• 文献检索
  • 文档翻译
  • 深度研究
  • 学术资讯
  • Suppr Zotero 插件Zotero 插件
  • 邀请有礼
  • 套餐&价格
  • 历史记录
应用&插件
Suppr Zotero 插件Zotero 插件浏览器插件Mac 客户端Windows 客户端微信小程序
定价
高级版会员购买积分包购买API积分包
服务
文献检索文档翻译深度研究API 文档MCP 服务
关于我们
关于 Suppr公司介绍联系我们用户协议隐私条款
关注我们

Suppr 超能文献

核心技术专利:CN118964589B侵权必究
粤ICP备2023148730 号-1Suppr @ 2026

文献检索

告别复杂PubMed语法,用中文像聊天一样搜索,搜遍4000万医学文献。AI智能推荐,让科研检索更轻松。

立即免费搜索

文件翻译

保留排版,准确专业,支持PDF/Word/PPT等文件格式,支持 12+语言互译。

免费翻译文档

深度研究

AI帮你快速写综述,25分钟生成高质量综述,智能提取关键信息,辅助科研写作。

立即免费体验

雪貂胚外膜的发育与结构。光镜和超微结构研究。

Development and structure of the extra-embryonic membranes of the ferret. A light microscopic and ultrastructural study.

作者信息

Gulamhusein A P, Beck F

出版信息

J Anat. 1975 Nov;120(Pt 2):349-65.

PMID:1201966
原文链接:https://pmc.ncbi.nlm.nih.gov/articles/PMC1231975/
Abstract

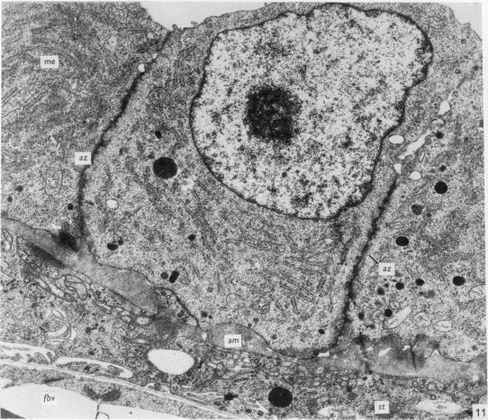
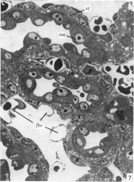
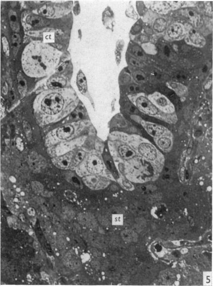
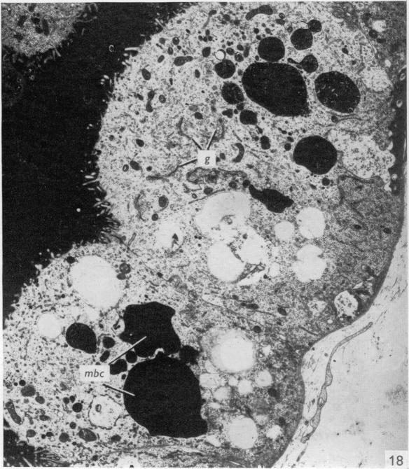
Light and electron microscopic observations on the development and structure of the extra-embryonic membranes of the ferret are described. By day 16 of pregnancy trophoblastic villi consisting of a cytotrophoblastic core with a peripherally located phagocytic syncytiotrophoblast have penetrated deeply into the endometrium. During its invasion the syncytiotrophoblast removes endometrial glandular cells and some of the adjacent stromal tissue. The maternal blood vessels remain intact and eventually become surrounded by the syncytiotrophoblast. A marked hypertrophy of the maternal capillary endothelium then begine. By day 28 the maternal capillary endothelial cells attain their maximum height. The cytoplasm of these cells contains numerous cisternae of rough endoplasmic reticulum and a well-developed Golgi apparatus, features which are typical of protein-secreting cells. The maternal blood vessels are separated from the syncytiotrophoblast by a thick layer of amorphous material which stains positively with PAS. Alcian blue staining in the presence of critical concentrations of magnesium chloride indicates the presence of both sulphated and carboxylated acid mucopolysaccharides. It may be that the amorphous material contributes significantly to the nutritional requirements of the developing fetus. Invaginations of the syncytiotrophoblast plasma membrane facing this amorphous layer are often seen. Coated vesicles and substances in contact with the outer surface of the membrane are therefore likely to be endocytozed. The acid phosphatase in the syncytiotrophoblast is consistent with the presence of lysosomes and catabolic function. Regions of paraplacental cellular trophoblast which lie in close association with the endometrium, but do not penetrate it, appear to specialize in endocytosis. The haemophagus organ, which is located at the antimesometrial pole, is the site of rupture of maternal blood vessels, and the extravasated blood lies in close association with the chorio-allantoic membrane. The maternal blood cells ingested by the trophoblast in this area are presumably an important source of iron for the embryo. The cellular trophoblast in the paraplacental regions is well equipped with hydrolytic enzymes, as shown by histochemical tests for acid phosphatase. It seems likely that these regions are concerned with embryotrophic endocytotic nutrition supplementing endothelio-chorial nutrition.

