大肠杆菌中构建了一系列重组质粒,其中TEMβ-内酰胺酶转座子(TnA)被插入到小质粒RSF1010中。RSF1010是一个5.5×10⁶道尔顿的非接合性质粒,赋予对链霉素和磺胺的抗性。这些重组质粒可分为三个明确的表型组。第一组对氨苄青霉素、链霉素和磺胺具有抗性。第二组对氨苄青霉素和磺胺具有抗性,但失去了链霉素抗性。第三组对氨苄青霉素具有抗性,但对磺胺敏感,并且链霉素的最低抑菌浓度同时降低了30倍。通过对RSF1010与重组质粒之间形成的DNA异源双链体进行电子显微镜研究,有可能确定TnA在RSF1010中的插入位点。TnA的插入至少发生在对应于RSF1010 DNA分子三分之一区域的12个不同位点。那些导致特定表型的插入是成簇的。类似TnA的插入序列(IS)的插入似乎会导致强极性突变。

https://cdn.ncbi.nlm.nih.gov/pmc/blobs/4b8c/433048/c86cb4be5927/pnas00052-0368-a.jpg
https://cdn.ncbi.nlm.nih.gov/pmc/blobs/4b8c/433048/bee72fd05889/pnas00052-0366-a.jpg
https://cdn.ncbi.nlm.nih.gov/pmc/blobs/4b8c/433048/9bad73294275/pnas00052-0367-a.jpg
https://cdn.ncbi.nlm.nih.gov/pmc/blobs/4b8c/433048/c86cb4be5927/pnas00052-0368-a.jpg
https://cdn.ncbi.nlm.nih.gov/pmc/blobs/4b8c/433048/bee72fd05889/pnas00052-0366-a.jpg
https://cdn.ncbi.nlm.nih.gov/pmc/blobs/4b8c/433048/9bad73294275/pnas00052-0367-a.jpg
https://cdn.ncbi.nlm.nih.gov/pmc/blobs/4b8c/433048/c86cb4be5927/pnas00052-0368-a.jpg

相似文献

1
Translocation of a plasmid DNA sequence which mediates ampicillin resistance: molecular nature and specificity of insertion.介导氨苄青霉素抗性的质粒DNA序列的易位:插入的分子性质和特异性。
Proc Natl Acad Sci U S A. 1975 Sep;72(9):3623-7. doi: 10.1073/pnas.72.9.3623.
2
Transposition of a plasmid deoxyribonucleic acid sequence that mediates ampicillin resistance: independence from host rec functions and orientation of insertion.介导氨苄青霉素抗性的质粒脱氧核糖核酸序列的转座:与宿主rec功能无关及插入方向
J Bacteriol. 1976 Oct;128(1):425-34. doi: 10.1128/jb.128.1.425-434.1976.
3
Molecular nature of a streptomycin and sulfonamide resistance plasmid (pBP1) prevalent in clinical Escherichia coli strains and integration of an ampicillin resistance transposon (TnA).临床大肠杆菌菌株中普遍存在的链霉素和磺胺抗性质粒(pBP1)的分子特性以及氨苄青霉素抗性转座子(TnA)的整合
Antimicrob Agents Chemother. 1981 Mar;19(3):371-80. doi: 10.1128/AAC.19.3.371.
4
Transposition of a plasmid deoxyribonucleic acid sequence that mediates ampicillin resistance: identity of laboratory-constructed plasmids and clinical isolates.介导氨苄西林耐药性的质粒脱氧核糖核酸序列的转座:实验室构建质粒与临床分离株的一致性
J Bacteriol. 1977 Jan;129(1):530-3. doi: 10.1128/jb.129.1.530-533.1977.
5
Isolation, mapping, and examination of effects of TnA insertions in ColE1 plasmids.大肠杆菌 ColE1 质粒中 TnA 插入片段的分离、定位及效应检测。
J Bacteriol. 1977 Jan;129(1):482-91. doi: 10.1128/jb.129.1.482-491.1977.
6
The generation of a ColE1-Apr cloning vehicle which allows detection of inserted DNA.一种能够检测插入DNA的ColE1-Apr克隆载体的构建。
Mol Gen Genet. 1975 Dec 30;142(3):239-49. doi: 10.1007/BF00425649.
7
Deletions affecting the transposition of an antibiotic resistance gene.影响抗生素抗性基因转座的缺失
Proc Natl Acad Sci U S A. 1977 Feb;74(2):702-6. doi: 10.1073/pnas.74.2.702.
8
Inhibition of TnA translocation by TnA.TnA对TnA易位的抑制作用。
J Bacteriol. 1977 Jan;129(1):407-14. doi: 10.1128/jb.129.1.407-414.1977.
9
Location of an ampicillin resistance transposon, Tn1701, in a group of small, nontransferring plasmids.氨苄青霉素抗性转座子Tn1701在一组小型非转移性质粒中的定位。
J Bacteriol. 1979 Feb;137(2):990-9. doi: 10.1128/jb.137.2.990-999.1979.
10
Structural evolution of bacterial plasmids: role of translocating genetic elements and DNA sequence insertions.细菌质粒的结构演变:易位遗传元件和DNA序列插入的作用
Fed Proc. 1976 Jul;35(9):2031-6.

