Suppr超能文献

Prion filament networks in [URE3] cells of Saccharomyces cerevisiae.

作者信息

Speransky V V, Taylor K L, Edskes H K, Wickner R B, Steven A C

机构信息

Laboratory of Structural Biology, National Institute of Arthritis and Musculoskeletal and Skin Diseases, National Institutes of Health, Bethesda, MD 20892, USA.

出版信息

J Cell Biol. 2001 Jun 11;153(6):1327-36. doi: 10.1083/jcb.153.6.1327.

Abstract

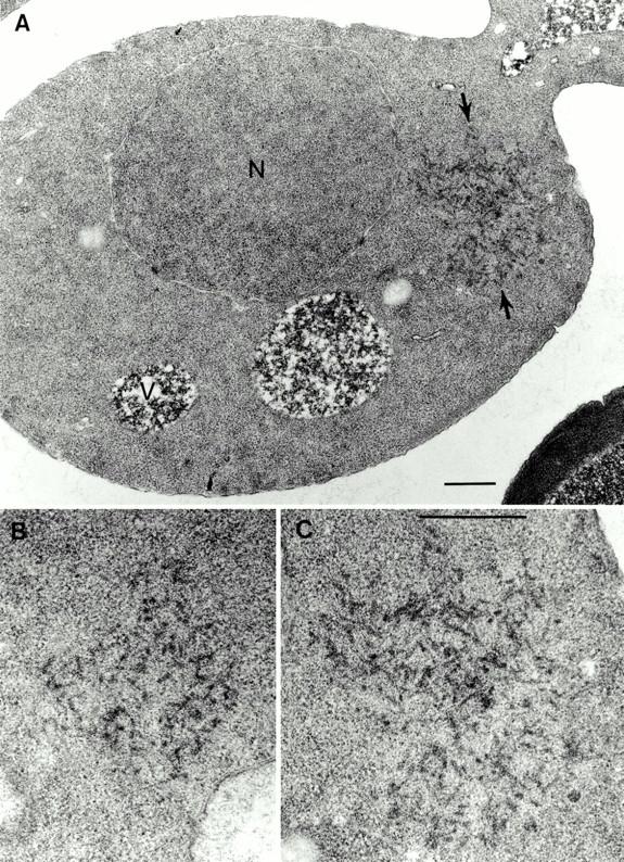
The [URE3] prion (infectious protein) of yeast is a self-propagating, altered form of Ure2p that cannot carry out its normal function in nitrogen regulation. Previous data have shown that Ure2p can form protease-resistant amyloid filaments in vitro, and that it is aggregated in cells carrying the [URE3] prion. Here we show by electron microscopy that [URE3] cells overexpressing Ure2p contain distinctive, filamentous networks in their cytoplasm, and demonstrate by immunolabeling that these networks contain Ure2p. In contrast, overexpressing wild-type cells show a variety of Ure2p distributions: usually, the protein is dispersed sparsely throughout the cytoplasm, although occasionally it is found in multiple small, focal aggregates. However, these distributions do not resemble the single, large networks seen in [URE3] cells, nor do the control cells exhibit cytoplasmic filaments. In [URE3] cell extracts, Ure2p is present in aggregates that are only partially solubilized by boiling in SDS and urea. In these aggregates, the NH(2)-terminal prion domain is inaccessible to antibodies, whereas the COOH-terminal nitrogen regulation domain is accessible. This finding is consistent with the proposal that the prion domains stack to form the filament backbone, which is surrounded by the COOH-terminal domains. These observations support and further specify the concept of the [URE3] prion as a self-propagating amyloid.

摘要
https://cdn.ncbi.nlm.nih.gov/pmc/blobs/1af8/2192028/4a19038ff647/JCB0101091.f1.jpg

文献AI研究员

20分钟写一篇综述,助力文献阅读效率提升50倍。

立即体验

用中文搜PubMed

大模型驱动的PubMed中文搜索引擎

马上搜索

文档翻译

学术文献翻译模型,支持多种主流文档格式。

立即体验