摘要

本文描述了雪貂胚外膜发育和结构的光镜及电镜观察结果。妊娠第16天时,由细胞滋养层核心和外周吞噬性合体滋养层组成的滋养层绒毛已深深侵入子宫内膜。在侵入过程中,合体滋养层清除子宫内膜腺细胞和一些相邻的基质组织。母体血管保持完整,最终被合体滋养层包围。随后母体毛细血管内皮开始明显肥大。到第28天时,母体毛细血管内皮细胞达到最大高度。这些细胞的细胞质含有大量粗面内质网池和发达的高尔基体,这些特征是蛋白质分泌细胞的典型特征。母体血管与合体滋养层之间被一层厚厚的无定形物质分隔开,该物质经PAS染色呈阳性。在临界浓度的氯化镁存在下进行阿尔辛蓝染色表明存在硫酸化和羧化酸性粘多糖。无定形物质可能对发育中胎儿的营养需求有重要贡献。经常可见合体滋养层质膜面向该无定形层的内陷。因此,与膜外表面接触的有被小泡和物质可能被内吞。合体滋养层中的酸性磷酸酶与溶酶体的存在和分解代谢功能一致。与子宫内膜紧密相连但不侵入其中的胎盘旁细胞滋养层区域似乎专门进行内吞作用。位于反系膜极的噬血器官是母体血管破裂的部位,外渗的血液与绒膜尿囊膜紧密相连。该区域被滋养层摄取的母体血细胞大概是胚胎铁的重要来源。胎盘旁区域的细胞滋养层富含水解酶,酸性磷酸酶的组织化学检测显示了这一点。这些区域似乎与补充内皮绒毛膜营养的胚胎营养内吞性营养有关。