引用本文的文献

1
Recent Advances in Genetic Engineering Strategies of .近年来基因工程策略的进展。
ACS Synth Biol. 2024 Nov 15;13(11):3497-3506. doi: 10.1021/acssynbio.4c00348. Epub 2024 Oct 31.
2
What are the missing pieces needed to stop antibiotic resistance?需要哪些缺失的部分来阻止抗生素耐药性?
Microb Biotechnol. 2023 Oct;16(10):1900-1923. doi: 10.1111/1751-7915.14310. Epub 2023 Jul 7.
3
DNA Transposition at Work.发挥作用的DNA转座

本文引用的文献

1
A restriction enzyme from Hemophilus influenzae. II.一种来自流感嗜血杆菌的限制性内切酶。II.
J Mol Biol. 1970 Jul 28;51(2):393-409. doi: 10.1016/0022-2836(70)90150-6.
2
Polynucleotide sequence relationships among some bacterial plasmids.一些细菌质粒之间的多核苷酸序列关系。
J Bacteriol. 1971 Jul;107(1):372-4. doi: 10.1128/jb.107.1.372-374.1971.
3
Electron microscope heteroduplex study of the heterogeneity of Mu phage and prophage DNA.Mu噬菌体和原噬菌体DNA异质性的电子显微镜异源双链研究
Chem Rev. 2016 Oct 26;116(20):12758-12784. doi: 10.1021/acs.chemrev.6b00003. Epub 2016 May 17.
4
Letting Escherichia coli teach me about genome engineering.让大肠杆菌教我基因组工程。
Genetics. 2009 Dec;183(4):1205-14. doi: 10.1534/genetics.109.110007.
5
Construction of tn3-containing plasmids from plant-pathogenic pseudomonads and an examination of their biological properties.构建来自植物病原假单胞菌的含 tn3 的质粒,并研究其生物学特性。
Appl Environ Microbiol. 1985 Feb;49(2):468-73. doi: 10.1128/aem.49.2.468-473.1985.
6
Characterization of beta-lactamase-deficient (bla) mutants of the R plasmid R1 in Escherichia coli K-12 and comparison with similar mutants of RP1.大肠杆菌K-12中R质粒R1的β-内酰胺酶缺陷型(bla)突变体的特性分析及其与RP1类似突变体的比较。
Antimicrob Agents Chemother. 1980 Nov;18(5):667-74. doi: 10.1128/AAC.18.5.667.
7
Isolation and characterization of a composite plasmid Rms201 mutant temperature sensitive for replication.对复制温度敏感的复合质粒Rms201突变体的分离与鉴定。
J Bacteriol. 1980 Feb;141(2):577-83. doi: 10.1128/jb.141.2.577-583.1980.
8
Plasmid-determined resistance to antimicrobial drugs and toxic metal ions in bacteria.质粒介导的细菌对抗菌药物和有毒金属离子的耐药性
Microbiol Rev. 1983 Sep;47(3):361-409. doi: 10.1128/mr.47.3.361-409.1983.
9
Inverted repeats in the DNA of plasmid pCU1.质粒pCU1 DNA中的反向重复序列。
J Bacteriol. 1983 Mar;153(3):1502-12. doi: 10.1128/jb.153.3.1502-1512.1983.
10
Tn3 labeling of a cryptic plasmid found in the plant pathogenic bacterium Pseudomonas tabaci and mobilization of RSF1010 by donation.在植物致病细菌烟草假单胞菌中发现的一种隐蔽质粒的Tn3标记及通过转移对RSF1010的迁移作用
J Bacteriol. 1983 Jul;155(1):438-42. doi: 10.1128/jb.155.1.438-442.1983.
Virology. 1974 Mar;58(1):229-39. doi: 10.1016/0042-6822(74)90157-3.
4
Comparison of the deoxyribonucleic acid molecular weights and homologies of plasmids conferring linked resistance to streptomycin and sulfonamides.赋予链霉素和磺胺类药物连锁抗性的质粒的脱氧核糖核酸分子量及同源性比较
J Bacteriol. 1974 Nov;120(2):618-30. doi: 10.1128/jb.120.2.618-630.1974.
5
Polynucleotide sequence relationships among plasmids of the I compatibility complex.I 相容性复合体质粒之间的多核苷酸序列关系。
J Gen Microbiol. 1974 Nov;85(1):65-76. doi: 10.1099/00221287-85-1-65.
6
Transposition of ampicillin resistance from RP4 to other replicons.氨苄青霉素抗性从RP4转座至其他复制子。
Mol Gen Genet. 1974;132(1):31-40. doi: 10.1007/BF00268228.
7
Molecular nature of two nonconjugative plasmids carrying drug resistance genes.携带耐药基因的两种非接合质粒的分子特性
J Bacteriol. 1974 Feb;117(2):619-30. doi: 10.1128/jb.117.2.619-630.1974.
8
Molecular specificities of R factor-determined beta-lactamases: correlation with plasmid compatibility.R因子决定的β-内酰胺酶的分子特异性:与质粒相容性的相关性。
J Bacteriol. 1974 Jan;117(1):56-62. doi: 10.1128/jb.117.1.56-62.1974.
9
The nucleotide sequence of the lac operator.乳糖操纵基因的核苷酸序列。
Proc Natl Acad Sci U S A. 1973 Dec;70(12):3581-4. doi: 10.1073/pnas.70.12.3581.
10
A catenated DNA molecule as an intermediate in the replication of the resistance transfer factor R6K in Escherichia coli.一种连环DNA分子作为大肠杆菌中抗性转移因子R6K复制的中间体。
Biochem Biophys Res Commun. 1973 Oct 15;54(4):1451-9. doi: 10.1016/0006-291x(73)91149-2.