Suppr超能文献

Alterations in peptidoglycan chemical composition associated with rod-to-sphere transition in a conditional mutant of Klebsiella pneumoniae.

作者信息

Fontana R, Canepari P, Satta G

出版信息

J Bacteriol. 1979 Sep;139(3):1028-38. doi: 10.1128/jb.139.3.1028-1038.1979.

Abstract

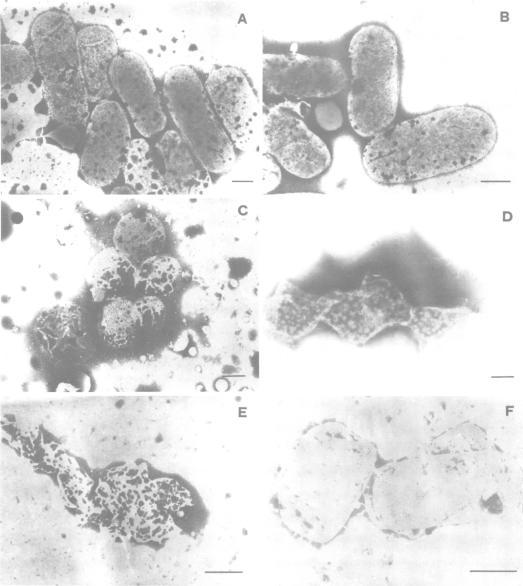
Klebsiella pneumoniae Mir M7 is a spontaneous parentless morphology mutant which grows as cocci at pH 7 and as rods at pH 5.8. This strain has been characterized as defective in lateral wall formation (at pH7). Data suggest that the cell wall is mainly made up of poles of the rods (G. Satta, R. Fontana, P. Canepari, and G. Botta, J. Bacteriol. 137:727--734, 1979). In this work the isolation and the biochemical properties of the peptidoglycan of both Mir M7 rods and cocci and a nonconditional rod-shaped Mir M7 revertant (strain Mir A12) are described. The peptidoglycan of Mir M7 (both rods and cocci) and Mir A12 strains carried covalently bound proteins which could be easily removed by pronase treatment in Mir M7 rods and Mir A12 cells, but not in Mir M7 round cells. However, when the sodium dodecyl sulfate-insoluble residues of Mir M7 cocci were pretreated with ethylenediaminetetraacetic acid (EDTA), pronase digestion removed the covalently bound proteins, and pure peptidoglycan was obtained. EDTA treatment of the rigid layer of Mir M7 cocci removed amounts of Mg2+ and Ca2+, which were 10- and 50-fold higher, respectively, than the amount liberated from the rigid layer of Mir M7 rods and Mir A12 cells. Amino acid composition was qualitatively similar in both strains, but Mir M7 cocci contained a higher amount of alanine and glucosamine. Mir M7 cocci contained approximately 50% less peptidoglycan than rods. Under electron microscopy, the rigid layer of the Mir M7 rods and Mir A12 cells appeared to be rod-shaped and their shape remained unchanged after EDTA and pronase treatment. On the contrary, the Mir M7 cocci rigid layer appeared to be round, and after EDTA treatment it collapsed and lost any definite morphology. In spite of these alterations, the peptidoglycan of Mir M7 cocci still appeared able to determine the shape of the cell and protect it from osmotic shock and mechanical damages. The accumluation of divalent cations appeared necessary for the peptidoglycan to acquire sufficient rigidity for shape determination and cell protection. We concluded that the coccal shape in Mir M7 cells is not due to loss of cell wall rigidity but is a consequence of the formation of a round peptidoglycan molecule. The possibility that the alterations found in the Mir M7 cocci rigid layer may reflect natural differences in the biochemical composition of the septa and lateral wall of normally shaped bacteria is discussed.

摘要
https://cdn.ncbi.nlm.nih.gov/pmc/blobs/8e02/218052/ddf8acb25964/jbacter00280-0337-a.jpg

文献AI研究员

20分钟写一篇综述,助力文献阅读效率提升50倍。

立即体验

用中文搜PubMed

大模型驱动的PubMed中文搜索引擎

马上搜索

文档翻译

学术文献翻译模型,支持多种主流文档格式。

立即体验