https://cdn.ncbi.nlm.nih.gov/pmc/blobs/f9f8/1231975/e5dc93ee823e/janat00376-0142-d.jpg
https://cdn.ncbi.nlm.nih.gov/pmc/blobs/f9f8/1231975/50062513cce7/janat00376-0132-a.jpg
https://cdn.ncbi.nlm.nih.gov/pmc/blobs/f9f8/1231975/16118ff2c8d1/janat00376-0132-b.jpg
https://cdn.ncbi.nlm.nih.gov/pmc/blobs/f9f8/1231975/6c3096afe60e/janat00376-0132-c.jpg
https://cdn.ncbi.nlm.nih.gov/pmc/blobs/f9f8/1231975/9685192232c1/janat00376-0134-a.jpg
https://cdn.ncbi.nlm.nih.gov/pmc/blobs/f9f8/1231975/e3bebc06282a/janat00376-0134-b.jpg
https://cdn.ncbi.nlm.nih.gov/pmc/blobs/f9f8/1231975/ab05a3358a81/janat00376-0134-c.jpg
https://cdn.ncbi.nlm.nih.gov/pmc/blobs/f9f8/1231975/0840a5c27668/janat00376-0134-d.jpg
https://cdn.ncbi.nlm.nih.gov/pmc/blobs/f9f8/1231975/af3a4fc2f36d/janat00376-0136-a.jpg
https://cdn.ncbi.nlm.nih.gov/pmc/blobs/f9f8/1231975/5e9f0a76582b/janat00376-0136-b.jpg
https://cdn.ncbi.nlm.nih.gov/pmc/blobs/f9f8/1231975/3fb164ab08b3/janat00376-0136-c.jpg
https://cdn.ncbi.nlm.nih.gov/pmc/blobs/f9f8/1231975/3e6190aa3de8/janat00376-0138-a.jpg
https://cdn.ncbi.nlm.nih.gov/pmc/blobs/f9f8/1231975/445ceb3a78a0/janat00376-0138-b.jpg
https://cdn.ncbi.nlm.nih.gov/pmc/blobs/f9f8/1231975/5adf88a77f43/janat00376-0138-c.jpg
https://cdn.ncbi.nlm.nih.gov/pmc/blobs/f9f8/1231975/0fd3ffbea122/janat00376-0140-a.jpg
https://cdn.ncbi.nlm.nih.gov/pmc/blobs/f9f8/1231975/bd2c571e1a29/janat00376-0140-b.jpg
https://cdn.ncbi.nlm.nih.gov/pmc/blobs/f9f8/1231975/322c8b538df6/janat00376-0140-c.jpg
https://cdn.ncbi.nlm.nih.gov/pmc/blobs/f9f8/1231975/e4404cc96385/janat00376-0140-d.jpg
https://cdn.ncbi.nlm.nih.gov/pmc/blobs/f9f8/1231975/80b5fd919164/janat00376-0142-a.jpg
https://cdn.ncbi.nlm.nih.gov/pmc/blobs/f9f8/1231975/4946ed2930dc/janat00376-0142-b.jpg
https://cdn.ncbi.nlm.nih.gov/pmc/blobs/f9f8/1231975/0991da793a2d/janat00376-0142-c.jpg
https://cdn.ncbi.nlm.nih.gov/pmc/blobs/f9f8/1231975/e5dc93ee823e/janat00376-0142-d.jpg
https://cdn.ncbi.nlm.nih.gov/pmc/blobs/f9f8/1231975/50062513cce7/janat00376-0132-a.jpg
https://cdn.ncbi.nlm.nih.gov/pmc/blobs/f9f8/1231975/16118ff2c8d1/janat00376-0132-b.jpg
https://cdn.ncbi.nlm.nih.gov/pmc/blobs/f9f8/1231975/6c3096afe60e/janat00376-0132-c.jpg
https://cdn.ncbi.nlm.nih.gov/pmc/blobs/f9f8/1231975/9685192232c1/janat00376-0134-a.jpg
https://cdn.ncbi.nlm.nih.gov/pmc/blobs/f9f8/1231975/e3bebc06282a/janat00376-0134-b.jpg
https://cdn.ncbi.nlm.nih.gov/pmc/blobs/f9f8/1231975/ab05a3358a81/janat00376-0134-c.jpg
https://cdn.ncbi.nlm.nih.gov/pmc/blobs/f9f8/1231975/0840a5c27668/janat00376-0134-d.jpg
https://cdn.ncbi.nlm.nih.gov/pmc/blobs/f9f8/1231975/af3a4fc2f36d/janat00376-0136-a.jpg
https://cdn.ncbi.nlm.nih.gov/pmc/blobs/f9f8/1231975/5e9f0a76582b/janat00376-0136-b.jpg
https://cdn.ncbi.nlm.nih.gov/pmc/blobs/f9f8/1231975/3fb164ab08b3/janat00376-0136-c.jpg
https://cdn.ncbi.nlm.nih.gov/pmc/blobs/f9f8/1231975/3e6190aa3de8/janat00376-0138-a.jpg
https://cdn.ncbi.nlm.nih.gov/pmc/blobs/f9f8/1231975/445ceb3a78a0/janat00376-0138-b.jpg
https://cdn.ncbi.nlm.nih.gov/pmc/blobs/f9f8/1231975/5adf88a77f43/janat00376-0138-c.jpg
https://cdn.ncbi.nlm.nih.gov/pmc/blobs/f9f8/1231975/0fd3ffbea122/janat00376-0140-a.jpg
https://cdn.ncbi.nlm.nih.gov/pmc/blobs/f9f8/1231975/bd2c571e1a29/janat00376-0140-b.jpg
https://cdn.ncbi.nlm.nih.gov/pmc/blobs/f9f8/1231975/322c8b538df6/janat00376-0140-c.jpg
https://cdn.ncbi.nlm.nih.gov/pmc/blobs/f9f8/1231975/e4404cc96385/janat00376-0140-d.jpg
https://cdn.ncbi.nlm.nih.gov/pmc/blobs/f9f8/1231975/80b5fd919164/janat00376-0142-a.jpg
https://cdn.ncbi.nlm.nih.gov/pmc/blobs/f9f8/1231975/4946ed2930dc/janat00376-0142-b.jpg
https://cdn.ncbi.nlm.nih.gov/pmc/blobs/f9f8/1231975/0991da793a2d/janat00376-0142-c.jpg
https://cdn.ncbi.nlm.nih.gov/pmc/blobs/f9f8/1231975/e5dc93ee823e/janat00376-0142-d.jpg

