Suppr超能文献

静脉注射的小鼠肿瘤细胞的非免疫性细胞死亡

Non-immunological cell death of intravenously injected murine tumour cells.

作者信息

Bishop C J, Donald K J

出版信息

Br J Exp Pathol. 1979 Feb;60(1):29-37.

Abstract

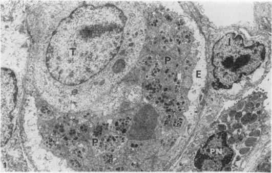
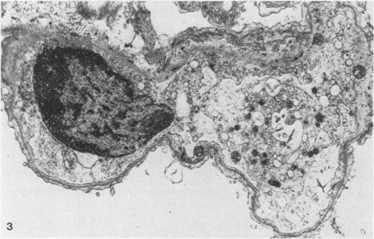
Most DBA mastocytoma and Sarcoma 180 cells trapped in the lungs of mice after i.v. injection died within 7 h. Rates of cell death were similar for both tumour cell lines. Rates of tumour cell death were unrelated to whether the cells were allogeneic or syngeneic, induced platelet aggregation or not, had different patterns of subsequent tumour growth, or were injected in varying numbers. Cell death was by coagulative necrosis, not apoptosis. Sarcoma 180 tumour cells were quickly localized in the lung and enclosed in platelet aggregates which remained, with degranulation, until the time of tumour cell death. However, platelet aggregation did not appear to play a role in tumour cell killing. The prevention of platelet aggregation by pretreatment of mice with an anticoagulant had little effect on the rate of death of tumour cells in the lung. Mastocytoma tumour cells did not cause platelet aggregation, yet died in the lung at similar rates to Sarcoma 180 cells. The killing of tumour cells in the lung did not appear to be cell-mediated. No mononuclear cells were seen in the vicinity of tumour cells and the type of cell death was not that associated with cell-mediated killing. The tumour cells did not die within 6 h of being injected into the peritoneal cavity. It is suggested that a nonspecific non-immunological process results in the death of intravenously injected tumour cells in the lung. This process was not affected by differing oxygen levels in the inhaled gas.

摘要

静脉注射后,大多数被困在小鼠肺部的DBA肥大细胞瘤和肉瘤180细胞在7小时内死亡。两种肿瘤细胞系的细胞死亡率相似。肿瘤细胞死亡率与细胞是同种异体还是同基因、是否诱导血小板聚集、后续肿瘤生长模式不同或注射数量不同无关。细胞死亡是通过凝固性坏死,而非凋亡。肉瘤180肿瘤细胞迅速在肺部定位并被包裹在血小板聚集体中,这些聚集体会脱颗粒,直至肿瘤细胞死亡之时。然而,血小板聚集似乎在肿瘤细胞杀伤中不起作用。用抗凝剂预处理小鼠以防止血小板聚集,对肺部肿瘤细胞的死亡率影响很小。肥大细胞瘤细胞不会引起血小板聚集,但在肺部的死亡率与肉瘤180细胞相似。肺部肿瘤细胞的杀伤似乎不是由细胞介导的。在肿瘤细胞附近未观察到单核细胞,且细胞死亡类型与细胞介导的杀伤无关。肿瘤细胞注入腹腔后6小时内不会死亡。有人提出,一种非特异性非免疫过程导致静脉注射的肿瘤细胞在肺部死亡。该过程不受吸入气体中不同氧水平的影响。

https://cdn.ncbi.nlm.nih.gov/pmc/blobs/4be9/2041423/6e9cd5e01b21/brjexppathol00121-0046-a.jpg

文献检索

告别复杂PubMed语法,用中文像聊天一样搜索,搜遍4000万医学文献。AI智能推荐,让科研检索更轻松。

立即免费搜索

文件翻译

保留排版,准确专业,支持PDF/Word/PPT等文件格式,支持 12+语言互译。

免费翻译文档

深度研究

AI帮你快速写综述,25分钟生成高质量综述,智能提取关键信息,辅助科研写作。

立即免费体验