相似文献

1
Development and structure of the extra-embryonic membranes of the ferret. A light microscopic and ultrastructural study.雪貂胚外膜的发育与结构。光镜和超微结构研究。
J Anat. 1975 Nov;120(Pt 2):349-65.
2
The chorioallantoic placenta of the spotted hyena (Crocuta crocuta Erxleben): an electron microscopic study.斑鬣狗(克罗克斑鬣狗,学名:Crocuta crocuta Erxleben)的绒膜尿囊胎盘:一项电子显微镜研究
Anat Rec. 1982 Nov;204(3):215-22. doi: 10.1002/ar.1092040306.
3
HLA Class I protein expression in the human placenta.人类胎盘中的HLA I类蛋白表达。
Early Pregnancy (Cherry Hill). 2001 Jan;5(1):67-9.
4
Development of the discoidal hemochorial placenta in the black mastiff bat, Molossus ater: evidence for a role of maternal endothelial cells in the control of trophoblastic growth.黑犬吻蝠(Molossus ater)盘状血绒毛膜胎盘的发育:母体内皮细胞在控制滋养层生长中作用的证据
Am J Anat. 1991 Jun;191(2):185-207. doi: 10.1002/aja.1001910205.
5
[An ultrastructural study of penetration and replacement process by trophoblast cell into human maternal vessel (author's transl)].[滋养层细胞侵入和替代人母体血管过程的超微结构研究(作者译)]
Nihon Sanka Fujinka Gakkai Zasshi. 1981 Nov;33(11):1917-24.
6
Light and electron microscope observations at the pre- and early post-implantation stages in the ferret uterus.雪貂子宫植入前和植入后早期阶段的光学显微镜和电子显微镜观察。
J Anat. 1973 Jul;115(Pt 2):159-74.
7
The fine structure of the placenta and chorionic vesicles of the bush baby, Galago crassicaudata.粗尾婴猴(Galago crassicaudata)胎盘和绒毛膜囊的精细结构
Am J Anat. 1984 Jan;169(1):101-16. doi: 10.1002/aja.1001690109.
8
Trophoblast-decidual cell interactions and establishment of maternal blood circulation in the parietal yolk sac placenta of the rat.大鼠壁层卵黄囊胎盘的滋养层-蜕膜细胞相互作用及母血循环的建立
Anat Rec. 1987 Feb;217(2):203-19. doi: 10.1002/ar.1092170213.
9
[Ultrastructural observations on B cells in the human synovial membrane].[人滑膜中B细胞的超微结构观察]
Boll Soc Ital Biol Sper. 1983 Dec 30;59(12):1954-8.
10
Implantation in the rhesus monkey: initial penetration of endometrium.恒河猴的着床:子宫内膜的初始穿透
Am J Anat. 1983 Jul;167(3):275-98. doi: 10.1002/aja.1001670302.

引用本文的文献

1
Postpartum erythrophagocytosis, iron storage and iron secretion in the endometrium of the tree shrew (Tupaia) during pregnancy.树鼩孕期子宫内膜的产后红细胞吞噬作用、铁储存及铁分泌
J Anat. 1994 Jun;184 ( Pt 3)(Pt 3):597-606.
2
Development of ferret limb buds in organ culture.雪貂肢体芽在器官培养中的发育。
J Anat. 1980 Sep;131(Pt 2):347-54.
3
Final stages of erythrophagocytosis in the sheep placenta.绵羊胎盘红细胞吞噬作用的终末阶段。

本文引用的文献

1
A HISTOCHEMICAL AND ELECTRON MICROSCOPICAL STUDY OF THE FIBRINOID OF THE MOUSE PLACENTA.小鼠胎盘纤维蛋白样物质的组织化学与电子显微镜研究
J R Microsc Soc. 1965 Jun;84:199-211. doi: 10.1111/j.1365-2818.1965.tb02121.x.
2
THE ULTRASTRUCTURE OF THE PLACENTAL LABYRINTH OF THE FERRET (MUSTELA PUTORIUS FURO).雪貂(鼬属黑足鼬)胎盘迷路的超微结构
J Anat. 1965 Jan;99(Pt 1):47-69.
3
PLACENTAL HAEMOPHAGOUS ORGANS IN THE PROCYONIDAE AND MUSTELIDAE.浣熊科和鼬科动物的胎盘噬食器官
Cell Tissue Res. 1981;214(3):501-18. doi: 10.1007/BF00233491.
4
Fine structural examination of the single heart tube in the fifteen day ferret embryo.对15日龄雪貂胚胎中单一心管的精细结构检查。
Cell Tissue Res. 1982;221(3):597-605. doi: 10.1007/BF00215703.
5
Comparative placental morphology and function.胎盘形态与功能的比较
Environ Health Perspect. 1976 Dec;18:5-12. doi: 10.1289/ehp.76185.
6
[Ultrastructural study of the paraplacenta of the cat: mechanism of erythrophagocytosis by chorionic cell (author's transl)].猫副胎盘的超微结构研究:绒毛膜细胞吞噬红细胞的机制(作者译)
Anat Embryol (Berl). 1977 Dec 2;151(3):267-83. doi: 10.1007/BF00318930.
7
Fusion of erythrolysosomes in epithelial cells of the sheep placenta.绵羊胎盘上皮细胞中红细胞溶酶体的融合。
Cell Tissue Res. 1979;203(2):209-21. doi: 10.1007/BF00237235.
8
Lysosomal breakdown of erythrocytes in the sheep placenta. An ultrastructural study.绵羊胎盘红细胞的溶酶体分解:一项超微结构研究
Cell Tissue Res. 1979 Mar 9;197(1):79-94. doi: 10.1007/BF00233555.
9
Cytochemical localization of transport adenosine triphosphatase in the ferret placenta.
Histochem J. 1976 Jul;8(4):351-6. doi: 10.1007/BF01003823.
J Reprod Fertil. 1964 Aug;8:133-7. doi: 10.1530/jrf.0.0080133.
4
The use of lead citrate at high pH as an electron-opaque stain in electron microscopy.在电子显微镜检查中,将高pH值的柠檬酸铅用作电子不透明染色剂。
J Cell Biol. 1963 Apr;17(1):208-12. doi: 10.1083/jcb.17.1.208.
5
Electron microscopic observations on the placenta of the cat.猫胎盘的电子显微镜观察
J Biophys Biochem Cytol. 1956 Nov 25;2(6):743-54. doi: 10.1083/jcb.2.6.743.
6
Experimental observations on the ferret corpus luteum of pregnancy.
J Reprod Fertil. 1967 Feb;13(1):183-5. doi: 10.1530/jrf.0.0130183.
7
Ultrastructure of the placenta and fetal membranes of the dog. I. The placental labyrinth.犬胎盘和胎膜的超微结构。I. 胎盘迷路。
Anat Rec. 1969 Sep;165(1):15-35. doi: 10.1002/ar.1091650103.
8
Implantation in the ferret: epithelial penetration.雪貂体内的植入:上皮穿透
Am J Anat. 1972 Mar;133(3):291-315. doi: 10.1002/aja.1001330305.
9
Placental iron transfer in the cat.猫的胎盘铁转运
J Physiol. 1973 Aug;232(3):485-501. doi: 10.1113/jphysiol.1973.sp010282.
10
The development of a maternal pregnancy reaction in the ferret.雪貂母体妊娠反应的发展。
J Reprod Fertil. 1974 Sep;40(1):61-9. doi: 10.1530/jrf.0.0400061.